Book Video Consultation

Book Video Consultation

Stay Home

No Waiting in lines

Audio/Video Call

PMC Verified Doctors

Talk to Dentist on Dental Pain

person-avatar

Asking for Self, Female, 39 years old, Canberra

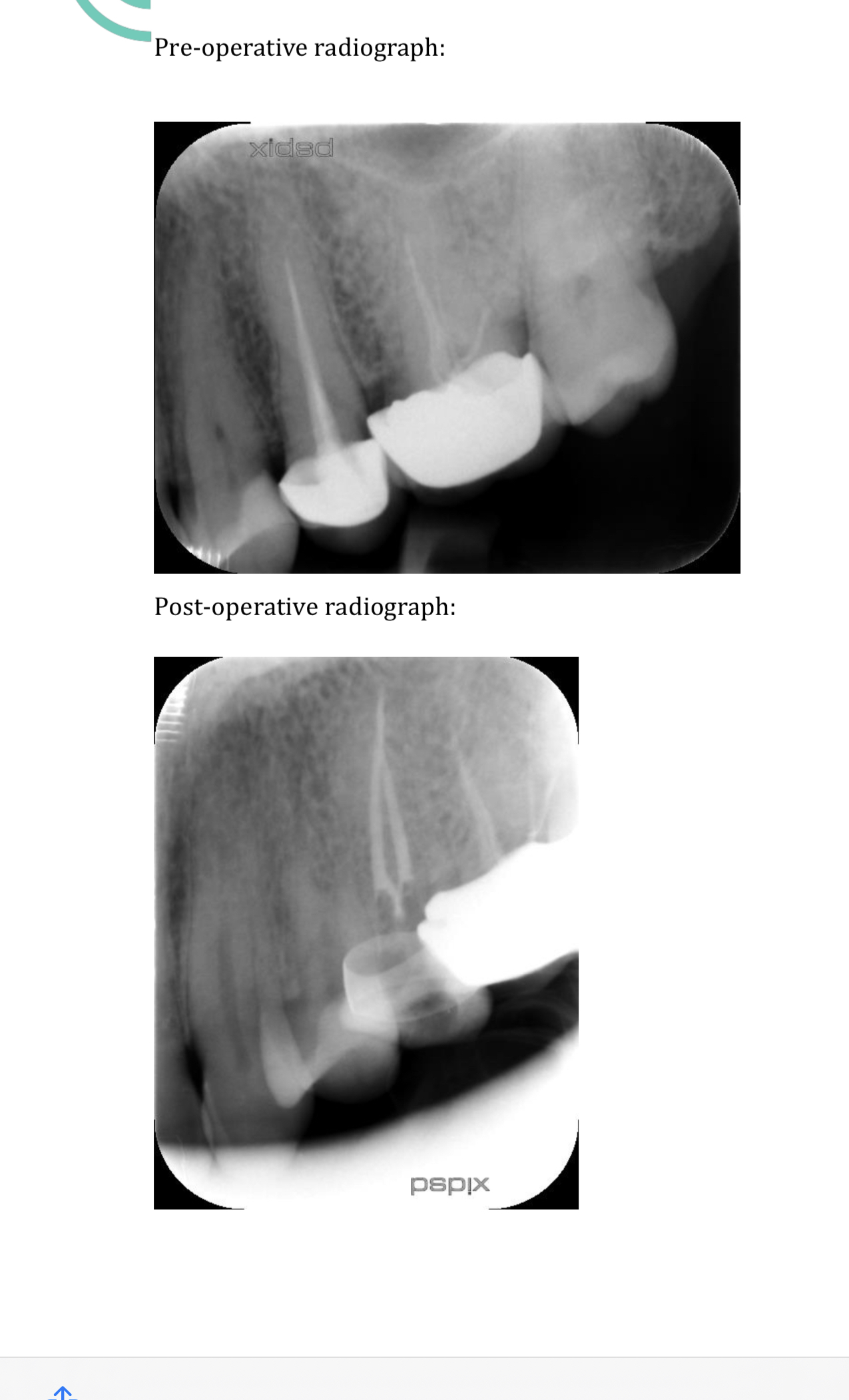
Kindly check the X-ray as I had redone the root canal but still feeling sometimes pain. Dentist said that I ll feel pain for 1-2 months and it’s nearly two months. Is it done properly???

Dentist in Karachi - Dr. Salman Zahid

Dr. Salman Zahid - Dentist

BDS | Karachi

review-stars

33 Positive Reviews

issue apk molar mein ha bcx usmein root canal sahi nh hoi wi ha


1

0

Member of Marham-Forum

Sorry, the RCT is not done appropriately. You will have to get them done again.



0

0

Dentist in Islamabad - Dr. Hamza Adeel

Hello,

Unfortunately the root canal treatment done in your teeth is not up to the required standard of care. In other words it's been poorly done, which is why you still have pain even after two months.

You will have to have this redone, which means taking the old crown off and doing the root canal procedure all over again, called a re-RCT


0

0

Dentist in Faisalabad - Dr. Haroon Iftikhar

Dr. Haroon Iftikhar - Dentist

BDS, MDS (Orthodontics) | Faisalabad

review-stars

7 Positive Reviews

Following are the reasons of Ur pain
1) Food impaction in adjacent molar faulty restoration
2) Root canal of Molar is not done properly
3) High spots in filling
4) poor perio or pockets surrounding tooth


0

0

Dentist in Faisalabad - Dr. Mubrrah Nisar

Dr. Mubrrah Nisar - Dentist

BDS, RDS | Faisalabad

review-stars

46 Positive Reviews

root canal not done properly


0

0

Dentist in Karachi - Dr. Abdul Raffay

Nope it's not filled properly
You might need re Do


0

0

Member of Marham-Forum

revisit the dentist for checkup and if nothing is required to treat the pain the Reattempting the RCT procedure is must


0

0

Dentist in Hafizabad - Dr. Nomaan Akram

Dr. Nomaan Akram - Dentist

BDS | Hafizabad

review-stars

23 Positive Reviews

i will suggest a simple formula for your understanding that is "there would be no pain and senstivity in the tooth or teeth which has gone through the root canal or RCT". remember there if there is pain now would be even after 2 months or might be even 6 months until unless not treated in a true sense.


0

0

Dentist in Lahore - Dr. Imran Zia

Dr. Imran Zia - Dentist

BDS (Pb) , RDS , C-Implants (Korea) | Lahore

review-stars

465 Positive Reviews

AOA dear. Received your email. But on viewing x-ray only, we cannot deliver final statement. Please visit by calling at 042-32380080, for appointment.


0

0

Dentist in Khanpur - Dr. Waqas Gillan

Dr. Waqas Gillan - Dentist

BDS | Khanpur

review-stars

33 Positive Reviews

radiographs are not that appropriate to make a precise diagnosis .


0

0

Attach Photo here: