Book Video Consultation

Book Video Consultation

Stay Home

No Waiting in lines

Audio/Video Call

PMC Verified Doctors

Talk to Dentist on Cavity In Teeth

person-avatar

Asking for Self, Female, 34 years old, Canada

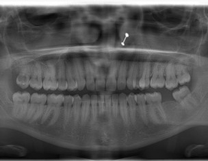
Please have a look at my xray and let me know how many of my teeth have cavity and what should be the next procedure

Dentist in Karachi - Dr. Sakina Quresh

Dr. Sakina Quresh - Dentist

BDS | Karachi

review-stars

35 Positive Reviews

cant upload ur picture so plz visit your nearest dentist


0

0

Dentist in Rawalpindi - Dr. Eman Afroze

Dr. Eman Afroze - Dentist

BDS | Rawalpindi

review-stars

5 Positive Reviews

Picture is not opening


0

0

Dentist in Rahim Yar Khan - Dr. Ramsha Saeed

Dr. Ramsha Saeed - Dentist

BDS, RDS, MCPS, Cert - Implantology Cert - Orthodontics | Rahim Yar Khan

review-stars

31 Positive Reviews

what are your symptoms?where do you feel pain? according to xray you have one large cavity in the right upper back tooth. Rest teeth condition is not cleared in the xray. sometimes small caries are not detected in this large OPG xray.


0

0

Dentist in Bannu - Dr. Tayyab

Dr. Tayyab - Dentist

BDS (Bachelor of Dental Surgery) | Bannu

picture is not opening, visit nearby dentist, but make sure to visit qualified practitioner


0

0

Dentist in Gujrat - Dr. Ayesha Hanif

Dr. Ayesha Hanif - Dentist

BDS | Gujrat

review-stars

5 Positive Reviews

visit ur nesrby dentist.pic is not opening.


0

0

Dentist in Islamabad - Dr. Alaina Tariq Mughal

Dr. Alaina Tariq Mughal - Dentist

BDS, FCPS Orthodontics & Dentofacial Orthopedics, Aligners Academy Pakistan Fellowship | Islamabad

review-stars

5 Positive Reviews

Hope you are doing well. Multiple teeth are carious according to this OPG.. Your right upper and lower third molars are grossly carious.. Might need extraction.. Rest I think you have pit and fissure lesions in lower right and left 1st molars (need clinical assessment for that). Also there is evident bone loss in some region especially lower anterior region and I can see some calculus deposits so scaling may also be required. Also there is missing tooth in lower left side for which you need replacement. So get yourself checked and managed accordingly

Thank you


0

0

Member

Post Owner


Yes dr, I visited dental surgeon and he said 3 of my wisdom tooth have cavity and it all needs to be extracted and he will extract the 4rth tooth as well otherwise it will create problems later. Also i knwo about the scalling part my front lower teeth has plaque i will deal that later.

But the reason to post here is i feel apart from those teeth i think other of my teeth has problem too i dont know what and which

2 years ago

Dentist in Islamabad - Dr. Alaina Tariq Mughal
Dr. Alaina Tariq Mughal - Dentist

BDS, FCPS Orthodontics & Dentofacial Orthopedics, Aligners Academy Pakistan Fellowship | Islamabad | Book Appointment

review-stars 1 Positive Reviews

I told you rest of the problems too.. There is also signs of mal-alignment so if you want.. You can get braces treatment too.. No other major cavities

2 years ago

Member

Post Owner


So apart from all 4 wisdom teeth, no other teeth has cavity?

2 years ago

Dentist in Islamabad - Dr. Alaina Tariq Mughal
Dr. Alaina Tariq Mughal - Dentist

BDS, FCPS Orthodontics & Dentofacial Orthopedics, Aligners Academy Pakistan Fellowship | Islamabad | Book Appointment

review-stars 1 Positive Reviews

I cannot see all third molars carious.. I think upper left one is okay (from the xray) but intra oral exam is a good judge for that or a peri apical radiograph.. I think you might have pit and fissure caries in your lower first molars that's all

2 years ago

Member

Post Owner


Thank you.

2 years ago

Dentist in Lahore - Dr. Sohail Saeed

Dr. Sohail Saeed - Dentist

BDS | Lahore

review-stars

8 Positive Reviews

Plz Consult to ur near qualified Dentist with an x-ray to diagnose and treatment plan



0

0

Dentist in Karachi - Dr. Sobia Bhatti

Dr. Sobia Bhatti - Dentist

BDS, RDS | Karachi

review-stars

5 Positive Reviews

clinical examination is also required . some teeth have minor cavities that would not visible on xray.


0

0

Attach Photo here: