Book Video Consultation

Book Video Consultation

Stay Home

No Waiting in lines

Audio/Video Call

PMC Verified Doctors

Talk to Dentist on Braces

person-avatar

Asking for Other, Female, 25 years old, karachi

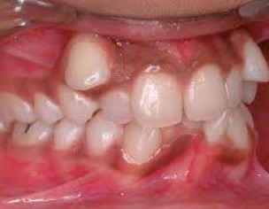
i have one tooth mis alignment doctor suggested braces having cost of 1 lakh 25 housand it is very costly can anyone suggest reasonable doctor?

Dentist in Quetta - Dr. Mohammad Ibrahim

Dr. Mohammad Ibrahim - Dentist

BDS, Implantology From Korea, Fellowship In Laser Dentistry (PALD), | Quetta

review-stars

820 Positive Reviews

Where are you from ?


0

0

Dentist in Peshawar - Prof. Dr. Shakeel Ur Rehman Khattak

Prof. Dr. Shakeel Ur Rehman Khattak - Dentist

BDS, FCPS , Msc | Peshawar

review-stars

17 Positive Reviews

you can visit Associate professor dr shahab khattak will him self evaluate and manage case .get apppointement as he offering discounts


0

0

Psychologist in Islamabad - Ayesha Mustafa
Ayesha Mustafa - Psychologist

Masters in Clinical Psychology | Islamabad | Book Appointment

review-stars 4 Positive Reviews

where is he sitting?

7 years ago

Dentist in Gujranwala - Dr. Hassan Ashfaq

Dr. Hassan Ashfaq - Dentist

BDS | Gujranwala

review-stars

10 Positive Reviews

Assalamualaikum
yes for sure may i know where r u living.


0

0

Dentist in Karachi - Dr. Talal Bin Taheer

Dr. Talal Bin Taheer - Dentist

BDS, MCPS, Implants (Diploma) | Karachi

review-stars

4 Positive Reviews

We have a pocket friendly package for braces at our clinic . You can have braces & pay on a monthly installments of Rs. 5000/- per month . Offer is for a limited time . Terms & conditions apply


0

0

Dentist in Karachi - Dr. Talal Bin Taheer

Dr. Talal Bin Taheer - Dentist

BDS, MCPS, Implants (Diploma) | Karachi

review-stars

4 Positive Reviews

This is our pocket friendly package for braces



0

0

Dentist in Karachi - Dr. Wajiha Anzar

Dr. Wajiha Anzar - Dentist

BDS, Bachelor Of Dental Surgery , MSc. In Community Dentistry, C-endo, C-ortho | Karachi

review-stars

263 Positive Reviews

The most important thing about braces is the quality of treatment provided to patient and the final results in asthetics and over all appearance. You can vist us our orthodontist will examine you , you can make payments in installments but the result will be guranteed IA


0

0

Dentist in Karachi - Dr. Nadeem Chand

Dr. Nadeem Chand - Dentist

BDS, RDS, MCPS (Oral Surgery), FICCDE (Singapore) | Karachi

review-stars

109 Positive Reviews

U can vist my clinic. Consultation is free for you. I can examine Your teeth and give you best possible solution in reasonable price. U can contact me through marham. Call042-32591427,


0

0

Dentist in Islamabad - Dr. Khurram Tahir

Dr. Khurram Tahir - Dentist

BDS, Msc (Implantologist), C-Orth | Islamabad

review-stars

36 Positive Reviews

American dental clinic , Islamabad.


0

0

Dentist in Peshawar - Prof. Dr. Shakeel Ur Rehman Khattak

Prof. Dr. Shakeel Ur Rehman Khattak - Dentist

BDS, FCPS , Msc | Peshawar

review-stars

17 Positive Reviews

i wil suggest prof dr shahab khattak fcps . he is offering packages on resaonable
042-32591427,


0

0

Member

Member


Dr. Shakeel u rahman saib zaa staso sara milavey dey sham.... Pa behria town k... Zama hum braces masla

7 years ago

Dentist in Peshawar - Prof. Dr. Shakeel Ur Rehman Khattak
Prof. Dr. Shakeel Ur Rehman Khattak - Dentist

BDS, FCPS , Msc | Peshawar | Book Appointment

review-stars 17 Positive Reviews

Sure brother. Any time most welcome

7 years ago

Attach Photo here: