Book Video Consultation

Book Video Consultation

Stay Home

No Waiting in lines

Audio/Video Call

PMC Verified Doctors

Talk to Pulmonologist / Lung on X Ray Findings

person-avatar

Asking for Brother, Male, 31 years old, Islamabad

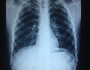
kindly examine the two chest x-rays from two different labs. my bro was hired job in UAE but in medical test he is declared unfit because of some kind of x-ray findings. These x-rays images are taken from two different labs from the 1st one where he was medically examined. Expert reviews required from radiologist and pulmonologist.

thank you

Member of Marham-Forum

Thank you for posting your query.
We are sorry to hear about your problem. We have tagged relevant doctors for your problem. Please wait they will reply you soon.
Thank you.

Pulmonologist / Lung Specialist in Attock - Dr. Afsar Ali

Dr. Afsar Ali - Pulmonologist / Lung Specialist

| MBBS | MCPS ( Pulmonology) | MSPH ( Public Health) | | Attock

review-stars

353 Positive Reviews

is B/l hilar prominence with old heald of the countries not accept these findings even if you dont have history of old or new infection/TB.


0

0

Member

Post Owner


Yea he has no TB history. Is there any treatment to remove them?

6 years ago

Member

Post Owner


Which side has the granulamas?

6 years ago

Pulmonologist / Lung Specialist in Lahore - Dr. Khawaja Yassir Rahman

Dr. Khawaja Yassir Rahman - Pulmonologist / Lung Specialist

MBBS, Diplomate of American Board (Pulmonary Disease), Diplomate of American Board (Internal Medicine), Diplomate of American Board (Critical Care) | Lahore

review-stars

56 Positive Reviews

There is difference in exposure in both films. Any symptoms like fever, weight loss etc. Age of patient, smoking history?Dr Khawaja Yassir Rahman


0

0

Member

Post Owner


Thanks for ur time he is non smoker & 31 yrs old and there is no history of weight loss, fever

6 years ago

Pulmonologist / Lung Specialist in Karachi - Dr. Rizwana Salik

Dr. Rizwana Salik - Pulmonologist / Lung Specialist

MBBS, FCPS (Pulmonology) MCPS (Family Medicine) | Karachi

review-stars

8 Positive Reviews

it z difference of xposure i me its normal as long as pt iz assymptomatic


0

0

Pulmonologist / Lung Specialist in Karachi - Dr. Kashif Sarfraz

Dr. Kashif Sarfraz - Pulmonologist / Lung Specialist

MBBS, MCPS (Pulmonology), MRCP | Karachi

review-stars

2 Positive Reviews

2nd xray has some whitish shades in ur language like lymphednopathy
just because of this they reject
otherwise if pt is asymptomTic xray is normL
if he has cough short of breath he should go for Ace levels n ct scan


0

0

Attach Photo here: