Book Video Consultation

Book Video Consultation

Stay Home

No Waiting in lines

Audio/Video Call

PMC Verified Doctors

Talk to Pulmonologist / Lung on GCC Expert Radiologist

person-avatar

Asking For Self, Male 31, Pakistan

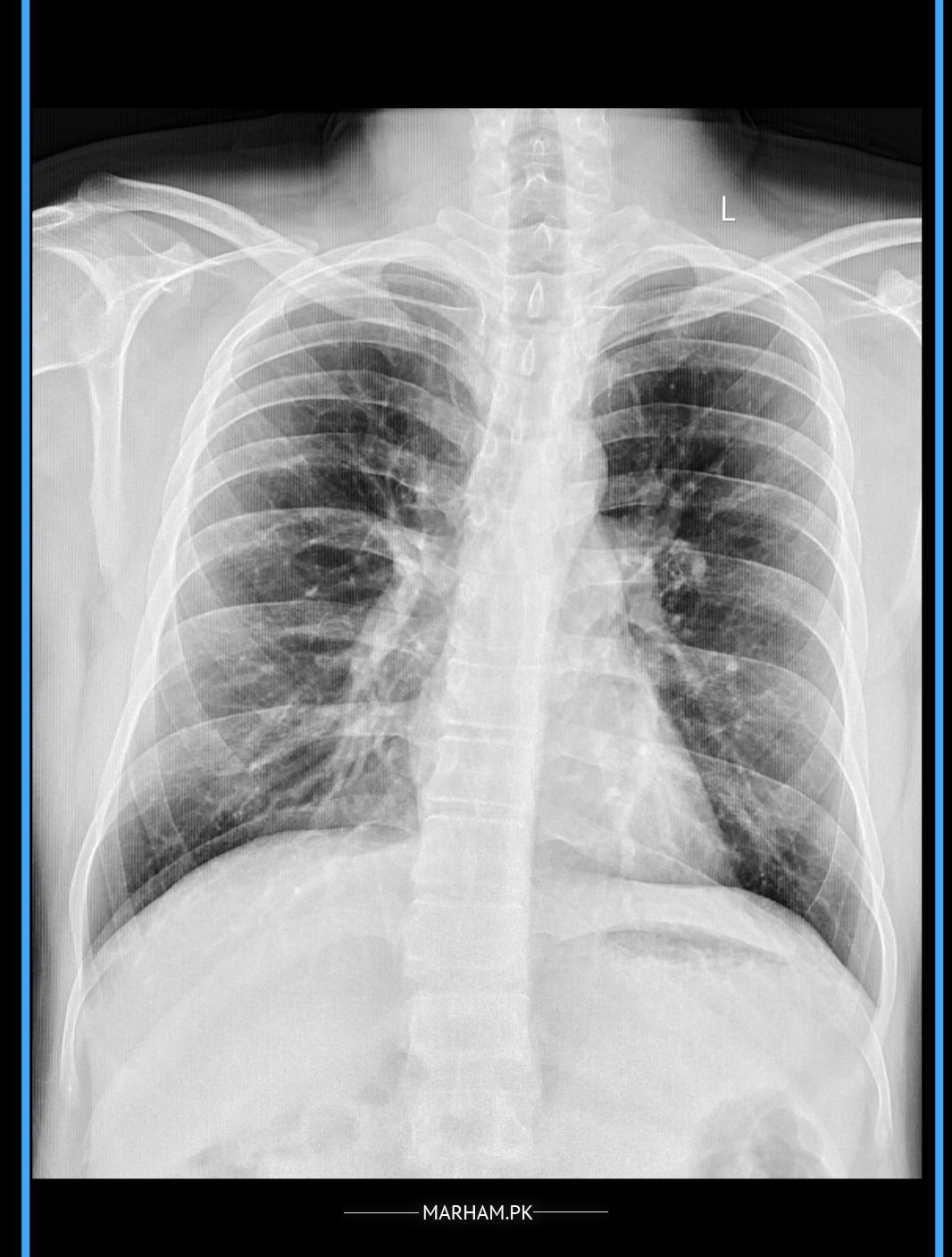
Kindly see attached my chest x-ray and give opinion is there any spots/scarring on chest, I have to do Qatar overseas employment medical test, in that test they don't pass if they found any chest scarring.

I never have/had TB, never smoking but I have mild asthma.

Kindle advise Jazakallah Khair

Internal Medicine Specialist in Rawalpindi - Dr. Sadia Babu Assistant Professor Of Medicine

Dr. Sadia Babu Assistant Professor Of Medicine - Internal Medicine Specialist

MBBS, FCPS (Internal Medicine) | Rawalpindi

review-stars

34 Positive Reviews

Looks normal


1

0

Member

Post Owner


much thanks

4 years ago

Pulmonologist / Lung Specialist in Lahore - Dr. Abdur Rahman

Dr. Abdur Rahman - Pulmonologist / Lung Specialist

MBBS, FCPS (Pulmonology) | Lahore

review-stars

122 Positive Reviews

Your xray is normal just prominent bronchovascular (lung) markings


1

0

Member

Post Owner


Kindly advise what I can do to make markings less prominent, is there any medication?

4 years ago

Pulmonologist / Lung Specialist in Lahore - Dr. Abdur Rahman
Dr. Abdur Rahman - Pulmonologist / Lung Specialist

MBBS, FCPS (Pulmonology) | Lahore | Book Appointment

review-stars 121 Positive Reviews

nothing. it may be a normal finding in many individuals.

4 years ago

Member

Post Owner


much thanks

4 years ago

Pulmonologist / Lung Specialist in Islamabad - Dr. Nihal Azhar

Dr. Nihal Azhar - Pulmonologist / Lung Specialist

MBBS, Diploma (Tuberculosis and Chest Diseases (DTCD), Clinical Research Certified Professional (CRCP), Introduction to the Principles and Practice of Clinical Research (IPPCR) | Islamabad

review-stars

64 Positive Reviews

normal X ray.


1

0

Member

Post Owner


much thanks

4 years ago

Pulmonologist / Lung Specialist in Lahore - Dr.  Amna Tariq

Aoa.. yes it has previous non homogenous opacities scaring plus haziness.
You need to get your HRCT chest done.
Plus how long have you taken anti tuberculous drugs? And what inhaler are you using now a days? Get your spirometry done also.


1

0

Member

Post Owner


I'm just worried about how to make Prominent Bronchovascular markings less visible or remove. Plus currently I'm using Pirfenidone tablets as prescribed by doctor. do you want to add or suggest something please.

4 years ago

Pulmonologist / Lung Specialist in Lahore - Dr.  Amna Tariq
Dr. Amna Tariq - Pulmonologist / Lung Specialist

MBBS, MCPS | Lahore | Book Appointment

review-stars 3 Positive Reviews

Your asthma should be controlled with proper inhalers and medicines. Rest the old healed scars cannot be removed but you should avoid getting it worse due to fibrosis.

4 years ago

Member

Post Owner


Thank you for your kind Advises.

4 years ago

Pulmonologist / Lung Specialist in Lahore - Dr.  Amna Tariq
Dr. Amna Tariq - Pulmonologist / Lung Specialist

MBBS, MCPS | Lahore | Book Appointment

review-stars 3 Positive Reviews

Most welcome. Regards.

4 years ago

Pulmonologist / Lung Specialist in Lahore - Dr. Nargis Fatima

Dr. Nargis Fatima - Pulmonologist / Lung Specialist

MBBS, DTCD (Diploma in Tuberculosis and Chest Diseases), MPH | Lahore

review-stars

66 Positive Reviews

Aoa .Its normal chest xray


1

0

Member

Post Owner


Thank you for your time.

4 years ago

Pulmonologist / Lung Specialist in Lahore - Dr. Nargis Fatima
Dr. Nargis Fatima - Pulmonologist / Lung Specialist

MBBS, DTCD (Diploma in Tuberculosis and Chest Diseases), MPH | Lahore | Book Appointment

review-stars 65 Positive Reviews

Thanks

4 years ago

Pulmonologist / Lung Specialist in Lahore - Asst. Prof. Dr. Omer M Naeem

Asst. Prof. Dr. Omer M Naeem - Pulmonologist / Lung Specialist

MBBS, FCPS (Pulmonology) | Lahore

review-stars

7 Positive Reviews

Aoa.Your Chest Xray is clear.....the white fots seen in the middle are end-on bronchi...they are normal.


0

0

Member

Post Owner


Is it good t continue Pirfenidone as prescribed by doctor?. actually white spots sometimes not acceptable in overseas x-ray assessment. Do you want to suggest anything please.
Thank you

4 years ago

Pulmonologist / Lung Specialist in Lahore - Asst. Prof. Dr. Omer M Naeem
Asst. Prof. Dr. Omer M Naeem - Pulmonologist / Lung Specialist

MBBS, FCPS (Pulmonology) | Lahore | Book Appointment

review-stars 7 Positive Reviews

Go for HRCT Chest. No need of any medicines

4 years ago

Member

Post Owner


Thank you for your time and Advise.

4 years ago

Attach Photo here: