Book Video Consultation

Book Video Consultation

Stay Home

No Waiting in lines

Audio/Video Call

PMC Verified Doctors

Talk to Dentist on Teeth Decay And Other Problems

person-avatar

Asking For Self, Male 20, Lahore

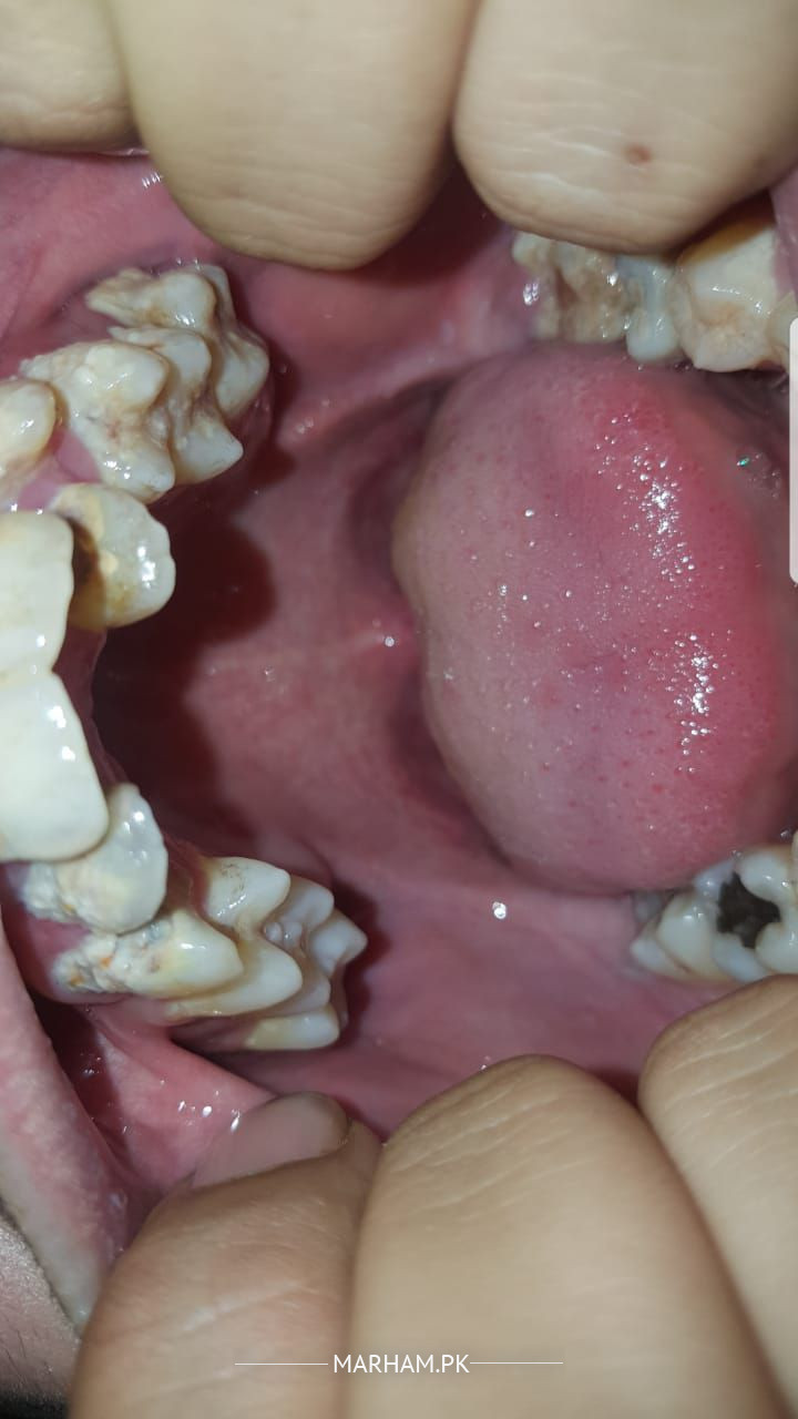
I have had teeth problems since i was a child now iam 20 and starting to lose hope if my teeth are fixable or not i have alot of cavities in my teeth and they are misaligned and are sensitive to hot and cold my lower left teeth is pretty much fully decayed so i cant eat and is very sensitive to anything please guide me for my problems thanks

Dentist in Muzaffar Garh - Dr. Muhammad Siddique Arain

Dr. Muhammad Siddique Arain - Dentist

BDS, RDS, OMSB (Muscat Oman), MCPS Family Dentistry | Muzaffar Garh

review-stars

93 Positive Reviews

There is Calculus and Carries need only SPT and Light cure Composite Filling


0

0

Dentist in Lahore - Dr. Muhammad Shoaib Ahmed

Dr. Muhammad Shoaib Ahmed - Dentist

BDS (Gold Medalist) FCPS Res. (Orthodontics), RDS, C-IMPLANTS ( AIMS Academy Istanbul) | Lahore

review-stars

342 Positive Reviews

Assalamu Alaikum. Don't be hopeless. you just need to visit any good dental clinic. most of your issues are easily restorable. just dont delay.


1

0

Oral and Maxillofacial Surgeon in Islamabad - Dr. Waqas Javid

Dr. Waqas Javid - Oral and Maxillofacial Surgeon

BDS, MDS Oral and Maxillofacial Surgery, Diplomat American Board Of Laser Surgery | Islamabad

review-stars

5 Positive Reviews

You need many fillings and have crooked teeth as seen in the pics. You may visit any good dentist to make a proper plan for fixing your dental problems.


1

0

Dentist in Karachi - Dr. Nadeem Chand

Dr. Nadeem Chand - Dentist

BDS, RDS, MCPS (Oral Surgery), FICCDE (Singapore) | Karachi

review-stars

109 Positive Reviews

you need to visit Clinic for proper treatment. u need treatment of malignant plus multiple cavities and scaling.


1

0

Dentist in Lahore - Dr. Ayman

Dr. Ayman - Dentist

BDS | Lahore

review-stars

4 Positive Reviews

u feel hot n cold due to these cavities u require immediate fillings n might b root canals which could b confirmed after clinical examination n x-ray. kindly visit nearby dentist for proper treatment plan of ur teeth


1

0

Dentist in Karachi - Dr. Saqib Kaleem

Dr. Saqib Kaleem - Dentist

BDS, MS (Oral and Maxillofacial) C-Facial Aesthetics, C-Implant, C-Endo | Karachi

review-stars

114 Positive Reviews

everything can be assessed and fixed . find a good dentist it'll be perfect


1

0

Dentist in Karachi - Dr. Shaharyar Khan

Dr. Shaharyar Khan - Dentist

BDS, MBA (HHCM) | Karachi

review-stars

11 Positive Reviews

this all happened because u did not maintain your oral hygiene since your childhood and now u r suffering from this. but its not too late. still u can have good oral hygiene with good smile. just consult a skilled dentist for your proper treatment.


1

0

Dentist in Karachi - Asst. Prof. Dr. Erum Behroz Khan

Asst. Prof. Dr. Erum Behroz Khan - Dentist

BDS, FCPS (Orthodontics) | Karachi

review-stars

40 Positive Reviews

your problem Is multidisciplinary ,
1. poor oral hygiene,
2. cavities needing urgent restorations alongwith
3. Orthodontic Treatment for teeth alignment and prevention of future problem.
if you are in khi, you can visit my private practice


0

0

Dentist in Lahore - Dr. Asma Mumtaz

Dr. Asma Mumtaz - Dentist

BDS , RDS | Lahore

review-stars

43 Positive Reviews

detailed examination and detail treatment is the solution to All you promblem dont worry it take some time but your All problem will be solved


0

0

Attach Photo here: