Book Video Consultation

Book Video Consultation

Stay Home

No Waiting in lines

Audio/Video Call

PMC Verified Doctors

Talk to Dentist on Dentist

person-avatar

Asking For Self, Female 25, Rawalpindi

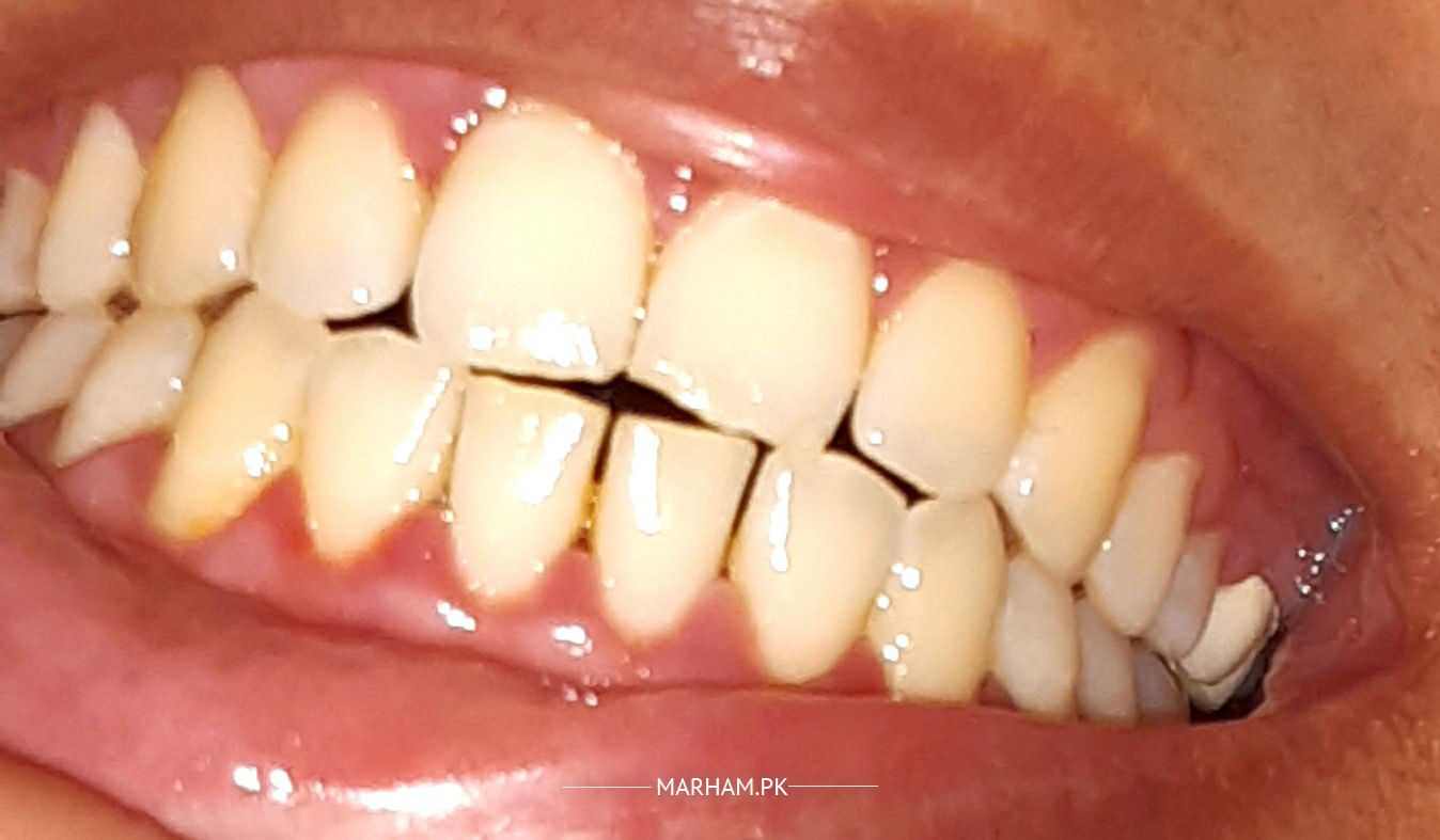
there is this black thing i dont know if it is blood r what between my frontal tooth and my gums frontal gums bleed on brushing . can someone tell what it is and how it can be treated is it tooth decay? i am worried . tooth are black a little in base as well

Dentist in Lahore - Dr. Nasreen Nagani

Dr. Nasreen Nagani - Dentist

BDS, MDS- Orthodontics (Dow) | Lahore

review-stars

8 Positive Reviews

It is plaque n calculus, u have inflamed gingiva. Need scaling n polishing


0

0

Dentist in Rawalpindi - Dr. Rabia Jamil

Dr. Rabia Jamil - Dentist

BDS | Rawalpindi

review-stars

13 Positive Reviews

These are plaque and calculus deposits. You should visit your nearby dental clinic for Scaling and polishing.


0

0

Dentist in Peshawar - Dr. Yusaf Imran

Dr. Yusaf Imran - Dentist

BDS , MDS (Orthodontics) | Peshawar

review-stars

118 Positive Reviews

Please visit us or call us via marham app for best treatment possible


0

0

Dentist in Hyderabad - Dr. Arif Sher

use paradontax tooth paste with gentle finger pressure on that and gargle with Enzyclor mouth wash
tblet froben 100mg for 3 days
tb metrozine for 3 days
uze soft bristle brush on teeth in vertical position very gently


0

0

Member

Post Owner


thank u sir

5 years ago

Dentist in Islamabad - Dr. Ayesha Khan

Dr. Ayesha Khan - Dentist

BDS , RDS , C-Endo, C-Ortho , C -Implants , C-Clear Aligners ,Certificate In Implantology | Islamabad

review-stars

975 Positive Reviews

you need to get ur scaling n polishing done


0

0

Dentist in Lahore - Dr. Shaharyar Khan

Dr. Shaharyar Khan - Dentist

BDS, MBA (HHCM) | Lahore

review-stars

11 Positive Reviews

these are looking possibly stains between your teeth or may be tartar or calculus on the back side of your teeth. you might need proper scaling and polishing to get rid of it.


0

0

Dentist in Karachi - Dr. Nadeem Chand

Dr. Nadeem Chand - Dentist

BDS, RDS, MCPS (Oral Surgery), FICCDE (Singapore) | Karachi

review-stars

109 Positive Reviews

u need scaling and polishing plus orthodontic treatment


0

0

Dentist in Islamabad - Dr. Ayesha Khan

Dr. Ayesha Khan - Dentist

BDS , RDS , C-Endo, C-Ortho , C -Implants , C-Clear Aligners ,Certificate In Implantology | Islamabad

review-stars

975 Positive Reviews

Dear concerned this is a routine procedure of scaling n polishing u need not to worry n without delay should get it done before the symptoms become more ...
if u r residing in pindi let me know I m in Islamabad


0

0

Dentist in Lahore - Dr. Ayman

Dr. Ayman - Dentist

BDS | Lahore

review-stars

4 Positive Reviews

These are calculus deposits or u can say mineral rocks that stuck around the teeth . That causes swelling n redness n bleeding of gums . Condition is called gingivitis so u need scaling n polishing of teeth n some medication n medicated mouthwash n toothpaste for treatment of this condition n also u need to learn proper brushing technique also . Visit dentist or for time being take video consultation .


0

0

Dentist in Lahore - Dr. Ayman
Dr. Ayman - Dentist

BDS | Lahore | Book Appointment

review-stars 2 Positive Reviews

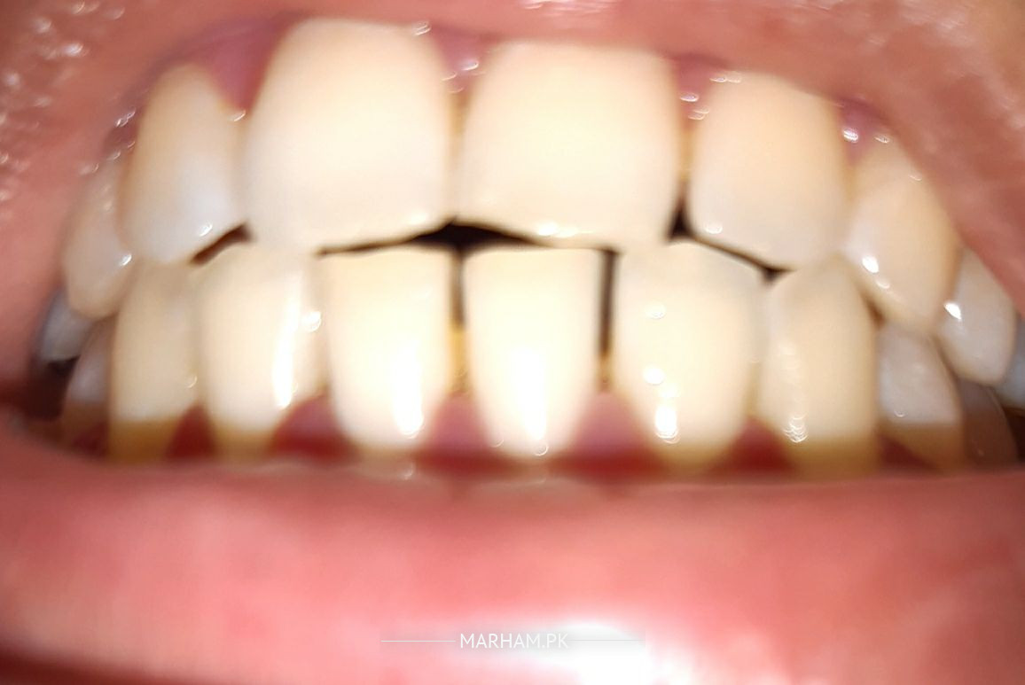
There is also spacing in ur teeth

5 years ago

Member

Post Owner


thank you mam for assistance can you tell hpw can i treat spacing?

5 years ago

Dentist in Islamabad - Dr. Tamara Falah

Dr. Tamara Falah - Dentist

BDS | Islamabad

review-stars

1 Positive Reviews

Dear patient; We will need to examine clinically as pictures are not enough.
Kindly book an online appointment via Marham for further details.


0

0

Dentist in Islamabad - Dr. Ali Haider

Dr. Ali Haider - Dentist

BDS,RDS, Certified Implantologist, Certified Endodontist, Certified Aesthetician | Islamabad

review-stars

2 Positive Reviews

The heavy calculus deposits inside as well as outside has caused this condition. 🔺Gingivitis but the good news is that its a reversible condition if reported to your dentist's office on time. Scaling and root planning is treatment of choice.



0

0

Dentist in Sahiwal - Dr. Ali Arslan

Dr. Ali Arslan - Dentist

BDS | Sahiwal

review-stars

65 Positive Reviews

you need to get your scaling and polishing done to avoid any further decay as plaque(soft deposits around teeth) and calculus (hard calcified deposits) lead to further tooth decay and cas result in tooth loss if left untreated.
scaling is a routine procedure and you must get it atleast once in a year.


0

0

Dentist in Lahore - Dr. Wajiha Shoukat

Dr. Wajiha Shoukat - Dentist

BDS | Lahore

review-stars

100 Positive Reviews

This is plaque n calculus. You need scaling n polishing.. kindly visit a dentist for ur treatment. n dont worry there r no side effects of scaling.. u must go for this once a yr.


0

0

Member

Post Owner


okay mam how can the spacing between tooth be treated?

5 years ago

Dentist in Lahore - Dr. Wajiha Shoukat
Dr. Wajiha Shoukat - Dentist

BDS | Lahore | Book Appointment

review-stars 85 Positive Reviews

for spaces in ur teeth u need to go for ortho treatment i.e (braces or invisible aligners).. this is the only ideal option for this. never go for crowning if any one recommends u for this.

5 years ago

Member

Post Owner


okay mam

5 years ago

Dentist in Karachi - Asst. Prof. Dr. Erum Behroz Khan

Asst. Prof. Dr. Erum Behroz Khan - Dentist

BDS, FCPS (Orthodontics) | Karachi

review-stars

40 Positive Reviews

due to heavy calculus/plaque deposits your teeth are moving apart , if you didnt get proper periodontal and Orthodontic therapy , they might not be controlled .
visit a nearby Orthodontist


0

0

Member

Post Owner


how to stop them from moving apart what is the treatment? please tell and how much it will cost

5 years ago

Dentist in Karachi - Asst. Prof. Dr. Erum Behroz Khan
Asst. Prof. Dr. Erum Behroz Khan - Dentist

BDS, FCPS (Orthodontics) | Karachi | Book Appointment

review-stars 1 Positive Reviews

the cost will be decided after checking your teeth. picture is not a good criteria... if you are in khi ... you can visit us , we will give a discounted package due to multiple problem.
periodontal and Orthodontic therapy is the only option.

5 years ago

Member

Post Owner


mam i am in Rawalpindi not karachi

5 years ago

Dentist in Rawalpindi - Dr. Muhammad Usman Ibrahim

Dr. Muhammad Usman Ibrahim - Dentist

BDS | Rawalpindi

review-stars

9 Positive Reviews

Dear concerned this need to be proper clinical examine because picture is not clear enough to diagnose kindly book an online appointment and visit our nearest branch located in rawalpindi and islamabad.


0

0

Dentist in Islamabad - Dr. Ayesha Khan

Dr. Ayesha Khan - Dentist

BDS , RDS , C-Endo, C-Ortho , C -Implants , C-Clear Aligners ,Certificate In Implantology | Islamabad

review-stars

975 Positive Reviews

Dear if u r in Rawalpindi consult me I m in Islamabad without further delay


0

0

Aesthetic Physician in Rawalpindi - Dr. Huma Umar

Dr. Huma Umar - Aesthetic Physician

BDS, Certification Course in Orthodontics, Certified Skin Aesthetics | Rawalpindi

review-stars

27 Positive Reviews

In simple terms, You are having a gum disease and definitely need to visit a dentist.


0

0

Dentist in Rawalpindi - Dr. Falahat Nasir

Dear you condition is treatable and u need to visit a dentist immediately for this to be treated. U have heavy calculus deposits on lingual aspect of ur teeth. This is leading to gi gingivitis and bleeding gums and foul smell and stains. But remember it need s to be treated immediately before it causes more damage. If you are in Rawalpindi visit my clinic for proper treatment kind regards


0

0

Attach Photo here: