Book Video Consultation

Book Video Consultation

Stay Home

No Waiting in lines

Audio/Video Call

PMC Verified Doctors

Talk to Dentist on Deep Cavity

person-avatar

Asking for Self, Female, 7 years old, Ireland

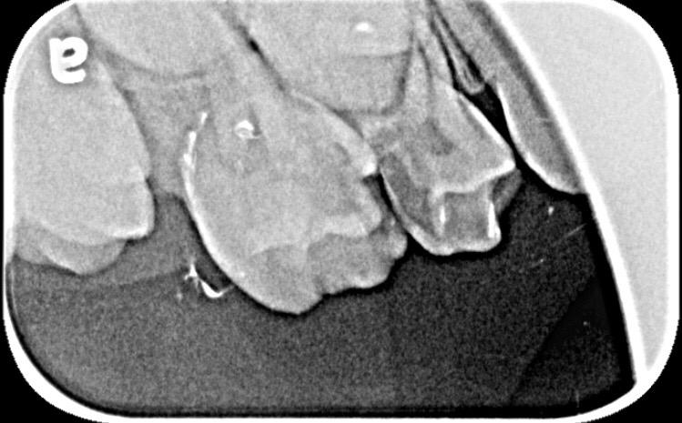
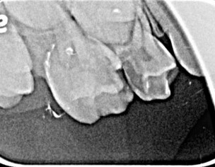
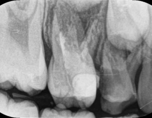
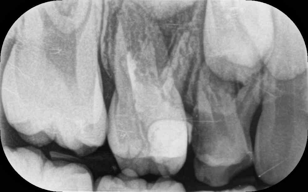
My daughter is 7 and hav deep cavity I took her to dentist one said she need 1 extraction and when I went to pediatric dentist she said she needs 4 extractions which she is going to do altogether same day I am attaching her xrays can any dentist plz advise after looking at the xrays thanks

Dentist in Lahore - Dr. Asifa Iqbal

Dr. Asifa Iqbal - Dentist

BDS, M.Phil (Oral Pathology & Microbiology), FCPS (Oral & Maxillofacial Surgery) | Lahore

review-stars

1,029 Positive Reviews

How much pain she has


0

0

Member

Post Owner


She doesn’t have any pain or discomfort

7 years ago

Dentist in Lahore - Dr. Asifa Iqbal

Dr. Asifa Iqbal - Dentist

BDS, M.Phil (Oral Pathology & Microbiology), FCPS (Oral & Maxillofacial Surgery) | Lahore

review-stars

1,029 Positive Reviews

Her both upper D are definitely for extraction and for her E need to evaluate clinically as well there might get b some Endodontic treatment and space maintainers afterwards


0

0

Member of Marham-Forum

Both of them are right. They just have different treatment plans.


0

0

Member of Marham-Forum

Dr said she is going to extract 4 of her teeth in one sitting is it ok for a seven year old isn’t it too much thanks

Dentist in Islamabad - Dr. Aashfa Nasir

Dr. Aashfa Nasir - Dentist

BDS, SLE, BLS, C-implant, C- Ortho C-Endo | Islamabad

review-stars

51 Positive Reviews

After extraction she will need space maintainer to keep first molar in its place so better to go for RCT to keep this tooth till age 12


0

0

Dentist in Peshawar - Prof. Dr. Shakeel Ur Rehman Khattak

Prof. Dr. Shakeel Ur Rehman Khattak - Dentist

BDS, FCPS , Msc | Peshawar

review-stars

17 Positive Reviews

can be done in two to three settings . even single extraction and space maintainers can be provided.
plan for geberal anestgesia or local anesthesia


0

0

Dentist in Peshawar - Prof. Dr. Shakeel Ur Rehman Khattak

Prof. Dr. Shakeel Ur Rehman Khattak - Dentist

BDS, FCPS , Msc | Peshawar

review-stars

17 Positive Reviews

can be done in two to three settings . even single extraction and space maintainers can be provided.
plan for geberal anestgesia or local anesthesia


0

0

Dentist in Karachi - Dr. Ali Abbas Rokadia

Dr. Ali Abbas Rokadia - Dentist

BDS, C-Orth | Karachi

review-stars

12 Positive Reviews

Observe .Do symptomatic i advice endodontic treatment..


0

0

Attach Photo here: