Book Video Consultation

Book Video Consultation

Stay Home

No Waiting in lines

Audio/Video Call

PMC Verified Doctors

Talk to General Surgeon on Feeling Severe Pain.

person-avatar

Asking For Someone else, Brother, Male, 29 Years old, Lahore

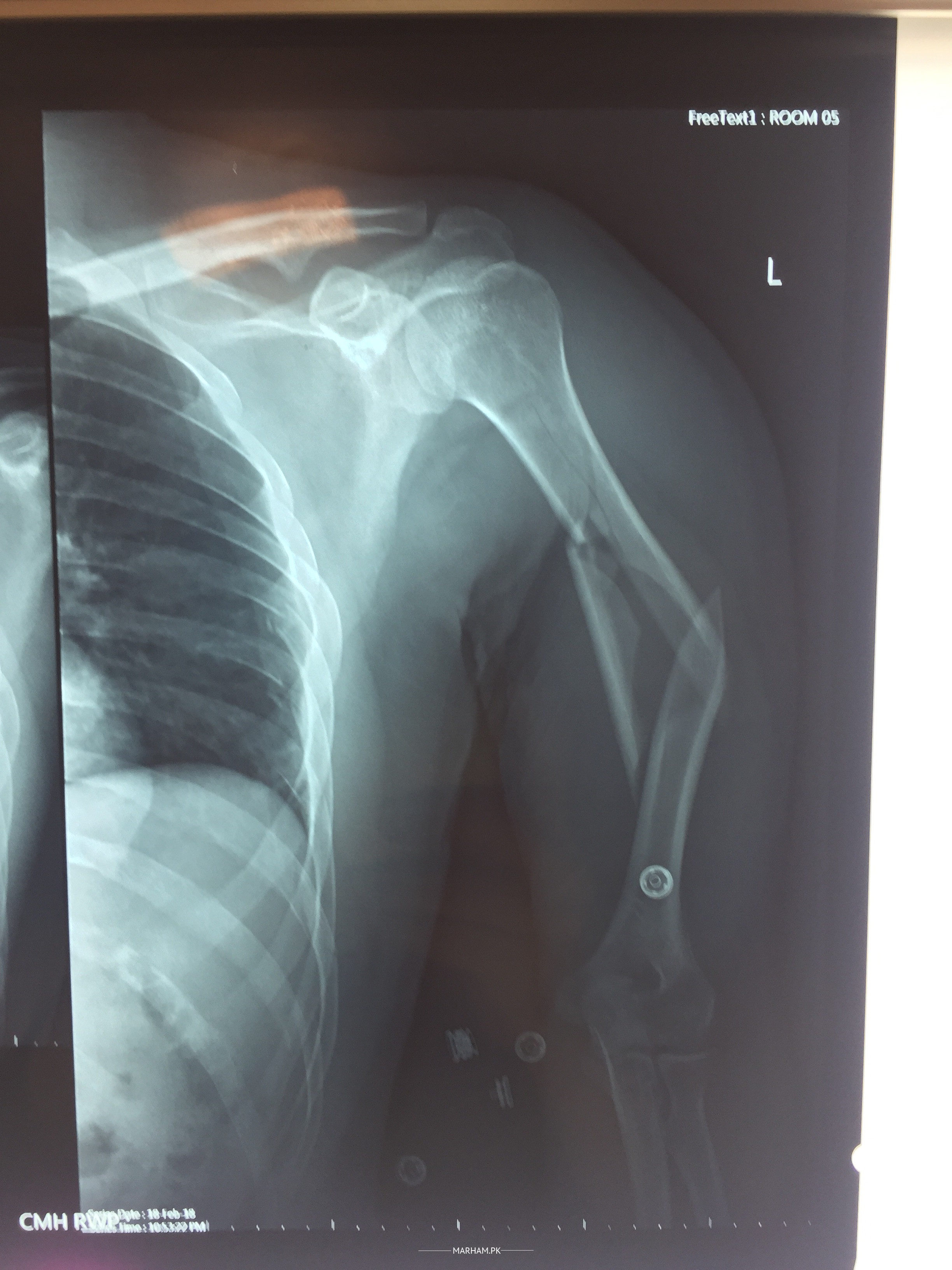
Attached are the pre surgery and post surgery X-ray images. is every thing fine

Orthopedic Surgeon in Lahore - Assoc. Prof. Dr. Muhammad Bilal

Assoc. Prof. Dr. Muhammad Bilal - Orthopedic Surgeon

MBBS , FCPS (Orthopedic Surgery), FRCS (Trauma & orthopedic surgery ) England , Fellowship (Shoulder Surgery) UK | Lahore

review-stars

252 Positive Reviews

xrays are looking fine.
its a big surgery. two to three weeks of pain is normal.
make sure that wound is ok and no discharge or pus in the wound


0

0

Member

Post Owner


Thanx

7 years ago

Attach Photo here: