Book Video Consultation

Book Video Consultation

Stay Home

No Waiting in lines

Audio/Video Call

PMC Verified Doctors

Talk to Dentist on Teeth Discoloration

person-avatar

Asking for Self, Female, 1.5 years old, Chakwal

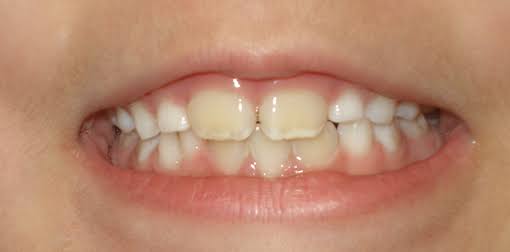
Meri beti jo k 1.5 year k hai nido 1+ peeti h aur solid bhi lti h koi khas meethi chez nhi khati rice wghera ya roti khati hai us k teeth front wle ese lgta k un p koi yellow layer lg gae h mne use brush krne k try k but wh permanent h means clr chng hogya h doubl shaded hogae hn ua k teeth puchna yh tha k mjhe kia krna chahye koi medicine dni chahye ya us k jo teeth phr aen g wh sahi hun g???pic Apko smjhane k in advnc

Homeopath in Faisalabad - Dr. Sami Ullah

Dr. Sami Ullah - Homeopath

DHMS , RHMP | Faisalabad

review-stars

4 Positive Reviews

ap ke bati ka stomach nhi thek is wja Sy teeth pr yellow colour ha
Kindly get an appointment for detailed history.
Linkhttp://www.marham.pk/online-consultation/homeopath/faisalabad/dr-sami-ullah-29378


0

0

Dentist in Rawalpindi - Dr. Shehr Bano

Dr. Shehr Bano - Dentist

| BDS | | Rawalpindi

review-stars

1 Positive Reviews

ye picture bachi k apny danto ki nahi lg rhi. uski apni picture send kijiay. 1.5 years k bachi k aisy daant ni hoty.


0

0

Dentist in Islamabad - Dr. Quratulain

Dr. Quratulain - Dentist

BDS , MS. (Aesthetics Dentistry) | Islamabad

review-stars

47 Positive Reviews

permanent teeth are usually pale in colour as compared to milk teeth ensure regular brushing twice daily before bed time and after breakfast in the morning nothing to worry about you can also get polishing done from a qualified dentist to maintain her hygiene.


0

0

Dentist in Larkana - Asst. Prof. Dr. Sandeep Kumar

Asst. Prof. Dr. Sandeep Kumar - Dentist

BDS, M.Sc. (Prosthodontics), C- endo | Larkana

review-stars

8 Positive Reviews

ap apni beti ko khud brush karwaen apne hathon se. achi toothpaste use karwaen. jese k protect ABC. koi tension ki baat nhi hai. ye primary teeth hain. dusre teeth aaen ge 7 saal ki age main


0

0

Dentist in Karachi - Dr. Farah Afroz Khan

Dr. Farah Afroz Khan - Dentist

BDS | Karachi

review-stars

1 Positive Reviews

koi trauma. ya face k bal giri to NHi kabhi aki beti ? ya koi chot lagi ho face pe mouth k pass. ?
ya phr koi chez zor k agy k teeth se us ne zabardasti kholny ki koshish ki ho . jesy koi pen wagera.


1

0

Dentist in Abbottabad - Dr. Iman Saif

yeah apki beti ki pic nhi LG rahi q k 1.5 yrs ki bachi k aisay dant nhi hotay.......as far as your concerns are related no Need of any medicine.....bs brush krain aap khud properly din mein 2 br or Jo dsray dant aingay woh naturally thooray zada pale hotay hain pr aisi discoloration unmein nhi hogi........


0

0

Member

Post Owner


G mri beti k pic nhi h qk camera m show ni ho rha tha to google s li pic smjhane k lye k ks trah k hogae hn thnku dr.

3 years ago

Dentist in Abbottabad - Dr. Iman Saif
Dr. Iman Saif - Dentist

| BDS | | Abbottabad | Book Appointment


your welcome ?

3 years ago

Dentist in Karachi - Dr. Fatima Bibi

Dr. Fatima Bibi - Dentist

| BDS | | Karachi

review-stars

7 Positive Reviews

go for dental checkup or book an appointment with me .. I can surely suggest you some diagnostic tests then we can plan your treatment.


0

0

Dentist in Karachi - Dr. Asifa Noreen

Dr. Asifa Noreen - Dentist

| BDS | | Karachi

review-stars

7 Positive Reviews

kindly brush your daughter in your supervision and visit a dental clinic nearby


0

0

Member of Marham-Forum

1.5 years ago kaafi early stage hay jis pay kaafi teeth aur anaa baki hen abhi,,aik baar dentist ko visit kijye,,child ki brushing khud karwayen with tooth paste.
ye teeth abi milk teeth hen...6 years ki age men permanent teeth ayen gay..so dont worry about it..lekin balanced diet kaa khaas khyaal rakhen beti ka..


0

0

Attach Photo here: