Book Video Consultation

Book Video Consultation

Stay Home

No Waiting in lines

Audio/Video Call

PMC Verified Doctors

Talk to Dentist on Teeth Problem

person-avatar

Asking For Self, Male 23, Peshawar

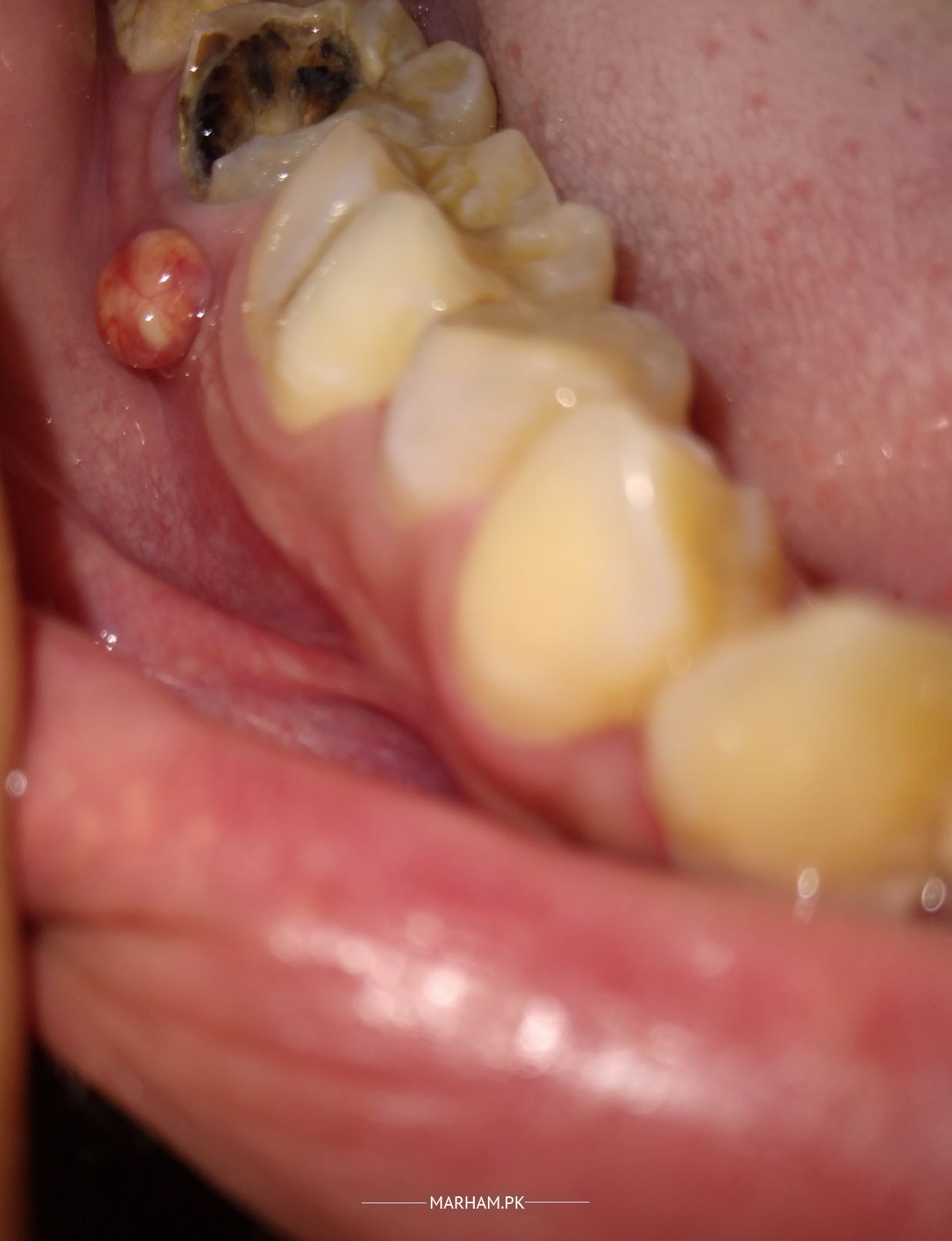
Mera aik dant cavity ne bilkul khatam kiya hai. Us ke sath ye chala nikla hai aur dant dard kar raha hai. check

Dentist in Islamabad - Dr. Quratulain

Dr. Quratulain - Dentist

BDS , MS. (Aesthetics Dentistry) | Islamabad

review-stars

47 Positive Reviews

it is infected kindly visit a dentist for medication and further management


0

0

Dentist in Peshawar - Dr. Yusaf Imran

Dr. Yusaf Imran - Dentist

BDS , MDS (Orthodontics) | Peshawar

review-stars

119 Positive Reviews

Appp clinic tashreef layae .


0

0

Dentist in Muzaffar Garh - Dr. Muhammad Siddique Arain

Dr. Muhammad Siddique Arain - Dentist

BDS, RDS, OMSB (Muscat Oman), MCPS Family Dentistry | Muzaffar Garh

review-stars

93 Positive Reviews

its sinus most probably extraction


0

0

Dentist in Faisalabad - Dr. Mubrrah Nisar

Dr. Mubrrah Nisar - Dentist

BDS, RDS | Faisalabad

review-stars

46 Positive Reviews

aoa, visit to your dentist, you need RCT /Extraction for this carious tooth


0

0

Dentist in Karachi - Dr. Ameet Kumar

Dr. Ameet Kumar - Dentist

BDS | Karachi

review-stars

2 Positive Reviews

Appke dant main infection iske liye dawa khaan hogi aur isko appk kareeb dentist ko check karwaaye aur wo appko xray karwai ga dant ka agar ismain bachat hogi to rct hogi phir cap lagega agar nhi afford karsakte to nikalwaane warna dusre dant bhi kharab honge saath waale


0

0

Dentist in Multan - Dr. Muhammad Abubakar Malik

Dr. Muhammad Abubakar Malik - Dentist

BDS, RDS | Multan

review-stars

11 Positive Reviews

Its all due to the infection in and under around your tooth . due to infection puss is there with sinus . You first need to take antibiotics and analgesics for 3-5 days . Then visit a dentist or endodontist for proper treatment planning . Root Canal Treatment may be tried to Secure tooth from Extraction . If RCT fails then Extraction will be the ultimate option . It depends upon the proper Radiographic and Clinical examination of tooth .


0

0

Dentist in Multan - Dr. Talha Saleem

Dr. Talha Saleem - Dentist

BDS | Multan

review-stars

6 Positive Reviews

First we puncture this granuloma , and drained this pus . when you recovered after 3 days of antibiotics , then it's good to extract this tooth after Periapical X Ray.


0

0

Dentist in Mardan - Dr. Ali Shan

Dr. Ali Shan - Dentist

BDS | Mardan

review-stars

1 Positive Reviews

Sinus tract formation..treatment is RCT but if you can not afford it should be extracted.kindly visit your nearest dentist??


0

0

Dentist in Peshawar - Dr. Yusaf Imran

Dr. Yusaf Imran - Dentist

BDS , MDS (Orthodontics) | Peshawar

review-stars

119 Positive Reviews

Visit us as soon as possible



0

0

Member of Marham-Forum

visit dentist asap.


0

0

Dentist in Karachi - Dr. Salman Zahid

Dr. Salman Zahid - Dentist

BDS | Karachi

review-stars

33 Positive Reviews

visit your dentist asap, u might need root canal or extraction


0

0

Member of Marham-Forum

Visit your dentist for proper Check up and X-ray. then get the treatment done as adviced.
avoid hard and sweet food, do salt water rinses


0

0

Dentist in Peshawar - Dr. Yasir Ali Shah

plz visit ur nearest dentist it either needs rct or extraction.it can be confirmed by its clinical examination and radiographs


0

0

Dentist in Karachi - Dr. Arfa Saeed

Dr. Arfa Saeed - Dentist

BDS | Karachi

review-stars

70 Positive Reviews

Assalam u Alaikum
apka daant kafi deeply decay ho chuka hai jis ki waja se nerve expose ho gae hai .. aisi condition mei daant ko save Karne k lye Root canal treatment Kia jata hai .so agr ap is daant ko bachana chahte hai Tu urgently Root Canal karwae otherwise isse ziada dair Karne mei ye daant Puri tarha khatam ho jaega or phir remove karwane k elawa koi option nhi rhe gi


0

0

Dentist in Karachi - Dr. Sobia Bhatti

Dr. Sobia Bhatti - Dentist

BDS, RDS | Karachi

review-stars

5 Positive Reviews

apky is dant ki cavity apki root tak pohanch gae hai jiskay leay apko foran Root Canal Treatment ki zaroort hai. only medications effective nahi hongi jab tak ap proper treatment nahi laingy. agr ap ne isko delay kia to extraction krwani hogi kyu k yeh infection apki root ko bhi khatam krdyga or painful hoga with time.



0

0

Attach Photo here: