Book Video Consultation

Book Video Consultation

Stay Home

No Waiting in lines

Audio/Video Call

PMC Verified Doctors

Talk to Dentist on Periodontal Disease

person-avatar

Asking for Self, Male, 34 years old, Lahore

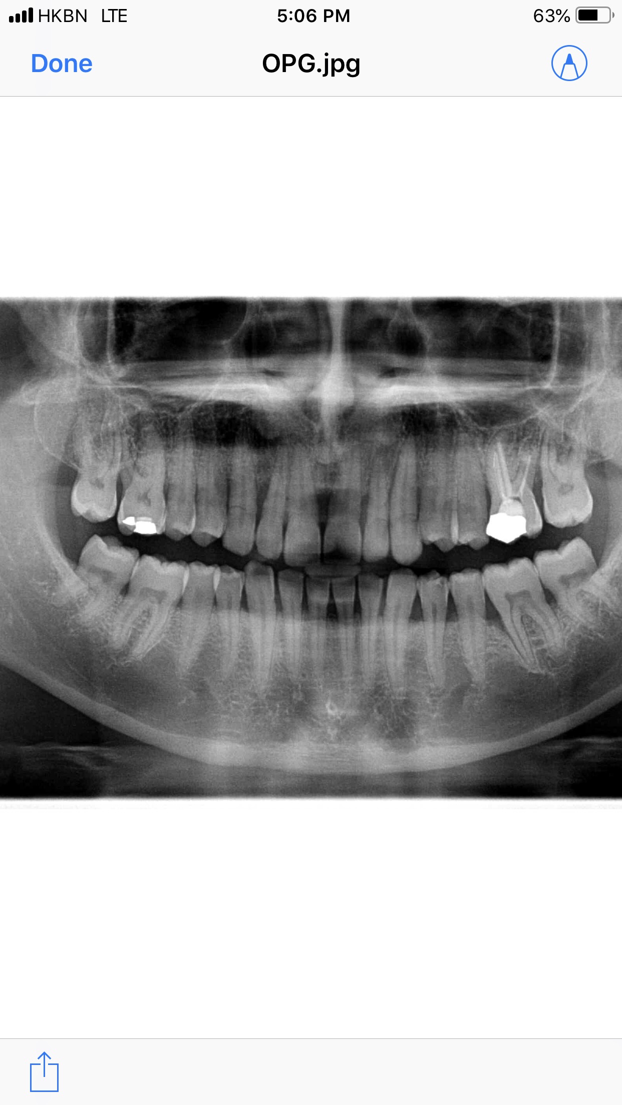
Sir I got periodontal disease , my front upper teeth’s are drifting, moving what will be the complete procedure?

Dentist in Lahore - Dr. Imran Zia

Dr. Imran Zia - Dentist

BDS (Pb) , RDS , C-Implants (Korea) | Lahore

review-stars

465 Positive Reviews

Aoa. Exact diagnosis is possible after clinical examination. May be you had any trauma in near past or having improper hygiene. Are you diabetic or not?


0

0

Member of Marham-Forum

first of all you need complete periodontal rehab in which you need scaling and rootplanning for elimination of pockets... then frequent followups to monitor if the gums and periodontal health is intact.. then we will proceed with the required movement of the teeth and stability with the help of braces...


0

0

Dentist in Karachi - Assoc. Prof. Dr. Abid Mahmood

Assoc. Prof. Dr. Abid Mahmood - Dentist

BDS , MCPS Oral & Maxillo-Facial Surgery | Karachi

review-stars

45 Positive Reviews

can you send me P/A view of your both upper front and upper canines & first premolars, both sides, thanks


0

0

Dentist in Karachi - Dr. Nadeem Chand

Dr. Nadeem Chand - Dentist

BDS, RDS, MCPS (Oral Surgery), FICCDE (Singapore) | Karachi

review-stars

109 Positive Reviews

exact diagnosis depend upon proper examination and history. may b u ve trauma in child hood or some other factors. and also grade of mobility need to b assess


0

0

Member of Marham-Forum

You require complete periodontal cleaning and root planing ... after tht we can graft artifcal bone to compensate for the bone that has been lost after that we can adress the drifting issue .... plz get your self examined .... to get the accurate plan


0

0

Dentist in Islamabad - Dr. Ayesha Khan

Dr. Ayesha Khan - Dentist

BDS , RDS , C-Endo, C-Ortho , C -Implants , C-Clear Aligners ,Certificate In Implantology | Islamabad

review-stars

975 Positive Reviews

Dear patient if you could visit nearby dentist that would make it easy to diagnose n treatment plan can b made accordingly
it will involve multiple steps
initially need to c the causing factor of mobility
scaling n root planing would help a bit
n need to c how much bone loss is there n what needs to b done.
but for sure u need deep scaling n root planning as theres generalised pocketing.


0

0

Dentist in Lahore - Dr. Rabia Ejaz Yousaf

Dr. Rabia Ejaz Yousaf - Dentist

BDS, MDS Operative Dentistry | Lahore

review-stars

26 Positive Reviews

Aoa u need to see a dentist. Bc this need proper diagnosis there are different stages of periodontitis. It sh b diagnosed n treated accordingly


0

0

Dentist in Karachi - Dr. Sheikh Zeeshan Mohiuddin

In your case clinical examination required.


0

0

Dentist in Lahore - Prof. Dr. Asif Ali Shah

Prof. Dr. Asif Ali Shah - Dentist

BDS (Pb), MSc Prosthetic Dentistry (Lon), Master of Dental Surgery (Prosthetic Dentistry) | Lahore

review-stars

22 Positive Reviews

Needs clinical examination. on X-ray Examination RCT Of Upper 1-1 and splinting of teeth followered by deep curettage


0

0

Dentist in Lahore - Dr. Zahra Masood

Dr. Zahra Masood - Dentist

BDS | Lahore

review-stars

41 Positive Reviews

I second Prof .asif are the steps initially we take to secure peridontally compromised mobile teeth .
I also see start of periapical infection in front teeth .
Are u having pain in them ?
I must say to take one CBCT or periapical Xray for confirm diagnosis of infection .


0

0

Attach Photo here: