Book Video Consultation

Book Video Consultation

Stay Home

No Waiting in lines

Audio/Video Call

PMC Verified Doctors

Talk to Dentist on Teeth Pain

person-avatar

Asking For Self, Female 27, attock

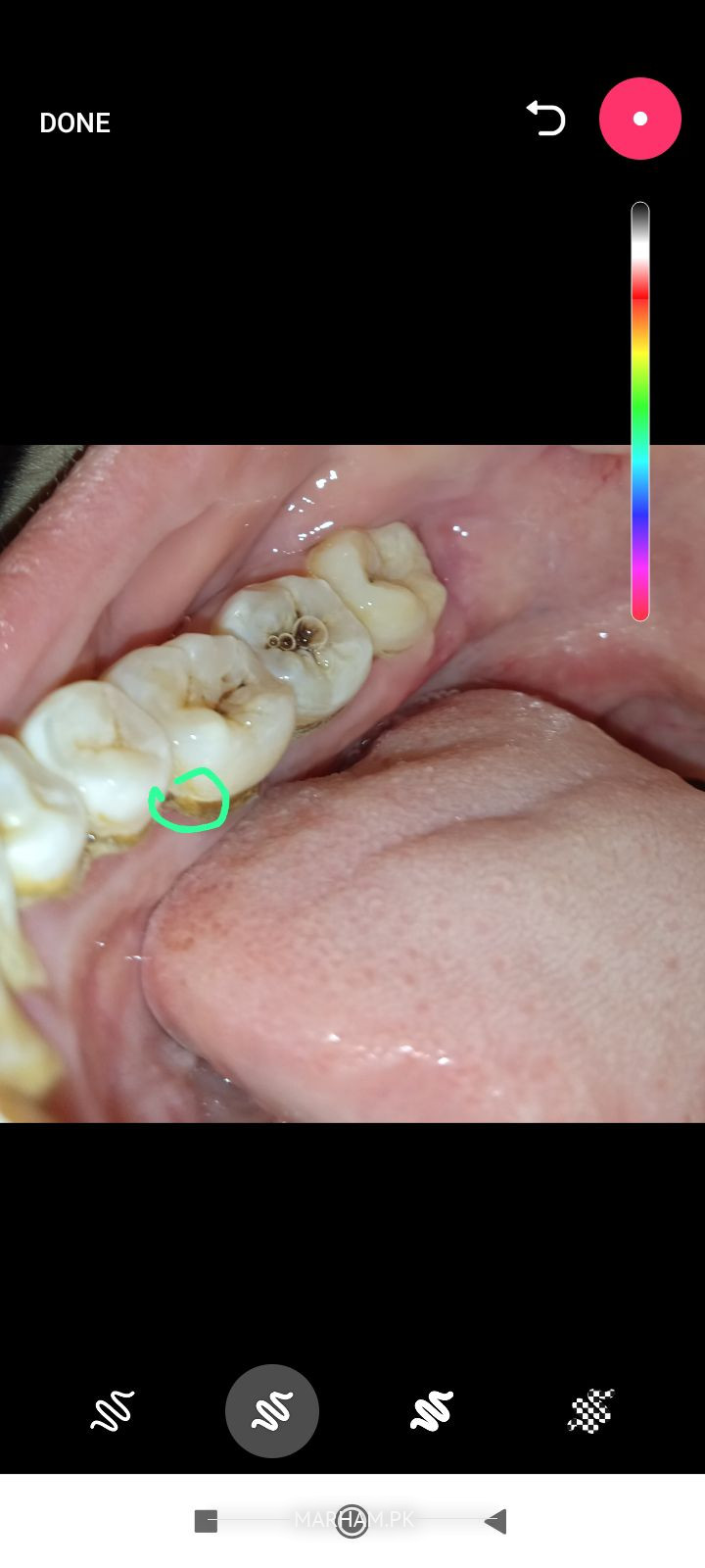
میرے دو دانتوں کے درمیان جڑوں میں ہلکا سا سوراخ ہے۔۔ تین چار دن سے ایسا ہو رہا ہے جب میں لیٹتی ہوں درد شروع ہو جاتا ہے۔۔ میری پریگننسی کا دوسرا منتھ ہے ۔۔ کاہنڈلی کوئی دوائی تجویز کر دیں ۔۔ جس سے پریگننسی کو نقصان نا ہو ۔۔اور درد بھی ٹھیک ہو جائے ۔۔اوپر تصویر میں نے نشان دہی کی ہے جگہ کی

Dentist in Layyah - Dr. Tehreem Fatima

Dr. Tehreem Fatima - Dentist

BDS (Basic Dental Qualification) | Layyah

review-stars

3 Positive Reviews

tab.panadol 1pm subah sham 3 din k liy use krien.


0

0

Dentist in Lahore - Asst. Prof. Dr. Ayesha Irfan Sethi

Asst. Prof. Dr. Ayesha Irfan Sethi - Dentist

| BDS | Certified Clinical Research Associate | M.Phil. (Oral Pathology) | | Lahore

review-stars

6 Positive Reviews

aap ko scaling ki zaroorat he Jo pregnancy mein kerwai ja sakti he safely. dental floss use karein teeth ke darmiyan air Neem garam Pani mein namak daal ker kuliyan kerein


0

0

Dentist in Lahore - Dr. Saira Taliib

Dr. Saira Taliib - Dentist

| BDS | | Lahore

review-stars

6 Positive Reviews

آپ چیک کروائیں اگر فلنگ ہونی ہے تو کروانا پڑے گی دوائی اس حالت میں نہیں دے سکتے دوائی گائنا کولوجسٹ سے مشورے کے بغیر نہیں کھانی


0

0

Dentist in Karachi - Asst. Prof. Dr. Juzer Shabbir

Asst. Prof. Dr. Juzer Shabbir - Dentist

BDS, MDS (Master of Dental Surgery), MDFTED (Membership of the Faculty of Dental Surgeons) | Karachi

review-stars

29 Positive Reviews

the best way to treat the pain is intervention treatment like root canal treatment (if required) based on diagnosis. remember that as time passes, the severity may increase. so kindly get dental consultation done from a dentist


0

0

Dentist in Islamabad - Dr. Laraib Kibriya

Dr. Laraib Kibriya - Dentist

| BDS | | Islamabad

review-stars

3 Positive Reviews

apko scaling krwani chahye. dentist ko check krwaen. ho skta ha filling ki zrurat ho. akhri se agly dant ma keera lga ha.. scaling r filling pregnancy ma ho skti ha.
tab panadol subh sham khaen
neem grm pani ma namak dal k kuliyan kren. r jald check krwa len.


0

0

Dentist in Karachi - Assoc. Prof. Dr. Abid Mahmood

Assoc. Prof. Dr. Abid Mahmood - Dentist

BDS , MCPS Oral & Maxillo-Facial Surgery | Karachi

review-stars

45 Positive Reviews

ovoid use of medicines in pregnancy. consult an expert dental surgeon for proper evaluation and management


0

0

Dentist in Lahore - Dr. Anila Hidayat

Dr. Anila Hidayat - Dentist

BDS | Lahore

review-stars

1 Positive Reviews

Mujhy Check up krna pryga dard ki kya wajha h aesy bina dekhy koi b dawai nai dee jaskti especially pregnancy main ap appointment book krwa lain agr clinic nai askti tou video appointment book krlain ta k ma dekh saku msla usk mutabiq dawai deni hogi


0

0

Dentist in Lahore - Dr. Anila Hidayat

Dr. Anila Hidayat - Dentist

BDS | Lahore

review-stars

1 Positive Reviews

Apk sath waly or is daant ma keera laga hua h jiska waqt pa ilaaj krna zaroori h wrna ksi b wqt shadeed dard ka samna krna par skta h. Mera mashwra h ap appointment lylain or clinic ma a k treatment krwa lain.


0

0

Dentist in Peshawar - Dr. Yusaf Imran

Dr. Yusaf Imran - Dentist

BDS , MDS (Orthodontics) | Peshawar

review-stars

118 Positive Reviews

Visit us for best treatment plan



0

0

Attach Photo here: