Book Video Consultation

Book Video Consultation

Stay Home

No Waiting in lines

Audio/Video Call

PMC Verified Doctors

Talk to Dentist on Root Canal

person-avatar

Asking for Self, Male, 33 years old, Bahawalpur

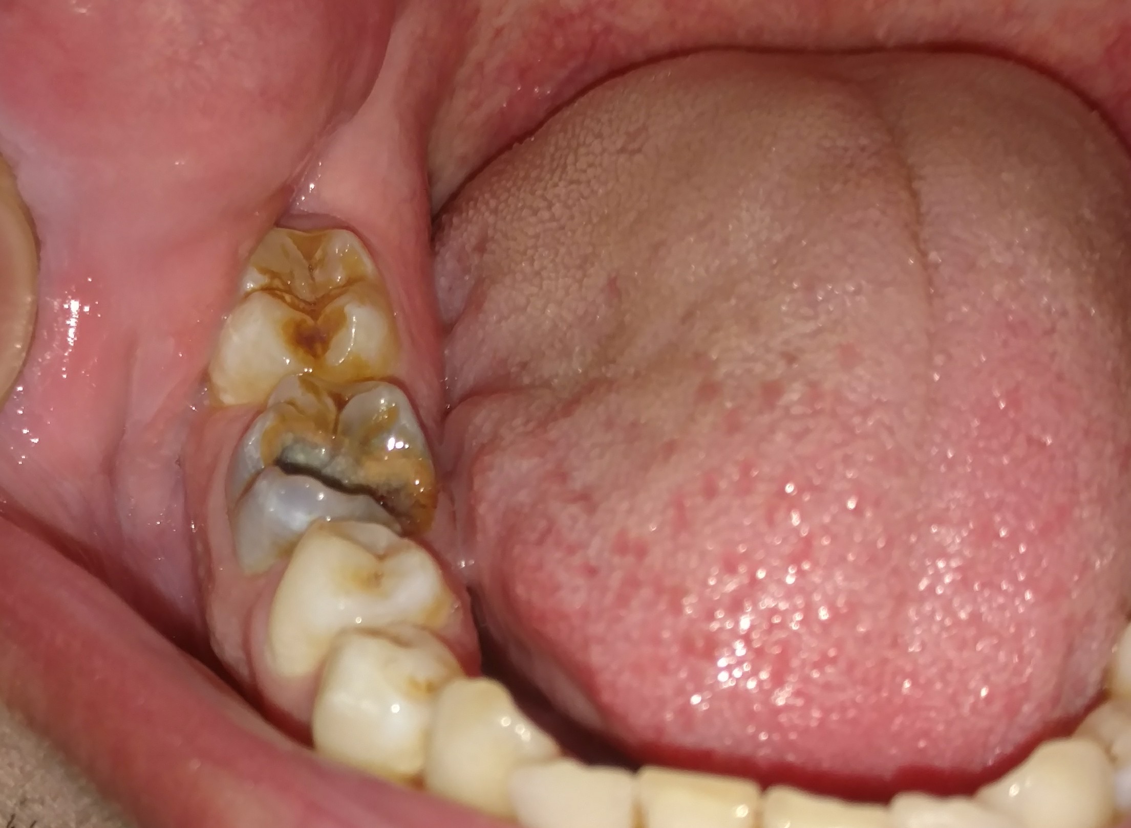
I need to know about Root Canal of posterior lower teeth. It has been carious for 20 years (since childhood). No pain. I only eat from left side. An year ago a dentist recommended root canal. Kindly tell if the process is safe and can help me eat from right side too. Because my left side is strained after years of eating. Though no pain but i can feel it. Also, what is the total cost of RC plus crown? Can it be done from Govt. Hospitals too? Recommend best dr in Bahawalpur please.

Dentist in Lahore - Dr. Rabia Ejaz Yousaf

Dr. Rabia Ejaz Yousaf - Dentist

BDS, MDS Operative Dentistry | Lahore

review-stars

26 Positive Reviews

aoa root canal is a safe procedure. it will help u to eat from this side also. yes it is done in government hospital


0

0

Dentist in Karachi - Dr. Mehreen Fatima

Dr. Mehreen Fatima - Dentist

BDS, RDS , Certificate of Orthodontics and C- Endodontics , C- Clear Path Orthodontic | Karachi

review-stars

5 Positive Reviews

I will not recommend you Rct of both teeth it is looking hopeless because it is very old complain as you said and the structure appear Is not strong enough to withstand crown and successful RCT better extract it both and then go for bridge or implant as your bhawalpur there are so many govt set up dental hospital you can ho there and solve your problem, Regards


0

0

Member

Post Owner


issue is with just one teeth not both. X ray an year ago suggested the roots are fine and RCT can be done. Does RCT depend upon root condition of teeth or the structure that is visible? I m confused.

6 years ago

Dentist in Karachi - Dr. Mehreen Fatima
Dr. Mehreen Fatima - Dentist

BDS, RDS , Certificate of Orthodontics and C- Endodontics , C- Clear Path Orthodontic | Karachi | Book Appointment

review-stars 2 Positive Reviews

picture of 2 nd premolar is not hope ful if possible then upload fresh opg x ray that rule out apprehension of extraction of teeth

6 years ago

Dentist in Karachi - Assoc. Prof. Dr. Abid Mahmood

Assoc. Prof. Dr. Abid Mahmood - Dentist

BDS , MCPS Oral & Maxillo-Facial Surgery | Karachi

review-stars

45 Positive Reviews

any tooth with good healthy bone around it can be saved and restored to normal functioning with the help of rct. it can be treated at govt hospital too, I'd recommend to attend some teaching hospital where rct can be done at quite lower charges


0

0

Dentist in Islamabad - Dr. Ayesha Khan

Dr. Ayesha Khan - Dentist

BDS , RDS , C-Endo, C-Ortho , C -Implants , C-Clear Aligners ,Certificate In Implantology | Islamabad

review-stars

979 Positive Reviews

Dear patient visit nearest doctor
He will get X ray and after thorough examination he will guide u if RCT can save tooth
price varies from place to place and case to vase


0

0

Member of Marham-Forum

Hello. Root canal treatment is a safe and effective procedure done in an effort to save the carious tooth that has deep cavity. The procedure basically cleans off the entire lesion and renders the tooth painless. Following RCT, a crown is usually advised because loss of tooth structure renders the tooth weak and makes it susceptible to fracture. A crown strengthens the tooth structure and helps restore function.

RCT can be done at a teaching hospital as well. Usually the charges are lower at the institute compared to private clinics. You can visit your nearest facility and get it done so that your right side becomes functional too. Prices would vary from place to place.

Regards.


0

0

Dentist in Lahore - Dr. Zahra Masood

Dr. Zahra Masood - Dentist

BDS | Lahore

review-stars

41 Positive Reviews

Yes the anount of calculus around molars on chewing surfaces itself shows that patient is not using that side .
Now if you post a periapical xray of ist molar would help in diagnosis and prognosis of case .
So one can not comment without seeing the xray .
There are good ways to restore a broken crown ..
But it all depends upon health of root areas .
Pls attach xray


0

0

Member

Post Owner


Thank you. Will get an xray.

6 years ago

Dentist in Karachi - Aishah Aijaz

Aishah Aijaz - Dentist

Dentistry, Masters of Public Health | Karachi

review-stars

13 Positive Reviews

PA xray is is possible if càrious lesion is confined to the crown part means not upto the furcation idea in bwp


0

0

Dentist in Karachi - Aishah Aijaz
Aishah Aijaz - Dentist

Dentistry, Masters of Public Health | Karachi | Book Appointment

review-stars 9 Positive Reviews

càrious lesion *

6 years ago

Dentist in Karachi - Aishah Aijaz
Aishah Aijaz - Dentist

Dentistry, Masters of Public Health | Karachi | Book Appointment

review-stars 9 Positive Reviews

caries

6 years ago

Attach Photo here: