Book Video Consultation

Book Video Consultation

Stay Home

No Waiting in lines

Audio/Video Call

PMC Verified Doctors

Talk to Dentist on Pain In Tooth

person-avatar

Asking For Self, Female, 21 Years old, Bahawalpur

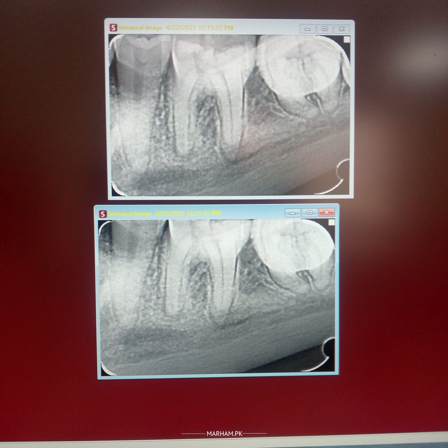
Darh main kaafi pain hai xray attach kar raha hoon kindly yeh bta dyn kiya eska treatment ho sakta hai ya darh nikalwani hogi ya dead krwani hogi?

Dentist in Faisalabad - Dr. Ejaz Javaid

Dr. Ejaz Javaid - Dentist

BDS, Endodontist | Faisalabad

review-stars

84 Positive Reviews

RCT ho gee


0

0

Dentist in Gujrat - Dr. Saadat Ali Khan

Dr. Saadat Ali Khan - Dentist

BDS, RDS | Gujrat

review-stars

10 Positive Reviews

yes treatment is possible
RCT (root canal treatment)


0

0

Dentist in Peshawar - Dr. Yusaf Imran

Dr. Yusaf Imran - Dentist

BDS , MDS (Orthodontics) | Peshawar

review-stars

119 Positive Reviews

Visit us for treatment planning


0

0

Dentist in Islamabad - Dr. Rabail Jamal

Dr. Rabail Jamal - Dentist

BDS, Certified Facial Aesthetician AACME (USA) | Islamabad

review-stars

16 Positive Reviews

root canal might be possible but can only confirm after seeing clinically


0

0

Dentist in Karachi - Dr. Yaqoob Younus

Dr. Yaqoob Younus - Dentist

BDS | Karachi

review-stars

3 Positive Reviews

root canal


0

0

Dentist in Karachi - Dr. Sakina Quresh

Dr. Sakina Quresh - Dentist

BDS | Karachi

review-stars

35 Positive Reviews

Rct hoskati hai per clinically bhi dkehna hoga


0

0

Dentist in Faisalabad - Dr. Sandeela Mubeen

Dr. Sandeela Mubeen - Dentist

BDS | Faisalabad

review-stars

3 Positive Reviews

yes treatment (RCT) is possible


0

0

Dentist in Lahore - Dr. Mohib Ullah Khan

Dr. Mohib Ullah Khan - Dentist

BDS | Lahore

review-stars

14 Positive Reviews

Yes Rct hoskti ha lekin clinically dekhna parega Aqal darh ha ya USA pehla wali darh


0

0

Dentist in Peshawar - Dr. Jameel Kifayatullah

Dr. Jameel Kifayatullah - Dentist

BDS | Peshawar

review-stars

33 Positive Reviews

in which tooth there is pain?last or second last?


0

0

Dentist in Islamabad - Dr. Salma Ali Khan

Dr. Salma Ali Khan - Dentist

BDS, Certificate in Aesthetics Dentitry (UK), Certificate Restorative Rentistry | Islamabad

review-stars

44 Positive Reviews

Wisdom tooth hai or dard kate to zaroor nikalna chahiye


0

0

Attach Photo here: