Book Video Consultation

Book Video Consultation

Stay Home

No Waiting in lines

Audio/Video Call

PMC Verified Doctors

Talk to Dentist on Tooth

person-avatar

Asking for Self, Female, 29 years old, Faisalabad

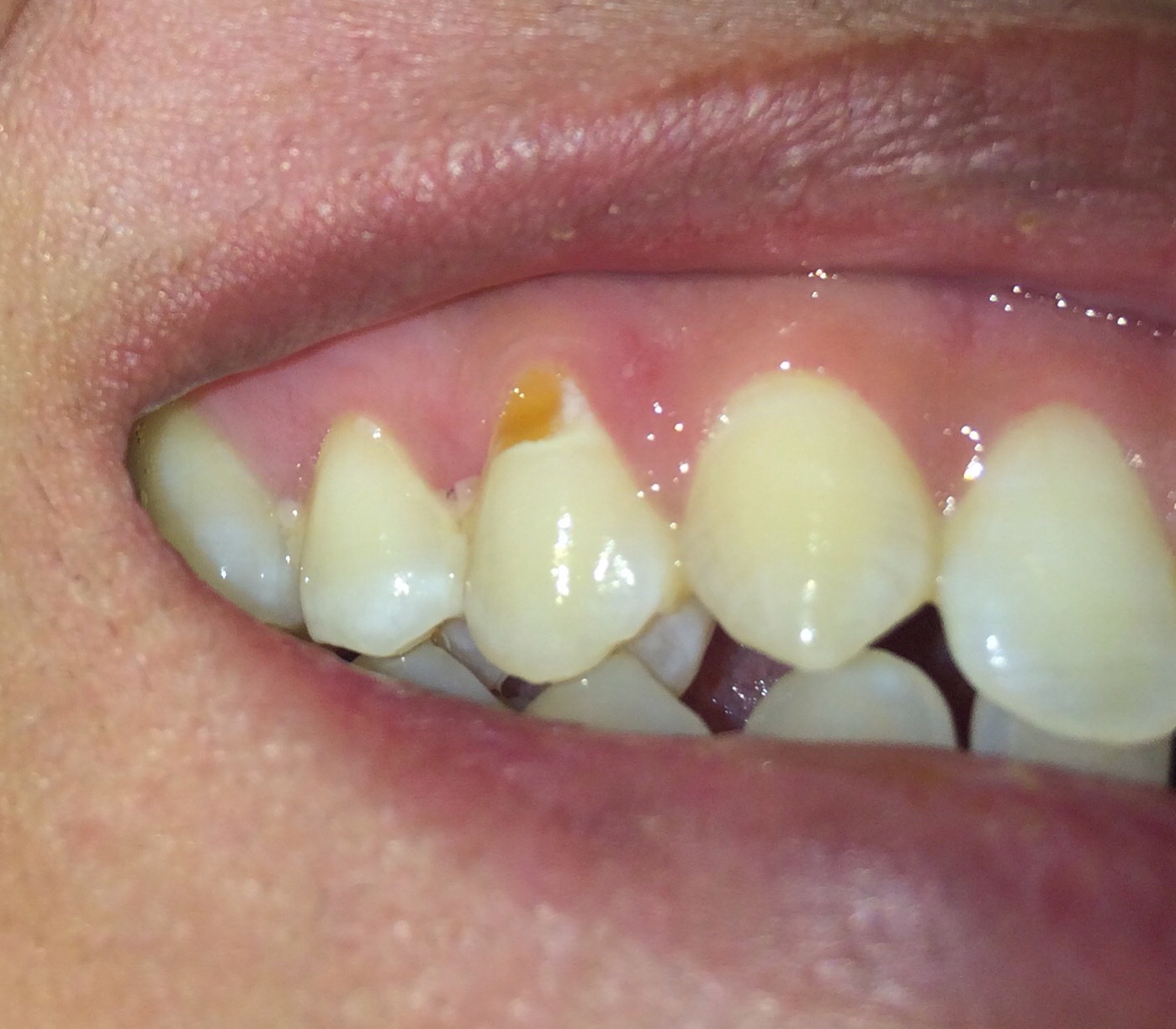
Why this yellow spot appeared I just noticed today Thori pain b hai Is it cavity? What should i do?

Dentist in Karachi - Aishah Aijaz

Aishah Aijaz - Dentist

Dentistry, Masters of Public Health | Karachi

review-stars

13 Positive Reviews

its initial it filled from any dentist. but clinical examination is must.


0

0

Dentist in Karachi - Dr. Wajiha Anzar

Dr. Wajiha Anzar - Dentist

BDS, Bachelor Of Dental Surgery , MSc. In Community Dentistry, C-endo, C-ortho | Karachi

review-stars

263 Positive Reviews

Its looks like a tooth wear or a cavity needs to be filled in both cases. If you are in karachi you can book your appointment with us.


0

0

Dentist in Muzaffar Garh - Dr. Muhammad Siddique Arain

Dr. Muhammad Siddique Arain - Dentist

BDS, RDS, OMSB (Muscat Oman), MCPS Family Dentistry | Muzaffar Garh

review-stars

93 Positive Reviews

yes it's cavity class 5 need to be filled


0

0

Dentist in Lahore - Prof. Dr. Muhammad Behzad Salahuddin

Prof. Dr. Muhammad Behzad Salahuddin - Dentist

BDS, MSc (London), FICD (USA), CMT (Liverpool), C-Implant, C-Ortho | Lahore

review-stars

5 Positive Reviews

it is definitely a cavity. or you could say it is erosion of enamel, the outermost dead layer of teeth. it will cause sensitivity problems and you need to get it filled


0

0

Member of Marham-Forum

yes it's cavity get it filled


0

0

Member of Marham-Forum

This is a cavity and needs to be filled


1

0

Member of Marham-Forum

Dental examination is must including X-rays


0

0

Dentist in Lahore - Dr. Asifa Iqbal

Dr. Asifa Iqbal - Dentist

BDS, M.Phil (Oral Pathology & Microbiology), FCPS (Oral & Maxillofacial Surgery) | Lahore

review-stars

1,032 Positive Reviews

It’s cervical carries u need filling


0

0

Dentist in Peshawar - Prof. Dr. Shakeel Ur Rehman Khattak

Prof. Dr. Shakeel Ur Rehman Khattak - Dentist

BDS, FCPS , Msc | Peshawar

review-stars

17 Positive Reviews

yes its a cavity. need to be seen what's cause of it.
from caries to lateral forces on tooth hard brush wrong technique can be the cause.
end of day will need restoration and removal of cause


0

0

Dentist in Karachi - Dr. Abdul Haseeb Kath

Dr. Abdul Haseeb Kath - Dentist

BDS | Karachi

review-stars

5 Positive Reviews

Dear Patient,




This is called abfraction or
mechanical loss of tooth structure and yellow part is the dentine inside the tooth, it can shows the similar symptoms like cavity i.e : sensitivity, its has multiple causes like hard vigrous brushing , clenching ,stress etc , for this you have to filled
this lesion with the filling material and treatment of the cause is also required.




Thank You,


0

0

Dentist in Faisalabad - Asst. Prof. Dr. Qurat Ul Ain

Asst. Prof. Dr. Qurat Ul Ain - Dentist

MBBS, FCPS | Faisalabad

review-stars

1 Positive Reviews

It' seems cavitation or tooth loss due to abrasion...


0

0

Dentist in Lahore - Assoc. Prof. Dr. Agha Suhail

Assoc. Prof. Dr. Agha Suhail - Dentist

BDS, MCPS (Operative Dentistry) | Lahore

review-stars

54 Positive Reviews

Regarding the yellow spot, which you are very conscious, needs to take history of your diet and habits and your brushing frequency ..... The pain is due to the exposure of Dentin, which causes sensitivity and Yes now it’s an establish cavity and needs to be filled by a tooth coloured filling material .... Not a very big job any Dentist can perform the procedure...


1

0

Attach Photo here: