Book Video Consultation

Book Video Consultation

Stay Home

No Waiting in lines

Audio/Video Call

PMC Verified Doctors

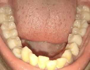
Talk to Dentist on Teethe Alignment

person-avatar

Asking for Self, Female, 23 years old, soldier bazar

salam., my teeth are changing its position, I have consult few doc in my area they are saying it will cost upto 1 lac to 2 lac for treatment , i want to put transparent braces or aligners, Please tell if someone knows or do this in low cost, Since I can't afford such a huge amount!

Member of Marham-Forum

Thank you for posting your query.
We are sorry to hear about your problem. We have tagged relevant doctors for your problem. Please wait they will reply you soon.
Thank you.

Dentist in Karachi - Dr. Zaid Iqbal Arain
Dr. Zaid Iqbal Arain - Dentist

BDS, MDS , C-Endo, C-Ortho | Karachi | Book Appointment

review-stars 25 Positive Reviews

. we have both option's metallic or invisible aligners or transparent . Not cost more then 1 lac or according to your over jet or
Metallic my be cost 80 to 90 k . treatment complete with in A area.

6 years ago

Member

Post Owner


What do you mean by A area?

6 years ago

Member of Marham-Forum

not a big problem! it can be fixed either by both aligners and metallic braces.. I would recommend metallic braces as it is more quicker and cheaper than the aligners.. you can visit us and we would give you a price you can't refuse just contact me for details..


0

0

Member

Post Owner


I am from Karachi,Do you have a clinic in Karachi?

6 years ago

Member

no... but i can recommend you a dentist there in karachi

6 years ago

Member

Post Owner


Sure please,

6 years ago

Member

Post Owner


Please also guide me about the duration the treatment may take, to get it done? just an est. if possible?

6 years ago

Member

his name is dr Faizan farooq a very dear friend of mine practicing in Dha.
well treatment duration will be between 6 to 8 months as far as I can judge from the picture further guidance will be provided to you after you visit him

6 years ago

Member

Post Owner


Ok Thanks doctor

6 years ago

Dentist in Karachi - Dr. Nadeem Chand

Dr. Nadeem Chand - Dentist

BDS, RDS, MCPS (Oral Surgery), FICCDE (Singapore) | Karachi

review-stars

109 Positive Reviews

u can visit my clinic so that i can see ur teeth n then i can advice u properly


0

0

Member

Post Owner


Please tell me an estimate amount for the treatment

6 years ago

Dentist in Karachi - Dr. Nadeem Chand
Dr. Nadeem Chand - Dentist

BDS, RDS, MCPS (Oral Surgery), FICCDE (Singapore) | Karachi | Book Appointment

review-stars 89 Positive Reviews

it vl b around 120k for aligner n 90k for braces. this is a special discount price for you.
you can contact me through marham

6 years ago

Member

Post Owner


ok thanks

6 years ago

Member

Post Owner


90k was offered in my area too, but thats much!

6 years ago

Dentist in Karachi - Dr. Nadeem Chand
Dr. Nadeem Chand - Dentist

BDS, RDS, MCPS (Oral Surgery), FICCDE (Singapore) | Karachi | Book Appointment

review-stars 89 Positive Reviews

i can only tell u least amount only by seeing your teeth. ao you can take my appointment

6 years ago

Dentist in Karachi - Dr. Danial Husain

Dr. Danial Husain - Dentist

BDS | Karachi

review-stars

9 Positive Reviews

We offer clearpath treatment in 1.5 lac. Usually the clear braces treatment is expensive. Share your contact. For further treatment and payment discussion we can figure out something


0

0

Member

Post Owner


If possible, share your WatsApp number so that we can discuss it further

6 years ago

Dentist in Karachi - Dr. Umer Bin Irfan

Dr. Umer Bin Irfan - Dentist

BDS, MSP | Karachi

review-stars

20 Positive Reviews

hello. personally i dont want to go for clear aligners in this case. i would recommend to go for metallic braces. that will cost you 90k rupees. and you wont have to pay them in one go.


0

0

Dentist in Karachi - Dr. Umer Bin Irfan
Dr. Umer Bin Irfan - Dentist

BDS, MSP | Karachi | Book Appointment

review-stars 20 Positive Reviews

i mean 40% down payment and rest will be paid in equal installments. treatment will take around 1-1.5 years

6 years ago

Dentist in Karachi - Dr. Ali Abbas Rokadia

Dr. Ali Abbas Rokadia - Dentist

BDS, C-Orth | Karachi

review-stars

12 Positive Reviews

It is always negotiable dont can visit and discuss with our team..


0

0

Member

Post Owner


For aligners i had the cost offered like 1-1.5lac and for metalic braces upto 80-90k or 1lac, but unfortunately this is huge amount, middle class couldn't afford such., if you can tell me what least you can offer me for both aligners and metallic braces?

6 years ago

Dentist in Karachi - Dr. Ali Abbas Rokadia
Dr. Ali Abbas Rokadia - Dentist

BDS, C-Orth | Karachi | Book Appointment

review-stars 11 Positive Reviews

If you really what your teeth to be alined then why are you going for aliners they are slow and depends on patieny complaince
I prefer you go for metal will save your money and time.. as far as charges matters you have to come and discuss with us..
BRACES Aren't expensive you just have to divide your payment in installments like 5000 every month or so because treatment durations are around 1-2 years or so...

6 years ago

Dentist in Karachi - Dr. Ali Abbas Rokadia
Dr. Ali Abbas Rokadia - Dentist

BDS, C-Orth | Karachi | Book Appointment

review-stars 11 Positive Reviews

Sorry about the figures..
Its like 1-2 years duration so if you pay 5000 a month it will be around 042-32591427, ..

6 years ago

Member

Post Owner


Sorry? I didn't get the amount distribution you are talking about?
"Its like 1-2 years duration so if you pay 042-32591427, 427, a month it will be around 042-32591427, 427, .."?

6 years ago

Dentist in Karachi - Dr. Ali Abbas Rokadia
Dr. Ali Abbas Rokadia - Dentist

BDS, C-Orth | Karachi | Book Appointment

review-stars 11 Positive Reviews

Intial down payment is 15k then remaining can be break down to 5k treatment will take around 1.5 y

6 years ago

Dentist in Islamabad - Dr. Ayesha Khan

Dr. Ayesha Khan - Dentist

BDS , RDS , C-Endo, C-Ortho , C -Implants , C-Clear Aligners ,Certificate In Implantology | Islamabad

review-stars

974 Positive Reviews

Dear patient where do you reside
you may get cheaper rates if u get 2nd openion in ur vicinity.
plus if u go for braces thats usually on installments like you dont have to do entire payment upfront.
its usually on monthly basis.


0

0

Dentist in Peshawar - Dr. Muhammad Awais Khan

Dr. Muhammad Awais Khan - Dentist

BDS, MPH, D-Implant, C-Ortho, PDAGD | Peshawar

review-stars

4 Positive Reviews

Assalamoalaikum. your treatment can be done with clearpath aligners. try to take opinion from any dental surgeon who uses clearpath aligners in your area.


0

0

Member of Marham-Forum

you can go for ortho treatment,it costs around 80-85k in Rawalpindi. sec for transparent aligners it won't be as much effective in you case
thirdly do rule out the reason of teeth movement,have an OPG
thanku


0

0

Attach Photo here: