Book Video Consultation

Book Video Consultation

Stay Home

No Waiting in lines

Audio/Video Call

PMC Verified Doctors

Talk to Dentist on Hard Small White Bump

person-avatar

Asking for Self, Male, 27 years old, Mouth (gums)

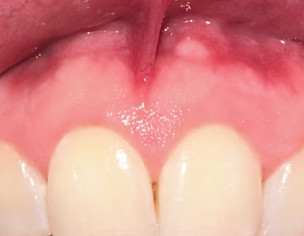
Noticed this hard small white bump above my top left tooth 2 days ago, no pain, no cavities. I was just at the dentist 3 months ago. I have good dental hygiene floss/brush/mouthwash twice a day.

Dentist in Peshawar - Dr. Yusaf Imran

Dr. Yusaf Imran - Dentist

BDS , MDS (Orthodontics) | Peshawar

review-stars

118 Positive Reviews

Please visit for a physical check up


0

0

Dentist in Islamabad - Dr. Hafsah Saeed

Dr. Hafsah Saeed - Dentist

BDS, RDS, C-Endo Clear Path-Ortho (Restorative and Aesthetic Dentist) | Islamabad

review-stars

93 Positive Reviews

the pictures are not loading. highly likely that it could be nothing. but at least get a video consultation so you can share pictures. or visit a dentist.


1

0

Dentist in Mardan - Wasim Uddin

Wasim Uddin - Dentist

DDS | Mardan

review-stars

13 Positive Reviews

physical checkup is necessary for such cases.


0

0

Dentist in Lahore - Dr. Sohail Saeed

Dr. Sohail Saeed - Dentist

BDS | Lahore

review-stars

8 Positive Reviews

get it physically examined by good dentist.



0

0

Dentist in Lahore - Dr. Zoha

Dr. Zoha - Dentist

BDS | Lahore

review-stars

4 Positive Reviews

kindly go for dental checkup


0

0

Dentist in Rawalpindi - Asst. Prof. Dr. Sana Jalil Hasan

Asst. Prof. Dr. Sana Jalil Hasan - Dentist

BDS, FCPS (Operative Surgery), Dip. Aesthetic Medicine | Rawalpindi

review-stars

18 Positive Reviews

Get it checked by dentist


0

0

Dentist in Lahore - Dr. Arusha Azeem

please visit a dentist for a physical examination


0

0

Dentist in Hyderabad - Dr. Sania Jadun Baloch

Dr. Sania Jadun Baloch - Dentist

BDS | Hyderabad

review-stars

7 Positive Reviews

kindly go to a dentist n get treated.


0

0

Dentist in Islamabad - Dr. Hafeez Ullah Khan

Dr. Hafeez Ullah Khan - Dentist

BDS | Islamabad

review-stars

1 Positive Reviews

kindly visit nearest dentist it's may be infection under the tooth. ask them to fo periapical x-ray.
if you are in Islamabad you can visit arwa dental surgery


0

0

Dentist in Lahore - Dr. Maryam Fatima

Dr. Maryam Fatima - Dentist

BDS | Lahore

review-stars

13 Positive Reviews

visit a dentist. need proper evaluation


0

0

Dentist in Karachi - Dr. Haroon Ali

Dr. Haroon Ali - Dentist

| BDS | DPCD (RCSI) | MFDS RCPS ( Glasg ) , MFD RCSI | Karachi

review-stars

14 Positive Reviews

Do have any symptoms like pain and discomfort plus is the tooth below that swelling has ever been treated by dentist or has any past injury.


0

0

Attach Photo here: