Book Video Consultation

Book Video Consultation

Stay Home

No Waiting in lines

Audio/Video Call

PMC Verified Doctors

Talk to Dentist on Dental Problem

person-avatar

Asking for Self, Female, 22 years old, Islamabad

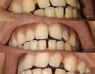
Assalamualaikum I am 22 years old I have gaps between my teeths. I am a thumb sucker which makes my jaw and teeth's worse. I don't want braces because it will cause pain and it takes time. Please suggest me solutions.

Dentist in Multan - Dr. Muhammad Saad

Dr. Muhammad Saad - Dentist

BDS, DOS, M.Phil Public Health | Multan

review-stars

24 Positive Reviews

Wsalam, except braces u have option of ALIGNERS, (invisible). Contact to dental surgeon (Orthodontist) for better treatment. Thanx


0

0

Dentist in Lahore - Dr. Salahuddin

Dr. Salahuddin - Dentist

| BDS | C-Implantologist | | Lahore

review-stars

12 Positive Reviews

visit cosmo dental clinic for proper evaluation of your teeth and best treatment options
Free check up
you need scaling and polishing and for space closure agar ap metal braceses ni lgvana chah rhay tu invisible aligners lgva lein
ya agar ap invisible aligners b ni lgvana chah rhay tu crowns krva lein front walay m


0

0

Dentist in Islamabad - Dr. Nimrah Syed

Dr. Nimrah Syed - Dentist

BDS | Islamabad

review-stars

1 Positive Reviews

Walaikum salam, The Best and ideal solution for this problem is braces. otherwise crown bridge or veneers.


0

0

Dentist in Karachi - Dr. Sheroz Humayun

Dr. Sheroz Humayun - Dentist

BDS | Karachi

review-stars

19 Positive Reviews

if you are in karachi you can visit us.


0

0

Dentist in Islamabad - Dr. Mohammad Irfan

Walikum salam You have options of ALIGNERS which are invisible.


0

0

Dentist in Multan - Dr. Muhammad Zain Ul Abedin

You can visit my clinic for braces treatment


0

0

Dentist in Rawalpindi - Dr. Adil Bin Irfan

Dr. Adil Bin Irfan - Dentist

MFD RCS Ireland BDS, MCPS (Family Dentistry), MCPS (Health Care Management Systems), DPCD (RCS Ireland), MFDS RCSEd | Rawalpindi

review-stars

4 Positive Reviews

walaikumassalam
madam you're requested to visit any dental clinic for proper evaluation of your case. apart from braces there are few other options as well


0

0

Dentist in Karachi - Dr. Saba Misbah

Dr. Saba Misbah - Dentist

BDS, C-Implant, C-Endo, C-Restoration, certified in Aesthetics, C-prosthodontics | Karachi

review-stars

19 Positive Reviews

visit a dentist , braces is the only good option as far as your case looks


0

0

Dentist in Lahore - Dr. Nimra Tariq

Wasalam. Braces is the best option you can opt for your case and is not a painful procedure for every patient. Kindly visit your dentist for an expert advice.
You can also visit us
042-32591427,
OraDent Clinic


0

0

Dentist in Lahore - Dr. Taj Mahmood

Dr. Taj Mahmood - Dentist

BDS | Lahore

review-stars

22 Positive Reviews

best option is braces... we can manage pain by light forces.. but it will take time


0

0

Dentist in Karachi - Dr. Maham Imtiaz

Dr. Maham Imtiaz - Dentist

BDS-RDS, Professional Diploma In Facial Aesthetics | Karachi

review-stars

5 Positive Reviews

Firstly you have to break your thumb sucking habit. You can go for other options including crowns/veneers but it is HIGHLY suggested to go for braces, invisible braces (invisaligners) will do the job as well. You are only 22 right now, won’t suggest you crowns.


0

0

Dentist in Peshawar - Dr. Yusaf Imran

Dr. Yusaf Imran - Dentist

BDS , MDS (Orthodontics) | Peshawar

review-stars

118 Positive Reviews

You have to get braces . Other options are not long lasting.


0

0

Dentist in Islamabad - Dr. Rabail Jamal

Dr. Rabail Jamal - Dentist

BDS, Certified Facial Aesthetician AACME (USA) | Islamabad

review-stars

16 Positive Reviews

no other solution


0

0

Dentist in Islamabad - Dr. Safi Ullah Khan

if you have in Peshawar. plz visit us. I think braces is right option for you.


0

0

Dentist in Islamabad - Dr. Alaina Tariq Mughal

Dr. Alaina Tariq Mughal - Dentist

BDS, FCPS Orthodontics & Dentofacial Orthopedics, Aligners Academy Pakistan Fellowship | Islamabad

review-stars

5 Positive Reviews

Walaikumassalam! You don't only have gaps.. You have open bite and possibly developing tongue thrust.. This can greatly affect your nasal breathing and jaw function later in life.
Also if you are already experiencing mouth breathing and nose blockage then.. Obviously you are more prone to developing caries and gaps harbor calculus as evident from your pics.. So there isn't just one problem.. You have to look at the bigger picture

Now braces are not too painful.. With proper medication and oral hygiene maintenance you will not feel much pain.. A little disturbance where you can have a better looking and working dentition shouldn't hurt..

You can go for aligners but they won't give you perfect results.. Other options are crowns that will obviously look like you have big teeth and other less durable options are also available..

But best option is orthodontic braces.. This with a hefty price, quality time and yes desirable excellent long term results..

You can contact me if you want braces as I specialise in it.. Have a good day


0

0

Dentist in Karachi - Dr. Tajdar Ahmed Khan

braces perfectly right option for you



0

0

Dentist in Karachi - Dr. Osman Ahmed Soorma

Dr. Osman Ahmed Soorma - Dentist

BDS, Certification in Orthodontics, Certification in Implantology, Clear Path Orthodontics Certified | Karachi

review-stars

1 Positive Reviews

Salaams
This habit has already causes various malpositions
Open bite, flaring of teeth are few of them
You would need to visit an Orthodontist for the treatment



0

0

Dentist in Faisalabad - Dr. Rabia Aamir

Dr. Rabia Aamir - Dentist

BDS | Faisalabad

review-stars

6 Positive Reviews

you can go for clear aligners


0

0

Dentist in Islamabad - Dr. Hafeez Ullah Khan

Dr. Hafeez Ullah Khan - Dentist

BDS | Islamabad

review-stars

1 Positive Reviews

there are many advancements in dentistry field you must get physical consultation and discuss all possible treatment with your dentist.
you can visit arwa Dental Surgery Islamabad


0

0

Dentist in Islamabad - Dr. Haider Rizwan

Dr. Haider Rizwan - Dentist

BDS, RDS, C- Restorative & Endodontics | Islamabad

review-stars

1 Positive Reviews

Treatment of choice in your case is clear aligners. They are transparent braces that move teeth. Try googling clear aligners to see how they look like.

Alternative options include veneers and crowns in which teeth are first grinded then cover is provided that will cover the defect.

furthermore you really need scaling as there big calculus deposits on your teeth


0

0

Dentist in Lahore - Dr. Mehwish Tariq

Dr. Mehwish Tariq - Dentist

BDS | Lahore

review-stars

3 Positive Reviews

you can go for aligners. they are invisible.


0

0

Dentist in Karachi - Dr. Syeda Rabab Zehra

You want to look good right when you smile you need to visit the dentist they can give you habbit breaker amd then also put braces and that is only the treatment. Kuch panay k liye kuch khona parta ha! Itni b takleef nai hoti baita amd once its done you will feel good!


0

0

Dentist in Islamabad - Dr. Hafsah Saeed

Dr. Hafsah Saeed - Dentist

BDS, RDS, C-Endo Clear Path-Ortho (Restorative and Aesthetic Dentist) | Islamabad

review-stars

93 Positive Reviews

wsalam. given your concerns ClearPath id your best option. visit a dentist to ask in detail about clearpath. but its your ideal solution. it takes sometime but the results are worth it. good luck


0

0

Dentist in Karachi - Dr. Priyanka Parpiani

Dr. Priyanka Parpiani - Dentist

BDS, RDS, C-Endo, C-Aligners, ISmile Aligners (UK) | Karachi

review-stars

2 Positive Reviews

Braces wont cause any pain if you take good care of your oral hygiene after getting them.. visit the dentist. For thumb sucking habit you need a habit breaker and then go for conventional orthodontics treatment means braces. Thats the ideal treatment for you.


0

0

Dentist in Rawalpindi - Dr. Novaira Waseem

Dr. Novaira Waseem - Dentist

BDS, FCPS(t) | Rawalpindi

review-stars

2 Positive Reviews

no treatment can be done before breaking your thumb sucking habit, after eliminating habit it's going to be very easy and PAINLESS to close these spaces with braces. considering the spaces you have your treatment will be finished within 8 to 10 months max.


0

0

Member of Marham-Forum

you dont have any other option you will 100 percent require orthodontic treatment lekin jab tak aa dat na change karein kuch katwanay ka faida nahi hoga


0

0

Attach Photo here: