Book Video Consultation

Book Video Consultation

Stay Home

No Waiting in lines

Audio/Video Call

PMC Verified Doctors

Talk to Dentist on Dental Cavities

person-avatar

Asking for Self, Male, 24 years old, Faisalabad

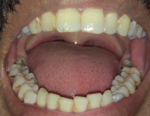
About 6 months ago, I noticed a blackish spot on my teeth, and I thought it might be a cavity. Over time, it has been getting bigger. I'm worried it could be tooth decay. Could you please check and advise on the best treatment?

Dentist in Karachi - Dr. Romisa Rasool

Dr. Romisa Rasool - Dentist

BDS | Karachi

review-stars

31 Positive Reviews

these are stains. scaling and polishing will make them disappear. book a consultation if you are in karachi.


0

0

Member

Post Owner


is this the permanent solution ?

1 year ago

Dentist in Karachi - Dr. Romisa Rasool
Dr. Romisa Rasool - Dentist

BDS | Karachi | Book Appointment

review-stars 22 Positive Reviews

yes it is. scaling and polishing is ultimate solution for stains and overall gum health.

1 year ago

Dentist in Toba Tek Singh - Dr. Sabir Ali

Dr. Sabir Ali - Dentist

BDS, FCPS (Orthodontics) | Toba Tek Singh

review-stars

8 Positive Reviews

scaling and polishing


0

0

Member

Post Owner


is this the permanent solution ?

1 year ago

Dentist in Toba Tek Singh - Dr. Sabir Ali
Dr. Sabir Ali - Dentist

BDS, FCPS (Orthodontics) | Toba Tek Singh | Book Appointment

review-stars 7 Positive Reviews

if you maintain your overall cleaning habits good....may need to be repeated again if appears again

1 year ago

Dentist in Karachi - Dr. Sakina Quresh

Dr. Sakina Quresh - Dentist

BDS | Karachi

review-stars

35 Positive Reviews

hi you need scaling (cleaning of your teeth)and evaluation of your wisdom tooth,in these pics wont b able to figure out any cavity,for that you need to visit the clinc


0

0

Dentist in Mehrabpur - Dr. Kamran Azam

Dr. Kamran Azam - Dentist

BDS, Gold Medalist in Orthodontics, Aesthetic and Endodontic | Mehrabpur

review-stars

11 Positive Reviews

these are external stains you need cleaning


0

0

Dentist in Mithi - Dr. Jeetendar

Aapke danton pe stains hen, samne se koi cavity nhn dikh rhi.
stains remove krne ke lye Aap Scaling krwalen. Baki agar kisi dant me takleef he to mukamal check up ke bad dekha ja skta he agar teeth ke beech me hidden cavity wagera he to.
Aap hmse rabta krskte hen for detailed Consultation and Scaling therapy.


0

0

Dentist in Rawalpindi - Dr. Lyba Jalil

Dr. Lyba Jalil - Dentist

BDS | Rawalpindi

review-stars

2 Positive Reviews

You need scaling and polishing


0

0

Dentist in Karachi - Dr. Areeha Aslam

Dr. Areeha Aslam - Dentist

BDS | Karachi

review-stars

6 Positive Reviews

you have stains and for that you need scaling and polishing


0

0

Dentist in Mardan - Dr. Wajeeha Basit

Dr. Wajeeha Basit - Dentist

BDS | Mardan

review-stars

7 Positive Reviews

These are stains. You need scaling and polishing.


0

0

Dentist in Peshawar - Dr. Jameel Kifayatullah

Dr. Jameel Kifayatullah - Dentist

BDS | Peshawar

review-stars

33 Positive Reviews

do scaling plus polishing


0

0

Dentist in Karachi - Dr. Farwa Zehra

Dr. Farwa Zehra - Dentist

BDS,Certified Asthetic Physician, Certified Cosmetic Dentist | Karachi

review-stars

4 Positive Reviews

these are just stains that can be overcome by scaling and polishing. nothing to worry for.


0

0

Dentist in Lahore - Dr. Mohib Ullah Khan

Dr. Mohib Ullah Khan - Dentist

BDS | Lahore

review-stars

14 Positive Reviews

they are just stains scaling and polishing ki zarurat ha only


1

0

Dentist in Rawalpindi - Asst. Prof. Dr. Sana Jalil Hasan

Asst. Prof. Dr. Sana Jalil Hasan - Dentist

BDS, FCPS (Operative Surgery), Dip. Aesthetic Medicine | Rawalpindi

review-stars

19 Positive Reviews

Get checked looks like staining


0

0

Dentist in Multan - Asst. Prof. Dr. Muhammed Ahmad

Asst. Prof. Dr. Muhammed Ahmad - Dentist

BDS, FCPS (Endodontics & Restorative), C-Ortho, C-Implant | Multan

review-stars

186 Positive Reviews

these black spot are staining , Visit dentist to for scaling polishing


0

0

Attach Photo here: