Book Video Consultation

Book Video Consultation

Stay Home

No Waiting in lines

Audio/Video Call

PMC Verified Doctors

Talk to Dentist on Tooth Decay

person-avatar

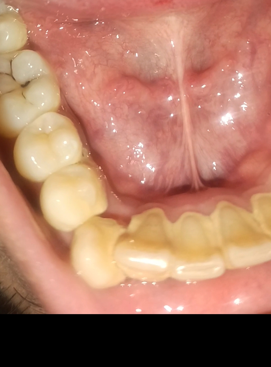
Asking for Self, Male, 26 years old, lahore

white-yellowish layer covering the teeth boundaries (except molar teeth, 1 front tooth has started to break down slowly through tiny oieces falling

Dentist in Karachi - Dr. Sakina Quresh

Dr. Sakina Quresh - Dentist

BDS | Karachi

review-stars

35 Positive Reviews

these are tartar and plaque,u need scaling and polishing,


0

0

Dentist in Karachi - Dr. Hassan Raza

Dr. Hassan Raza - Dentist

| BDS | | Karachi

review-stars

4 Positive Reviews

You need scaling and polishing


0

0

Dentist in Lahore - Dr. Raheela Imtiaz

Dr. Raheela Imtiaz - Dentist

BDS | Lahore

review-stars

2 Positive Reviews

you need scaling and polishing


0

0

Dentist in Karachi - Dr. Syed Omar Islam

Dr. Syed Omar Islam - Dentist

BDS | Karachi

review-stars

1 Positive Reviews

You need scaling, kindly contact me. 6000 is the charges at ayesha Dental Medical Care


0

0

Dentist in Islamabad - Dr. Sohail Sajjad

Dr. Sohail Sajjad - Dentist

BDS, Certification in C Implantology (UK) | Islamabad

This is dirt that has accumulated and hardened over time. To clear these you need proper machine cleaning(scaling+polishing). The chipping off could be because of the oral hygiene protocols you started after noticing the problem.
Once proper cleaning is done you can maintain it by carrying out protocols necessary for daily oral hygiene.


0

0

Dentist in Mirpur - Dr. Khola Asif

Dr. Khola Asif - Dentist

BDS | Mirpur

review-stars

6 Positive Reviews

this is calculus which needs to be remove with scaling


0

0

Dentist in Islamabad - Dr. Rabail Jamal

Dr. Rabail Jamal - Dentist

BDS, Certified Facial Aesthetician AACME (USA) | Islamabad

review-stars

16 Positive Reviews

its calculus please get your scaling done n do brush your teeth from here


0

0

Dentist in Karachi - Dr. Noman Khan

Dr. Noman Khan - Dentist

BDS | Karachi

review-stars

12 Positive Reviews

I recommend you to go for scaling ASAP


0

0

Dentist in Mardan - Dr. Salman Hashmi

Dr. Salman Hashmi - Dentist

BDS | Mardan

review-stars

5 Positive Reviews

go for scaling


0

0

Dentist in Islamabad - Dr. Saba Imtiaz

Dr. Saba Imtiaz - Dentist

BDS, C-Prosthodontics, C-Endodontics and Esthetic Dentistry, C-Orthodontics, Diploma in Aesthetic Medicine | Islamabad

review-stars

5 Positive Reviews

It seems like you are dealing with tooth decay and plaque buildup, which has started to weaken one of your front teeth. This is a serious issue that requires immediate attention. The white-yellowish layer on your teeth is likely plaque or tartar, which can accelerate tooth decay if not treated.

We recommend you visit the clinic as soon as possible for a proper examination. This will allow us to assess the condition of your teeth and gums and suggest the most suitable treatment to stop further damage and restore your dental health


0

0

Dentist in Nawabshah - Dr. Abida Parveen

Dr. Abida Parveen - Dentist

BDS | Nawabshah

review-stars

6 Positive Reviews

Visit nearby clinic and go for scaling and after this maintain hygiene and If you are using any additives try to stop it bcoz after treatment you may gain such condition after treatment there is no visible breakdown in pictures if so than dentist will go for filling.


0

0

Dentist in Islamabad - Dr. Salma Ali Khan

Dr. Salma Ali Khan - Dentist

BDS, Certificate in Aesthetics Dentitry (UK), Certificate Restorative Rentistry | Islamabad

review-stars

43 Positive Reviews

Calculus hai scaling karwai or brush sahi tarha kare


0

0

Dentist in Mardan - Dr. Wajeeha Basit

Dr. Wajeeha Basit - Dentist

BDS | Mardan

review-stars

7 Positive Reviews

calculus deposits
get your scaling and polishing done


0

0

Dentist in Islamabad - Dr. Rabia Amjad

Dr. Rabia Amjad - Dentist

BDS | Islamabad

review-stars

6 Positive Reviews

Aoa, you need scaling and root planning. Thank you


0

0

Dentist in Lahore - Dr. Sabahat Venus

Dr. Sabahat Venus - Dentist

BDS Gold medalist, C -implant | Lahore

review-stars

9 Positive Reviews

Asalam u alikum...you need scaling and polishing.....its not tooth break down its calculus which has broken ....


0

0

Attach Photo here: