Book Video Consultation

Book Video Consultation

Stay Home

No Waiting in lines

Audio/Video Call

PMC Verified Doctors

Talk to General Practitioner on Serve Cough

person-avatar

Asking for Father, Male, 60 years old, Karachi

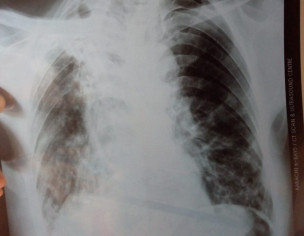
Mer3 father ko kuch din say shadid khansi xray krwaya h.. plz bata dein kya likha h isme..

General Practitioner in Rawalpindi - Dr. Naveed Aslam

Dr. Naveed Aslam - General Practitioner

MD | Rawalpindi

review-stars

17 Positive Reviews

please book an online appointment


0

0

General Practitioner in Gujranwala - Dr. Nafeesa Salman

Dr. Nafeesa Salman - General Practitioner

MBBS | Gujranwala

review-stars

9 Positive Reviews

khanse k sath koi blood , sputum a rha hae , fever , koi weight loss ki history hae ,???


0

0

Member of Marham-Forum

somoking history?


0

0

Member of Marham-Forum

rule out covid in this snario


0

0

General Practitioner in Lahore - Dr. Fareeza Nasir

is main ye hai k purani t.b ke waja sai lungs damage ho gay hain.rite wala ziada damage hai


0

0

General Practitioner in Lahore - Dr. Fareeza Nasir

ap kisi specialist ko consult karain


0

0

Member of Marham-Forum

HRCT krwayie


0

0

Pediatrician in Lahore - Dr. Asad Nazir

Dr. Asad Nazir - Pediatrician

| MBBS | DCH | | Lahore

review-stars

22 Positive Reviews

get ct chest, and any if there is short history unfortunately it may be covid. consult for further management


0

0

General Practitioner in Karachi - Dr. Muhammad Hasnain

Dr. Muhammad Hasnain - General Practitioner

MBBS, Aesthetic Certificate | Karachi

review-stars

1 Positive Reviews

right lung collapse hai better to consult with specialist


0

0

General Practitioner in Lahore - Dr. Shahid Ikram

Right lung is collapsed
May be the patient is exposed to someone with TB without knowing or a chain smoker


0

0

Attach Photo here: