Book Video Consultation

Book Video Consultation

Stay Home

No Waiting in lines

Audio/Video Call

PMC Verified Doctors

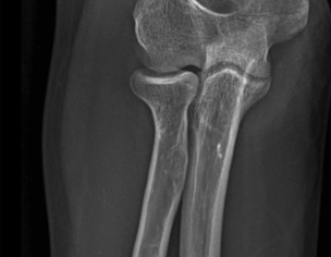
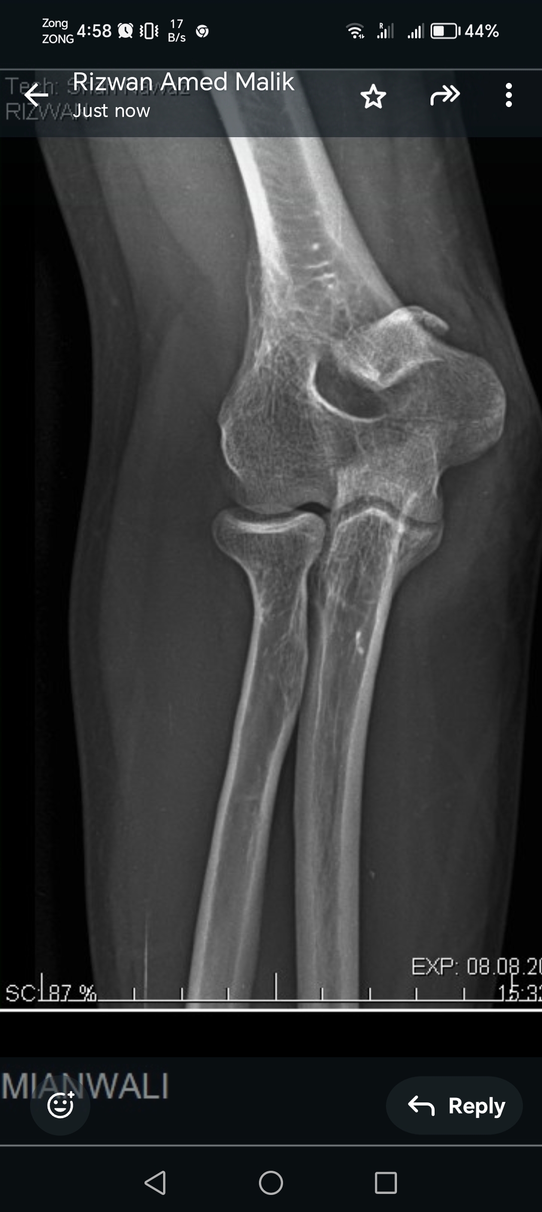
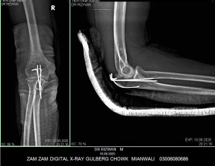
Talk to Orthopedic Surgeon on Elbow Surgery

person-avatar

Asking for Husband, Male, 40 years old, Saudia

My husband had elbow surgery on 9th of August. I want to know about physiotherapy. When can we start physiotherapy so he can bend and extend his arm freely.Kindly guide us. If we start now will it effect joint or not. TIA

Orthopedic Surgeon in Lahore - Dr. Syed Safdar Raza

Dr. Syed Safdar Raza - Orthopedic Surgeon

MBBS ( KE), FRCS (UK), MSc Orthopedic ( London) | Lahore

review-stars

394 Positive Reviews

Thank you
Always better to ask operating Surgeon regarding postoperative management including physiotherapy.
Not to lift weight in operated hand. Start gentle range of motion in elbow.
Regards


0

0

Orthopedic Surgeon in Sahiwal - Dr. Humayun Israr

Dr. Humayun Israr - Orthopedic Surgeon

MBBS , Master Of Surgery | Sahiwal

review-stars

64 Positive Reviews

Back slab should be removed and physiotherapy should be started asap with gradual increase in range of motion. otherwise stiffness might occur.


0

0

Orthopedic Surgeon in Karachi - Dr. Syed Tahseen Shakil

Dr. Syed Tahseen Shakil - Orthopedic Surgeon

MBBS, FCPS Orthopaedic Surgeon* | Karachi

review-stars

114 Positive Reviews

Mostly after 3 Weeks Back slab exchanged with arm and sling and start with protected gentle Range of motion To avoid stiffness
But Final decision will be from operating Surgeon


0

0

Orthopedic Surgeon in Peshawar - Dr. Aftab Rahim Afridi

Dr. Aftab Rahim Afridi - Orthopedic Surgeon

MBBS, FCPS Orthopaediatric Surgery | Peshawar

review-stars

28 Positive Reviews

I would advise you to wait for 6 weeks for elbow Range of motion. keep doing shoulder and wrist ROM from day 1.


0

0

Attach Photo here:


Chat with us!