Book Video Consultation

Book Video Consultation

Stay Home

No Waiting in lines

Audio/Video Call

PMC Verified Doctors

Talk to Dentist on Dental Implants

person-avatar

Asking For Self, Male, 61 Years old, UK

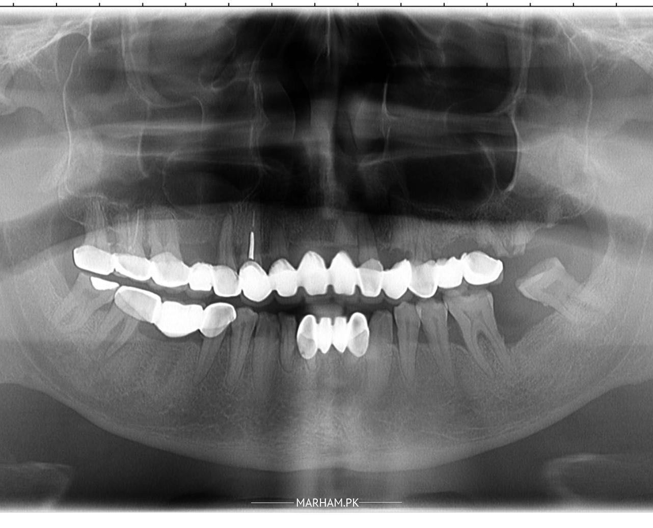
I have got some issues with teeth, some gum issues like gingivitis although some teeth are in good condition. Should all teeth be removed for dental implants or keep the remaining which are comparatively in better condition?

Homeopath in Lahore - Homeopathic Dr. Rehmana Asad

Being a health care provider, I would say its not wise to remove your own good teeth for an implant. Even with state-of-the-art technology and materials available, dental restorations can’t quite match our natural teeth in stability and functionality. Homeopathy offers good medicines for gums and teeth problems, and it goes well along with surgical procedures. Thanks


0

0

Dentist in Peshawar - Dr. Jameel Kifayatullah

Dr. Jameel Kifayatullah - Dentist

BDS | Peshawar

review-stars

33 Positive Reviews

jab tak chalte hein chalne dou original teeth are never like implants.
you have bone loss called periodontitis.so it will be expensive for you implants.


0

0

Dentist in Sargodha - Dr. Ramla Saeed

Dr. Ramla Saeed - Dentist

BDS | Sargodha

review-stars

11 Positive Reviews

Jo ziada khrb condition m hen srf wo remove krwayen


0

0

Dentist in Lahore - Asst. Prof. Dr. Aamir Rafiq

Asst. Prof. Dr. Aamir Rafiq - Dentist

BDS, Master Of Dental Surgery Prosthodontics | Lahore

review-stars

1 Positive Reviews

Need further evaluation but however your teeth on the right upper side have very poor prognosis and need to be removed, rest seems restorable we should use a combination of imlants and natural teeth for restoration


0

0

Member

Post Owner


Thanks for your observation, actually got issue with most of the teeth , already have denture for almost last 14 years but know sometimes teeth under it create real problems so decided to go Turkey for removal of all and have implants.

1 year ago

Dentist in Quetta - Dr. Qutab Shah

Dr. Qutab Shah - Dentist

BDS | Quetta

review-stars

3 Positive Reviews

no need to go for impant u have good numbers of natural teeth in Upper jaw which u should 1st restore and then go for partial denture


0

0

Dentist in Islamabad - Dr. Rabia Amjad

Dr. Rabia Amjad - Dentist

BDS | Islamabad

review-stars

6 Positive Reviews

Alot of teeth can be retained so go for proper evaluation, you need implants but do not go for full mouth extractions


0

0

Dentist in Lahore - Dr. Razia Zia

Dr. Razia Zia - Dentist

BDS, B.Sc, PGAGD, CHPE, MCPS ( trainee) | Lahore

review-stars

29 Positive Reviews

Go for scaling & polishing and a thorough checkup with xrays. Healthy teeth should be protected as long as they can.


0

0

Dentist in Islamabad - Dr. Hafsa Sarwar

Dr. Hafsa Sarwar - Dentist

BDS, FCPS (Orthodontics), Dip. Aesthetic Physician, Implantology, Restorative Dentistry | Islamabad

review-stars

32 Positive Reviews

Teeth in better condition should be restored after evaluation. They can serve as abutments along with implants. Thorough evaluation and treatment planning is very important in your case.


0

0

Dentist in Islamabad - Dr. Mahnoor Syeda

Only remove those teeth with poor prognosis and rest of natural teeth should be further evaluated


0

0

Dentist in Rawalpindi - Dr. Muhammad Noor Us Sami

Dr. Muhammad Noor Us Sami - Dentist

BDS, FCPS Operative Dentistry | Rawalpindi

review-stars

2 Positive Reviews

why do you have so many crowns ?


0

0

Dentist in Lahore - Dr. Sabahat Venus

Dr. Sabahat Venus - Dentist

BDS Gold medalist, C -implant | Lahore

review-stars

8 Positive Reviews

no you should not need to remove all teeth...


0

0

Dentist in Multan - Asst. Prof. Dr. Muhammed Ahmad

Asst. Prof. Dr. Muhammed Ahmad - Dentist

BDS, FCPS (Endodontics & Restorative), C-Ortho, C-Implant | Multan

review-stars

186 Positive Reviews

retain health teeth in reasonable condition.
dental implant is best artificial replacement but is not replacement for natural teeth


0

0

Dentist in Karachi - Dr. Farwa Zehra

Dr. Farwa Zehra - Dentist

BDS,Certified Asthetic Physician, Certified Cosmetic Dentist | Karachi

review-stars

4 Positive Reviews

you don't need to remove all retained tooth if they are in healthy condition plus why so much bridges? can you show your older xrays before place of these crown and brigdes.


0

0

Attach Photo here: