Book Video Consultation

Book Video Consultation

Stay Home

No Waiting in lines

Audio/Video Call

PMC Verified Doctors

Talk to Pulmonologist / Lung on Pain In Left Side Chest

person-avatar

Asking for Self, Male, 26 years old, KArachi

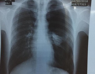
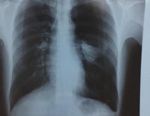
I have Pain in Left side Chest. My ECG report and Chest X Ray is attached. Kindly advice me what actual problem

Pulmonologist / Lung Specialist in Sahiwal - Dr. Aun Bin Shahid

Dr. Aun Bin Shahid - Pulmonologist / Lung Specialist

| MBBS | FCPS (Pulmonology) | | Sahiwal

review-stars

280 Positive Reviews

x ray showing left sided opacity,should be investigated,unable to comment without examining patient.


0

0

Pulmonologist / Lung Specialist in Wah Cantt - Dr. Aziz Ul Qadir Awan

Dr. Aziz Ul Qadir Awan - Pulmonologist / Lung Specialist

MBBS, MCPS(Pulmonology), OJT (Internal Medicine), SCE Respiratory Medicine (UK) | Wah Cantt

review-stars

31 Positive Reviews

dear i would like you to have these tests done. HRCT chest, D-dimers


0

0

Pulmonologist / Lung Specialist in Abbottabad - Asst. Prof. Dr. Mohammad Yasin

your Chest Xray has left sided opacity. you need to be checked by pulmonologist who may advise further investigations in order to reach the diagnosis.


0

0

Attach Photo here:


Chat with us!