Book Video Consultation

Book Video Consultation

Stay Home

No Waiting in lines

Audio/Video Call

PMC Verified Doctors

Talk to Dentist on Dental Problem

person-avatar

Asking For Self, Male 20, Lahore

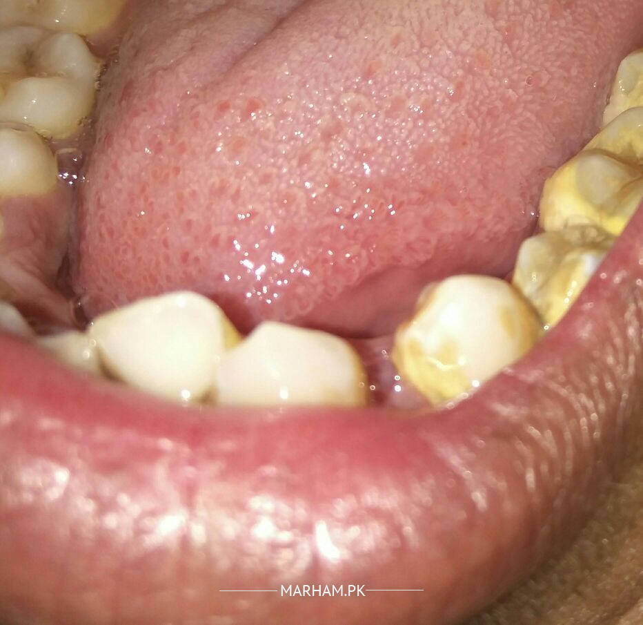
Respected Sir I have recently removed rupturer milk teeth from the dentist. Now kindly see in image that there is space left behind. almost 1 month has been passed since i removed this teeth. When my brush touches its surface it sometimes start bleeding. I have not started eating from this side. Kindly tell me what to do with this space. Is this Ok. There is need to fill it. Will there any be problem if I eat food from this side. I am fearful that if i eated from this side then it would start bleedings. So kindly suggest me what should I do I have to eat from this side

Dentist in Lahore - Dr. Imran Zia

Dr. Imran Zia - Dentist

BDS (Pb) , RDS , C-Implants (Korea) | Lahore

review-stars

465 Positive Reviews

Aoa. It looks like you need improvement in oral hygiene as your brushing technique is improper I guess. Did your dentist suggest any medicines after extraction and did you follow? Visit your nearby dentist for scaling to remove tartar as seen in pics. This will help reduce pain or bleeding. It's difficult to place a new tooth over it but after clinical examination, some solution can be sorted out. You can contact MARHAM for further appointment. Regards


0

0

Member

Post Owner


Yes 1 medicine for pain but i did not felt any pain after removal

2 years ago

Member

Post Owner


Ok Sir Thanks

2 years ago

Dentist in Larkana - Asst. Prof. Dr. Sandeep Kumar

Asst. Prof. Dr. Sandeep Kumar - Dentist

BDS, M.Sc. (Prosthodontics), C- endo | Larkana

review-stars

8 Positive Reviews

no need to worries. it is bleeding because of poor oral hygeine. u need to visit dentist for scaling and polishing. and maintain ur oral hygeine ur problem will he solved


0

0

Dentist in Karachi - Dr. Syeda Shaheen Fatima

its only bcoz of poor oral hygiene.simple visit dr and ask for scallig


0

0

Dentist in Lahore - Dr. Mehwish Tariq

Dr. Mehwish Tariq - Dentist

BDS | Lahore

review-stars

3 Positive Reviews

you need scaling and after that do follow proper oral hygiene instructions and eat from both sides


0

0

Dentist in Islamabad - Dr. Rabail Jamal

Dr. Rabail Jamal - Dentist

BDS, Certified Facial Aesthetician AACME (USA) | Islamabad

review-stars

16 Positive Reviews

you have calculus, please get your scaling done. it will resolve your prob


0

0

Dentist in Hyderabad - Dr. Falak Memon

Dr. Falak Memon - Dentist

BDS | Hyderabad

review-stars

1 Positive Reviews

first maintain your oral hygiene . go for scaling nd DNT brush from this area forcefully heal hny d jha s teeth extract huwa h . use mouth wash too . ap us area ko heal nhi hny drh jis wja s wo bleed kr rha .


0

0

Dentist in Karachi - Dr. Suraiya Hirani

Dr. Suraiya Hirani - Dentist

BDS, Master of Science in Dentistry | Karachi

review-stars

4 Positive Reviews

Bleeding is due to calculus deposition, kindly get your scaling and polishing done, after which you can eat from both sides.


0

0

Dentist in Peshawar - Dr. Zarghuna Niaz

First do scaling because your gums are inflammed this is reason of gingivl bleeding during brushing and secondly let me know your date of birth


0

0

Member

Post Owner


20 years

2 years ago

Dentist in Lahore - Dr. Sabreena Sattar

Dr. Sabreena Sattar - Dentist

BDS | Lahore

review-stars

4 Positive Reviews

Visit ur nearby dentist and go for Cleaning (Scaling and polishing)! Bleeding is due to calculus deposit and poor oral hygiene


0

0

Dentist in Islamabad - Dr. Laraib Kibriya

Dr. Laraib Kibriya - Dentist

| BDS | | Islamabad

review-stars

3 Positive Reviews

Don't eat from this side until it heals. Don't brush on this area. Do salt water rinses 3 times daily. If it doesn't heal within 2 weeks then get it checked again. Also get ur scaling done.


0

0

Dentist in Karachi - Dr. Aisha Jawed

You need to maintain proper oral hygiene.first go for scaling to remove calculus. That will resolve the gingival inflammation. Then take proper Oral hygiene instruction from your dentist.


0

0

Dentist in Haripur - Muhammad Yousaf Malik

Muhammad Yousaf Malik - Dentist

DDS (Dentistry) , Certified Dental Hygienist | Haripur

review-stars

8 Positive Reviews

The cause of bleeding is gingivitis.. visit ur nearby dentist for scaling as heavy calculus deposit on ur teeth that causes the gum to inflammed and bleed on brushing


1

0

Dentist in Mansehra - Dr. Saad Khan

Dr. Saad Khan - Dentist

BDS, Diploma in Aesthetic Medicine | Mansehra

review-stars

17 Positive Reviews

Follow proper oral hygiene. And visit for scaling and further evaluation


0

0

Dentist in Karachi - Dr. Mariam Ehtisham

Dr. Mariam Ehtisham - Dentist

BDS | Karachi

review-stars

3 Positive Reviews

It need examination and x ray will be required for further treatment


0

0

Dentist in Islamabad - Dr. Sadaf Islam

Dr. Sadaf Islam - Dentist

BDS, FCPS (Dentistry and Endodontics) | Islamabad

aoa
the problem i can see in this pic is the calculus/tartar/ yellow material seen on your tooth due to which your gums are bleeding. you need to do scaling so that your gums health improves and bleeding stops


0

0

Dentist in Karachi - Dr. Aleena Israr

Dr. Aleena Israr - Dentist

BDS | Karachi

review-stars

7 Positive Reviews

scaling required
please visit you're nearby dentist


0

0

Dentist in Karachi - Dr. Sumaira Asghar

Dr. Sumaira Asghar - Dentist

BDS | Karachi

review-stars

2 Positive Reviews

maintain your oral hygiene, brush your teeth twice in a day after breakfast and after dinner also make sure to brush your tongue gently, do floss your teeth after every meal or atleast thrice in a day. visit your dentist for scaling and polishing as well as your teeth needs professional cleaning after that bleeding issue will resolve hopefully.


0

0

Dentist in Sahiwal - Dr. Ibrahim Khalil Ahmad

Dr. Ibrahim Khalil Ahmad - Dentist

BDS | Sahiwal

review-stars

7 Positive Reviews

to enhance your oral hygiene and resolve the issue, you should visit your dentist for scaling


0

0

Dentist in Karachi - Dr. Hafiz Najm Us Saqib

Dr. Hafiz Najm Us Saqib - Dentist

BDS, RDS, C Endo, C Ortho, C Implant, Certified in C Aesthetic | Karachi

review-stars

2 Positive Reviews

Assalam u alikum you need scaling and polishing also maintain your oral hygiene


0

0

Dentist in Peshawar - Dr. Jameel Kifayatullah

Dr. Jameel Kifayatullah - Dentist

BDS | Peshawar

review-stars

33 Positive Reviews

there will be no problem eat relaxly


0

0

Dentist in Lahore - Asst. Prof. Dr. Ahmad Shamim Qureshi

Asst. Prof. Dr. Ahmad Shamim Qureshi - Dentist

BDS, MDS Orthodontists | Lahore

review-stars

21 Positive Reviews

consult your doctor


0

0

Dentist in Lahore - Dr. Muhammad Osama Shabbir

Dr. Muhammad Osama Shabbir - Dentist

BDS, C- Implants | Lahore

review-stars

4 Positive Reviews

it looks that there is spacing as well as crowding in anterior teeth. you must require an orthodontic consultation


0

0

Attach Photo here: