Book Video Consultation

Book Video Consultation

Stay Home

No Waiting in lines

Audio/Video Call

PMC Verified Doctors

Talk to Dentist on Dental Pain

person-avatar

Asking For Other, Male 33, lahore

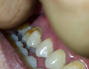
severe pain, burning senstaion, problem in chewing, uncomfortness, senstivity to cold food and breathe in upper right molar. kindly asking to dental specialist. i attached the picture of infected area of the tooth so by seeing in the picture please guide me what is it precisely, a tooth decay, infected gum or probably something more serious.? how to get rid of this. i cant resist the pain.

Member of Marham-Forum

Severe gingivitis is visible in the pic. That is one the cause. There is also possibility of a cavity in the molar which may b the cause of severe pain. Just a picture is insufficient for dianosis and treatment planing. Please visit ur dentist or consult us at
Confident dental practice
12 B johar town Allahhoo roundabout lahore 042-34500888,

Dentist in Karachi - Dr. Muhammad Ali Akbani

Dr. Muhammad Ali Akbani - Dentist

BDS, RDS, MSc (Oral Medicine), C-Implants | Karachi

review-stars

18 Positive Reviews

Assalamoaliakum

the picture is evident of poor oral hygiene maintenance but only the facial
surface of the tooth is visible.
the provisional diagnosis is to go for scaling and polishing since trooth
is periodontally compromised with chunks of tartar on the tooth, secondly
periapical x ray of the tooth is advised to evaluate if there is any decay
alongwith clinical examination. visit us @ WESTERN DENTAL HOSPITAL GULSHAN
E IQBAL BLOCK 4 , Karachi between 5pm to 9pm for proper diagnosis and
treatment at affordable cost.

thank you

Dr. Muhammad Ali Akbani


0

0

Dentist in Lahore - Prof. Dr. Khurram Nadeem

Prof. Dr. Khurram Nadeem - Dentist

BDS (Gold Medalist), PGDPH, MCPS (Oral Surgery) | Lahore

review-stars

11 Positive Reviews

Get the scaling as soon as possible. You will really feel great after that.

Thanks and


0

0

Dentist in Karachi - Dr. Fawad Ahmed Shaikh

Asa..

its a gingivitis (inflammation of gingiva). u should clean out accumulated plaque on cervical area from dentist nearby. clinically no any caries seen but for confirmation i need periapical xray.


0

0

Dentist in Lahore - Dr. Imran Zia

Dr. Imran Zia - Dentist

BDS (Pb) , RDS , C-Implants (Korea) | Lahore

review-stars

466 Positive Reviews

Aoa. Thanks for contacting us. This needs gum treatment and scaling. Call
at 042-34500888, for appointment.


0

0

Attach Photo here: