Book Video Consultation

Book Video Consultation

Stay Home

No Waiting in lines

Audio/Video Call

PMC Verified Doctors

Talk to Dermatologist on Pimples And Scars

person-avatar

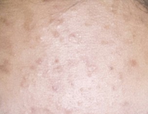
Asking for Self, Female, 17 years old, Lahore

I have pimple kind of bumps on my forehead . And there are scars too . It looks uneven on forehead . I have tried creams , facials, masks, serums but nothing worked for me . My age is 17 .

Dermatologist in Lahore - Dr. Burhan Ashraf

Dr. Burhan Ashraf - Dermatologist

MBBS, MRCPUK, DIPLOMATE ABHRS | Lahore

review-stars

20 Positive Reviews

please send a clear picture of these pimples this one i a bit blurred


1

0

Member of Marham-Forum

You have severe acne. You should visit a dermatologist soon. You need to take proper medicine to stop acne. 


1

0

Member

Post Owner


Which medicines??

8 years ago

Dermatologist in Lahore - Dr. Umer Mushtaq

Dr. Umer Mushtaq - Dermatologist

MBBS, FCPS (Dermatology), CAAAM (USA) | Lahore

review-stars

7,762 Positive Reviews

Hello.. i have checked the pic.. you need microneedling with prp therapy.. lemme know when can you come for examination ? Youll be fine in sha ALLAH.. dont worry.. can contact me on 042-32591427,
--------------------------------------------


0

0

Attach Photo here: