Book Video Consultation

Book Video Consultation

Stay Home

No Waiting in lines

Audio/Video Call

PMC Verified Doctors

Talk to Pulmonologist / Lung on Pulmonology

person-avatar

Asking for Husband, Male, 27 years old, Karachi

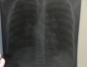
My husband’s reports are alarming can u plz tell if its actually lymphoma? No symptoms so far

Pulmonologist / Lung Specialist in Karachi - Asst. Prof. Dr. Syed Tabish Rehman

this report only means that both hila of lung enlarge . your husband needs detailed examination and history with further evaluation by CT , bronchiscopy if needed, so plz visit chest physician


0

0

Pulmonologist / Lung Specialist in Lahore - Dr. Javed Hayat Khan

Dr. Javed Hayat Khan - Pulmonologist / Lung Specialist

MBBS (KE), MRCP (UK), FRCP (UK), FRCP (Glasgow), FCCP, Diploma in Thoracic Medicine (London) | Lahore

review-stars

87 Positive Reviews

Sorry X-ray is too dark to make any report isn’t to have CT scan chest with contrast.


0

0

Pulmonologist / Lung Specialist in Lahore - Dr. Nargis Fatima

Dr. Nargis Fatima - Pulmonologist / Lung Specialist

MBBS, DTCD (Diploma in Tuberculosis and Chest Diseases), MPH | Lahore

review-stars

66 Positive Reviews

There are calcifications in lungs .To establish a diagnosis he needs to under go few more tests like sputum for AFB and Gene xpert MTB .Monitor his temperature .Is there past history of Pulmonary Tuberculosis ?


0

0

Member

Post Owner


Okay i will note this temperature. He has zero symptoms and no fever! He’s scared about me because i am full term pregnant living with him. Am i at risk?

5 years ago

Pulmonologist / Lung Specialist in Lahore - Dr. Nargis Fatima
Dr. Nargis Fatima - Pulmonologist / Lung Specialist

MBBS, DTCD (Diploma in Tuberculosis and Chest Diseases), MPH | Lahore | Book Appointment

review-stars 65 Positive Reviews

U r not at risk dear

5 years ago

Pulmonologist / Lung Specialist in Hyderabad - Dr. Jawed Ulhadi Memon

Dr. Jawed Ulhadi Memon - Pulmonologist / Lung Specialist

MBBS, MCPS (Pulmonology), European Diploma in Respiratory Medicine | Hyderabad

review-stars

147 Positive Reviews

Well for more detail clarification need CT scan chest for these suspected diagnosis.


0

0

Pulmonologist / Lung Specialist in Nowshera - Dr. Haseeb Mushtaq

Dr. Haseeb Mushtaq - Pulmonologist / Lung Specialist

| MBBS | MCPS | | Nowshera

review-stars

24 Positive Reviews

CT chest with contrast is adviced


0

0

Attach Photo here: