Book Video Consultation

Book Video Consultation

Stay Home

No Waiting in lines

Audio/Video Call

PMC Verified Doctors

Talk to Dentist on Dental Procedures

person-avatar

Asking for Self, Female, 25 years old, Chakwal /islamabad

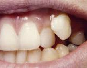
I have Slight misalignment Im not in a favour of using braces. I m looking forward for veeners Could you plz tell me wht would be the cost and how long will it go. Please guide me so that I can book and come clinic as I ll b Traveling from diff city

Dentist in Muzaffar Garh - Dr. Muhammad Siddique Arain

Dr. Muhammad Siddique Arain - Dentist

BDS, RDS, OMSB (Muscat Oman), MCPS Family Dentistry | Muzaffar Garh

review-stars

93 Positive Reviews

I think best option is segmental ortho


0

0

Dentist in Karachi - Dr. Nadeem Chand

Dr. Nadeem Chand - Dentist

BDS, RDS, MCPS (Oral Surgery), FICCDE (Singapore) | Karachi

review-stars

109 Positive Reviews

invisible aligners are the treatment option if u dont like braces. u can book ur appointment thru marham


0

0

Dentist in Islamabad - Dr. Ayesha Khan

Dr. Ayesha Khan - Dentist

BDS , RDS , C-Endo, C-Ortho , C -Implants , C-Clear Aligners ,Certificate In Implantology | Islamabad

review-stars

974 Positive Reviews

Dear patient ideal is to go for braces yet if I want to avoid that v need to c ur complete dental profile .
we can go for crown /veneers on ur choice of treatment
kindly schedule appointment through marham n give us a chance to guide u further


0

0

Dentist in Karachi - Dr. Sheikh Zeeshan Mohiuddin

After clinical examination we can say something.


0

0

Dentist in Lahore - Prof. Dr. Muhammad Behzad Salahuddin

Prof. Dr. Muhammad Behzad Salahuddin - Dentist

BDS, MSc (London), FICD (USA), CMT (Liverpool), C-Implant, C-Ortho | Lahore

review-stars

5 Positive Reviews

AOA. although photos aren't a true depiction of the actual clinical scenario, your pic makes me feel it's not gonna give a favourable result if you go for veneers. braces is what you need. if you do not want the conventional rail-track metal braces, you could go for clear/invisible aligner treatment.


1

0

Dentist in Islamabad - Dr. Muhammad Adnan Asif Raja

Dr. Muhammad Adnan Asif Raja - Dentist

Cosmetic Dentist, Consultant Dental Surgeon, BDS (RIU), RDS, Postgraduate Diploma (RIU), C-Implantology, C-Orthodontics | Islamabad

review-stars

52 Positive Reviews

Dear patient in your case if you don’t want metal-braces then go for clear/invisible aligners problem cannot be resolved through veeners or crowning.


0

0

Dentist in Karachi - Dr. Shaikh Zohair Waheed

Dr. Shaikh Zohair Waheed - Dentist

BDS | Karachi

review-stars

20 Positive Reviews

Assalamu Alaikum.
Respected patient, in your case veneers dont seem to be a very viable option, reason being your problem seems to be functional more than aesthetic. Invisible aligners (clear braces) should be a better option. However, a thorough clinical exam along with an xray is what is require to guide you properly.
Kindly, book an appointment through Marham for proper consultation.
Thankyou.


0

0

Dentist in Islamabad - Dr. Ansar Maqsood

Dr. Ansar Maqsood - Dentist

MBBS, BDS, MSC, RACDS (Sydney), | Islamabad

review-stars

48 Positive Reviews

Hi.
The extent of malalignment is something which cannot be compensated by veneers or crowns. If you have issue with braces you can go for clear braces. I would not recommend veneer to mask this malalignment


0

0

Dentist in Islamabad - Dr. Aashfa Nasir

Dr. Aashfa Nasir - Dentist

BDS, SLE, BLS, C-implant, C- Ortho C-Endo | Islamabad

review-stars

51 Positive Reviews

In ur case braces is best option For veneers I need to check them clinically .per veneer cost 25000rs .


0

0

Dentist in Islamabad - Dr. Quratulain

Dr. Quratulain - Dentist

BDS , MS. (Aesthetics Dentistry) | Islamabad

review-stars

47 Positive Reviews

I don't think veneers would be the favorable approach for you. we have other options if you don't want braces please do visit a dentist for proper assessment and further management of your malalingned tooth/teeth.


0

0

Dentist in Peshawar - Dr. Yusaf Imran

Dr. Yusaf Imran - Dentist

BDS , MDS (Orthodontics) | Peshawar

review-stars

118 Positive Reviews

You can use either use braces or clear aligners which doesn’t show. The earlier it’s treated the better . For appointments 042-32591427,


0

0

Attach Photo here: