Book Video Consultation

Book Video Consultation

Stay Home

No Waiting in lines

Audio/Video Call

PMC Verified Doctors

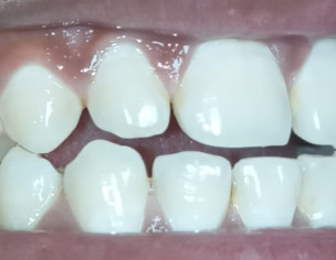
Talk to Dentist on Gap Between Teeth

person-avatar

Asking for Self, Male, 20 years old, Lahore

Hi Doctor, I’ve noticed that there are small gaps between my teeth, and I’m just wondering—is that something normal or should it be treated?

If it does need fixing, what kind of treatment would you recommend? Also, I’d really appreciate it if you could give me an idea of the cost and what kind of results I can expect afterward

Dentist in Karachi - Dr. Shiza Hussain

Dr. Shiza Hussain - Dentist

BDS | Karachi

review-stars

9 Positive Reviews

Hello, so spaces between teeth is very normal. However it is treated if it bothers you. The available options are braces, clear aligners & composite veneers. Braces range 100k - 150k , aligners range 170k - 300k , veneers 10k per tooth. For a detailed discussion you can visit the clinic


0

0

Dentist in Islamabad - Dr. Salma Ali Khan

Dr. Salma Ali Khan - Dentist

BDS, Certificate in Aesthetics Dentitry (UK), Certificate Restorative Rentistry | Islamabad

review-stars

43 Positive Reviews

Pure Orthodontic case. Although alate but can be managed. Do OPG n check with Orthodontist . In Islamabad I can help


0

0

Dentist in Rawalpindi - Dr. Novaira Waseem

Dr. Novaira Waseem - Dentist

BDS, FCPS(t) | Rawalpindi

review-stars

2 Positive Reviews

Orthodontist here. I deal with such cases everyday. With metal braces it would cost you around 150k with aligners around 250-300k. If youre from rwp or isb you can book consultation with me. Hopewell medical center or gul dental care


0

0

Attach Photo here: