Book Video Consultation

Book Video Consultation

Stay Home

No Waiting in lines

Audio/Video Call

PMC Verified Doctors

Talk to Dentist on Teeth Problem

person-avatar

Asking for Self, Female, 22 years old, Karachi

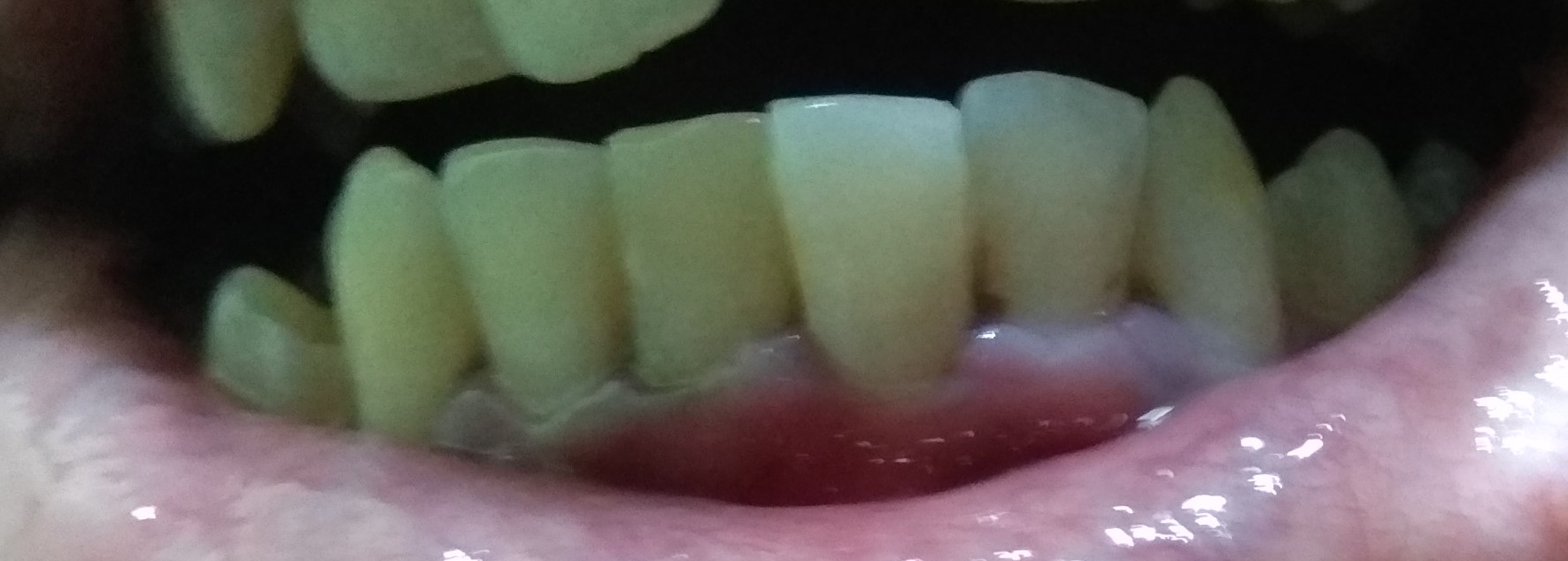
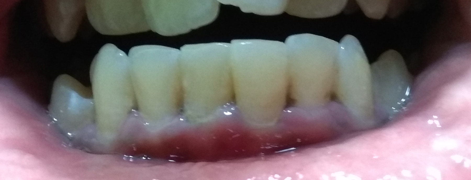
This is my lower jaw, it bleeds and pianso when i brush, something black is also visible, is this cavity?

Dentist in Quetta - Dr. Fazal Rahman Babar

Dr. Fazal Rahman Babar - Dentist

BDS, MPH | Quetta

review-stars

152 Positive Reviews

scaling is best for it


0

0

Dentist in Karachi - Dr. Mehreen Fatima

Dr. Mehreen Fatima - Dentist

BDS, RDS , Certificate of Orthodontics and C- Endodontics , C- Clear Path Orthodontic | Karachi

review-stars

5 Positive Reviews

it is inflammation of your gums plz see dentist for proper medication and treatment....


0

0

Member of Marham-Forum

It looks like gingivitis. Go for scaling immediately along with oral hygiene improvement, and change of T/P & M/W.
Visit nearby dentist for further consultation



0

0

Dentist in Lahore - Dr. Rabia Ejaz Yousaf

Dr. Rabia Ejaz Yousaf - Dentist

BDS, MDS Operative Dentistry | Lahore

review-stars

26 Positive Reviews

aoa dear its plaque. u need will resolve ur bleeding as well. book ur appointment


0

0

Dentist in Karachi - Assoc. Prof. Dr. Abid Mahmood

Assoc. Prof. Dr. Abid Mahmood - Dentist

BDS , MCPS Oral & Maxillo-Facial Surgery | Karachi

review-stars

45 Positive Reviews

you've lots of calculus underneath your gums, that's why your gums are swollen. you need a thorough scaling.


0

0

Dentist in Karachi - Dr. Abid Noor

Dr. Abid Noor - Dentist

BDS | Karachi

review-stars

7 Positive Reviews

This is due to poor oral hygiene. This progressive gum disease occur when bacterial plaque is not thoroughly removed from your teeth.
Dentist will remove the plaque and tartar (which you mentioned in your question black thing under the gums) from above and below the gum line and few medication.
In Sha Allah you will recover very quickly.


0

0

Dentist in Karachi - Dr. Nadeem Chand

Dr. Nadeem Chand - Dentist

BDS, RDS, MCPS (Oral Surgery), FICCDE (Singapore) | Karachi

review-stars

109 Positive Reviews

u need scaling and polishing and orthodontic treatment as well for teeth alignment


0

0

Dentist in Islamabad - Dr. Ayesha Khan

Dr. Ayesha Khan - Dentist

BDS , RDS , C-Endo, C-Ortho , C -Implants , C-Clear Aligners ,Certificate In Implantology | Islamabad

review-stars

979 Positive Reviews

Dear patient for sure you need to visit dentist asap
it needs to be cleaned properly by scaling n polishing


0

0

Member of Marham-Forum

You have gums conditions ( gingivitis) all you need is scaling and improvement of oral hygiene. Kindly book an appointment for scaling and polishing it’ll help you with pain and bleeding from gums.
Regards
Dr Fahmeena Asghar


0

0

Dentist in Karachi - Dr. Zafar Abbas

Dr. Zafar Abbas - Dentist

BDS, RDS, Certificate in Implant, C-Ortho, MCPS (Oral Surgery) | Karachi

review-stars

51 Positive Reviews

you need scaling
this is calculus and tarter


0

0

Dentist in Karachi - Dr. Sidra Butt

Dr. Sidra Butt - Dentist

BDS, MDS Orthodontics | Karachi

review-stars

7 Positive Reviews

It doesn't seem like a cavity infact it's a tartar stick around your teeth . Go for Cleaning (scaling) by Dentist.


0

0

Dentist in Gujranwala - Dr. Amara Latif Bajwa

Dr. Amara Latif Bajwa - Dentist

BDS (KU) , C Implant (Germany), Dip. MID (Australia) | Gujranwala

review-stars

244 Positive Reviews

All u need is a visit to dentist 30 min session with ORAL EDUCATION
SCALING AND POLISHING AND U LL BE IN PERFECT


0

0

Attach Photo here: