Book Video Consultation

Book Video Consultation

Stay Home

No Waiting in lines

Audio/Video Call

PMC Verified Doctors

Talk to General Practitioner on Chest X Ray

person-avatar

Asking For Someone else, Father, Male, 64 Years old, karachi

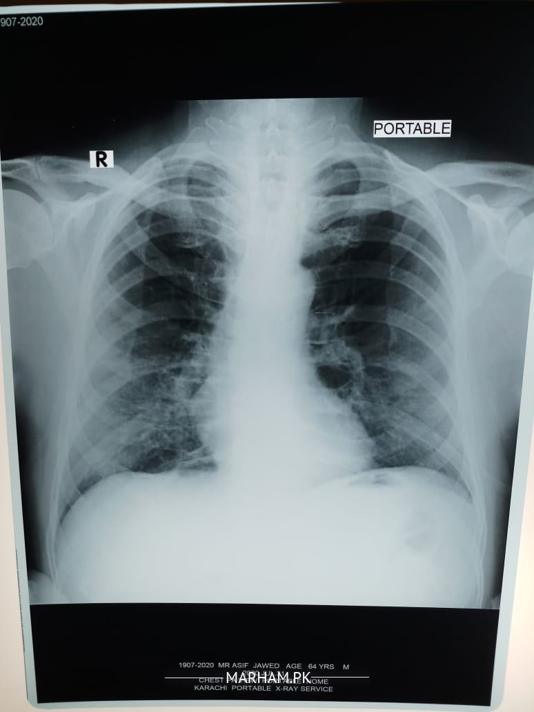
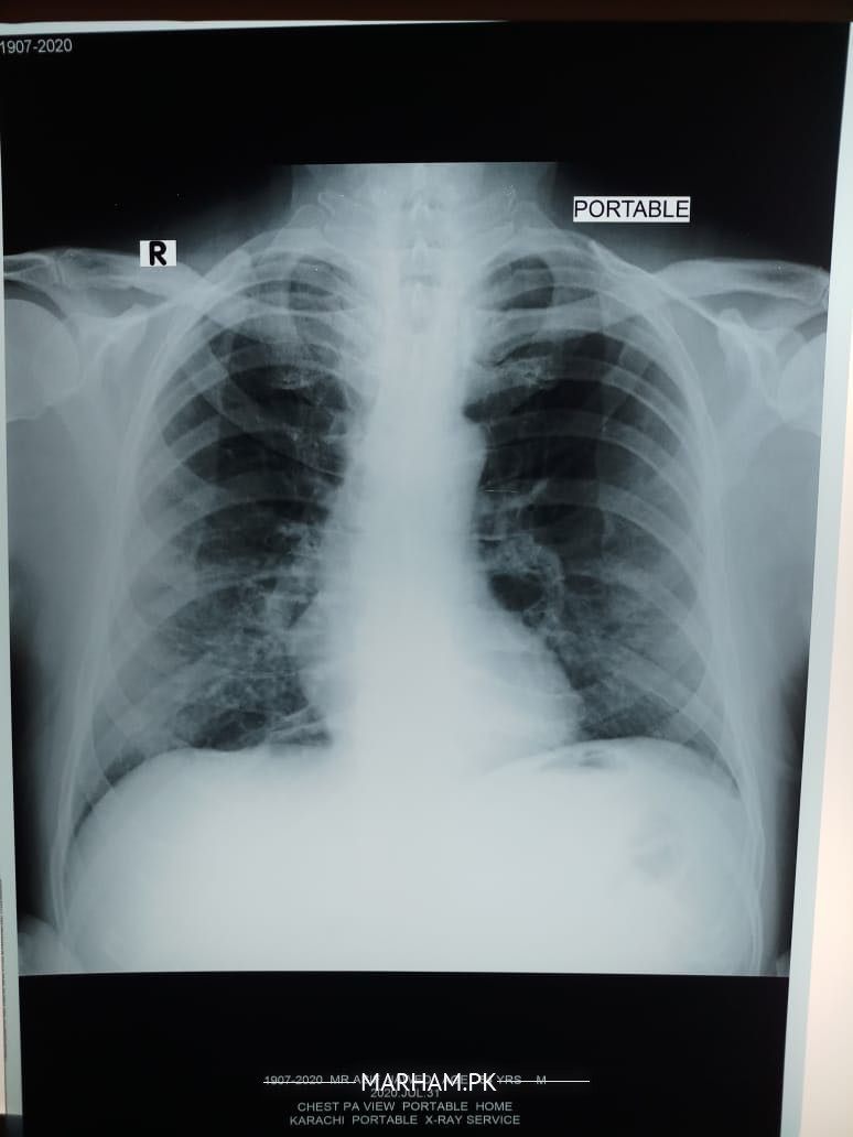
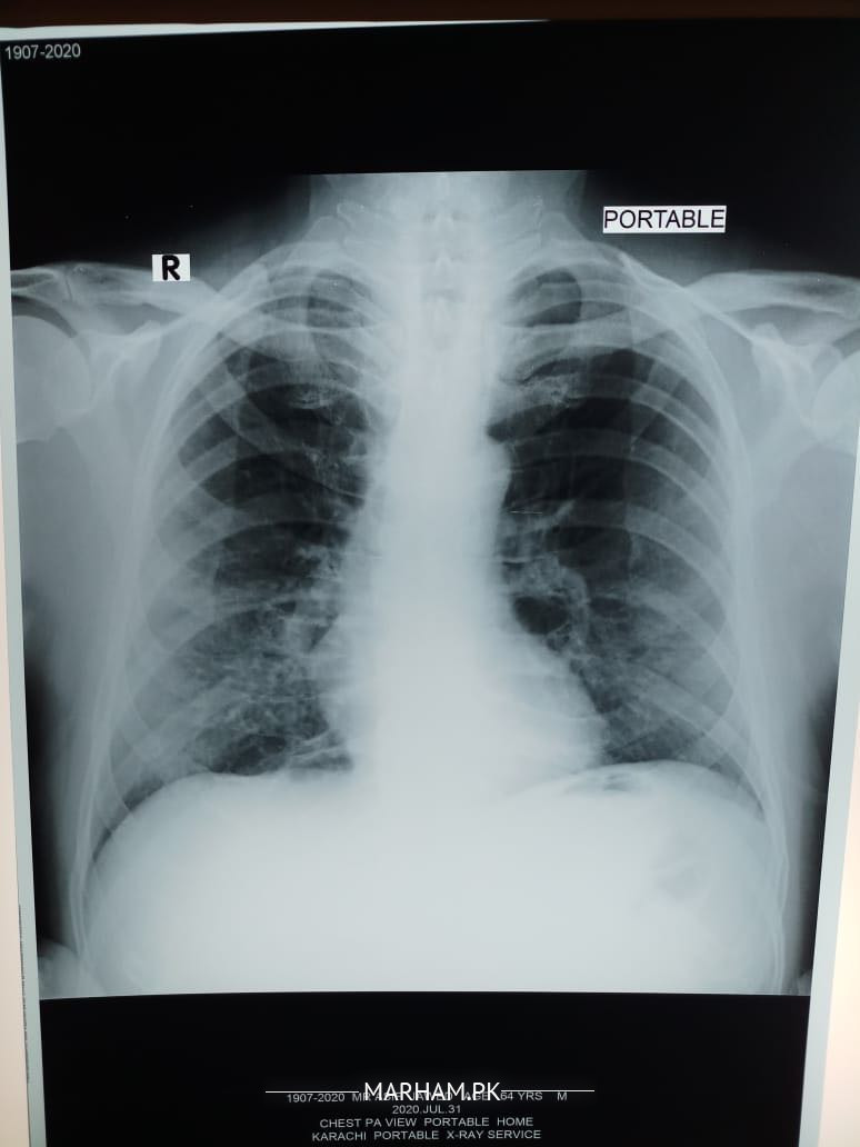
My father tested positive for corona yesterday. He has had fever 100 101, severe weakness and cough, loss of appetite etc. We got a chest extant done today and the radiologist’s report says this “â€Fibro nodulations both mid and lower zones. Rest of the lungs are clear . Cardiac size within normal limits . No evident of pleural effusion. Costophrenic angles are clear . Bony cage is intact . Conclusion. Bilateral pulmonary infection “â€. Pls advice what can be done should he be taken to the hospital?

General Practitioner in Gujrat - Dr. Muhammad Asim Bhatti

yes i think as he is elderly
he should be taken into hospital


0

0

Member

Post Owner


Thanks doctor. What does the report suggest pls explain

5 years ago

General Practitioner in Gujrat - Dr. Muhammad Asim Bhatti

dear the findings in x ray can be due to corona virus infection
but they can also be due to other causes
we need to take detailed history , examination of your father
check his vitals
is he short of breath??
whats his saturation??
after checking all aspects in hospital then it would be decided either to keep him in hospital or at home
so you musconsult someone where he can be thoroughly examined

5 years ago

General Practitioner in Islamabad - Dr. Amina

Dr. Amina - General Practitioner

MBBS | Islamabad

review-stars

1 Positive Reviews

Any other medical history like diabetes blood pressure


0

0

General Practitioner in Islamabad - Dr. Amina

Plz isolate him strt
Surbex z
Cac1000
Panadol in case of fever
Check saturation

5 years ago

General Practitioner in Islamabad - Dr. Aamir Karim

Dr. Aamir Karim - General Practitioner

MBBS, Psychiatric Counseling | Islamabad

review-stars

20 Positive Reviews

Wa alaikum us salam. injection Rocephin 1gm morning and evening. But first you provide all recent medical documents. my whatsapp: Zero three one five five zero five five zero zero two.


0

0

Member of Marham-Forum

Any complain of shortness of breath?history of diabetes or hypertension?


0

0

Member

Post Owner


Shortness of breath no I don’t know for sure although when he speaks he starts panting and coughing after a few sentences. He’s diabetic and hypertensive both with arthritis. This is today’s xray

5 years ago

Member

Some more medications need to be added in his treatment, you should visit hospital or book online consultation thanks

5 years ago

General Practitioner in Karachi - Dr. Shaima Amjad

Yes u should take him to hospital. he needs to be started on antibiotics and proper care.. does he have shortness of breath?? and do u have pulse oximetre at home??


0

0

Member

Post Owner


We are keeping a note of his pulse. It’s between 92 to 96 so I guess that’s ok right?

5 years ago

Member

Post Owner


He’s already taking azomax(axithromycin) 500mg and Panadol x 2 twice a day

5 years ago

General Practitioner in Karachi - Dr. Shaima Amjad
Dr. Shaima Amjad - General Practitioner

MBBS | Karachi | Book Appointment

review-stars 3 Positive Reviews

you need to watch his oxygen saturation and symptoms of shortness of breath keenly.. moreover he needs multivitamin, vitamin C and D on daily basis.. also give steam for 15 to 20minutes 4 times daily

5 years ago

Member of Marham-Forum

Can anyone pls explain what the X-ray shows? He started antibiotic on Saturday. Azomax 500 once daily with Panadol x 2 thrice a day

General Physician in Muzaffar Garh - Dr. Asad Ijaz Malik

Dr. Asad Ijaz Malik - General Physician

BSc, MBBS, MPH (PGT) | Muzaffar Garh

review-stars

17 Positive Reviews

your father is old age and in this age groupe corona has different effects therefore your father need proper supervision of qualified doctor.
its better he should get admit in hospita so he get oxygen and other equipment on time . but if you want to isolate at home ,make sure proper qualified dr should examine him on daily basis and other required aquipment like oxygen etc should be available in case required.
i hope you understand.


0

0

General Practitioner in Karachi - Dr. Almas

Dr. Almas - General Practitioner

MBBS | Karachi

review-stars

1 Positive Reviews

Tab macrobac 500mg
For (6 days)

Tab fexet D
For (6 days)

Syp acefyl
2+2+2 (khansi k lye)

Tab panadol
2+2+2

Tab Cecon
For (30 days)

Tab surbex Z
For (30 days) treatment for corona condition is nt severe and controlable then isolate him at home is safe


0

0

General Practitioner in Karachi - Dr. Almas

Dr. Almas - General Practitioner

MBBS | Karachi

review-stars

1 Positive Reviews

shortness of breath is present?


0

0

Member

Post Owner


He doesn’t have difficulty breathing but starts panting and coughing as soon as he speaks a few sentences.

5 years ago

General Practitioner in Rawalpindi - Dr. Naveed Aslam

Dr. Naveed Aslam - General Practitioner

MD | Rawalpindi

review-stars

17 Positive Reviews

Aa

Please book an online appointments for further discussion.

ws
Dr Naveed Aslam



0

0

Member

Post Owner


Salam doctor sahab can you pls tell me how to book

5 years ago

General Practitioner in Rawalpindi - Dr. Naveed Aslam
Dr. Naveed Aslam - General Practitioner

MD | Rawalpindi | Book Appointment

review-stars 6 Positive Reviews

https://www.marham.pk/doctors/rawalpindi/general-practitioner/dr-naveed-aslam

5 years ago

Internal Medicine Specialist in Lahore - Dr. Khawaja Atif Farooq

Dr. Khawaja Atif Farooq - Internal Medicine Specialist

MBBS, MD, Diplomate of American board of Internal Medicine | Lahore

review-stars

8 Positive Reviews


Get medical care right away if you begin to have:

Trouble breathing
Pain or pressure in your chest
Confusion or severe drowsiness
A blue tint to your lips or face. He need to visit doctor office to be evaluated


0

0

Internal Medicine Specialist in Lahore - Dr. Khawaja Atif Farooq

Dr. Khawaja Atif Farooq - Internal Medicine Specialist

MBBS, MD, Diplomate of American board of Internal Medicine | Lahore

review-stars

8 Positive Reviews

Is dexamethasone effective for treating COVID-19?

A recent report on a clinical trial showed that the corticosteroid drug dexamethasone decreased the risk of dying in very ill hospitalized COVID-19 patients. The report was released prior to publication of the study in a medical journal, which means the research results have not gone through the usual careful review.

Many doctors, including those in the United States, have been treating very ill COVID-19 patients with corticosteroids since the pandemic began. It makes biologic sense for those patients who have developed a hyper-immune response (a cytokine storm) to the viral infection. In these cases, it is the immune system's overreaction that is damaging the lungs and other organs, and too often leading to death.


0

0

Member

Post Owner


Thankyou for sharing this piece of info. I had already bought decadron (dexa) as a lung specialist prescribed. Should I wait for his blood work to come on? Will this steroid be any helpful at all ?

5 years ago

Member

Post Owner


Or will It just makes things worse

5 years ago

Chest Respiratory Specialist in Peshawar - Dr. Inayat Ullah

Dr. Inayat Ullah - Chest Respiratory Specialist

MBBS, FCPS, MCPS | Peshawar

review-stars

82 Positive Reviews

Hospital admission is necessary if he is dropping oxygen saturation.


0

0

Member

Post Owner


Oxygen saturation is between 92 to 96. Alhamdolillah. Should I check his heart rate pulse etc?

5 years ago

Chest Respiratory Specialist in Peshawar - Dr. Inayat Ullah
Dr. Inayat Ullah - Chest Respiratory Specialist

MBBS, FCPS, MCPS | Peshawar | Book Appointment

review-stars 51 Positive Reviews

That's great.. Then continue with treatment in home

5 years ago

Internal Medicine Specialist in Lahore - Dr. Khawaja Atif Farooq

Dr. Khawaja Atif Farooq - Internal Medicine Specialist

MBBS, MD, Diplomate of American board of Internal Medicine | Lahore

review-stars

8 Positive Reviews


dexamethasone is recommended to patients on oxygen support but
avoided for patients with mild or moderate disease (no oxygen support). Steroids may be
considered if indicated for another reason (e.g. refractory septic shock, multisystem
inflammatory syndrome, pregnancy for fetal benefit).


0

0

General Practitioner in Islamabad - Dr. Aamir Karim

Dr. Aamir Karim - General Practitioner

MBBS, Psychiatric Counseling | Islamabad

review-stars

20 Positive Reviews

Ass. Please send latest medical documents. my whatsapp: Zero three one five five zero five five zero zero two. Wassalam


0

0

General Practitioner in Lahore - Dr. Lt Col R Imtiaz Ahmed Khan

Take patient any hospital where Coroba Patients are being treated


0

0

General Practitioner in Karachi - Dr. Anum Sarwat

Dr. Anum Sarwat - General Practitioner

MBBS, D.F.M (Diploma Family Medicine) | Karachi

review-stars

12 Positive Reviews

suggest to tk him to tertiary care hospital.


0

0

Attach Photo here: