Book Video Consultation

Book Video Consultation

Stay Home

No Waiting in lines

Audio/Video Call

PMC Verified Doctors

Talk to General Surgeon on PF & HEEL SPUR

person-avatar

Asking for Self, Male, 35 years old, SHARJAH

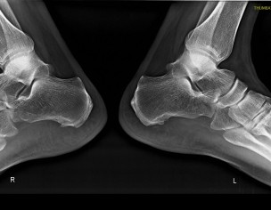
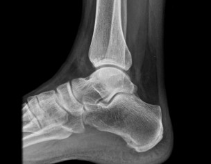
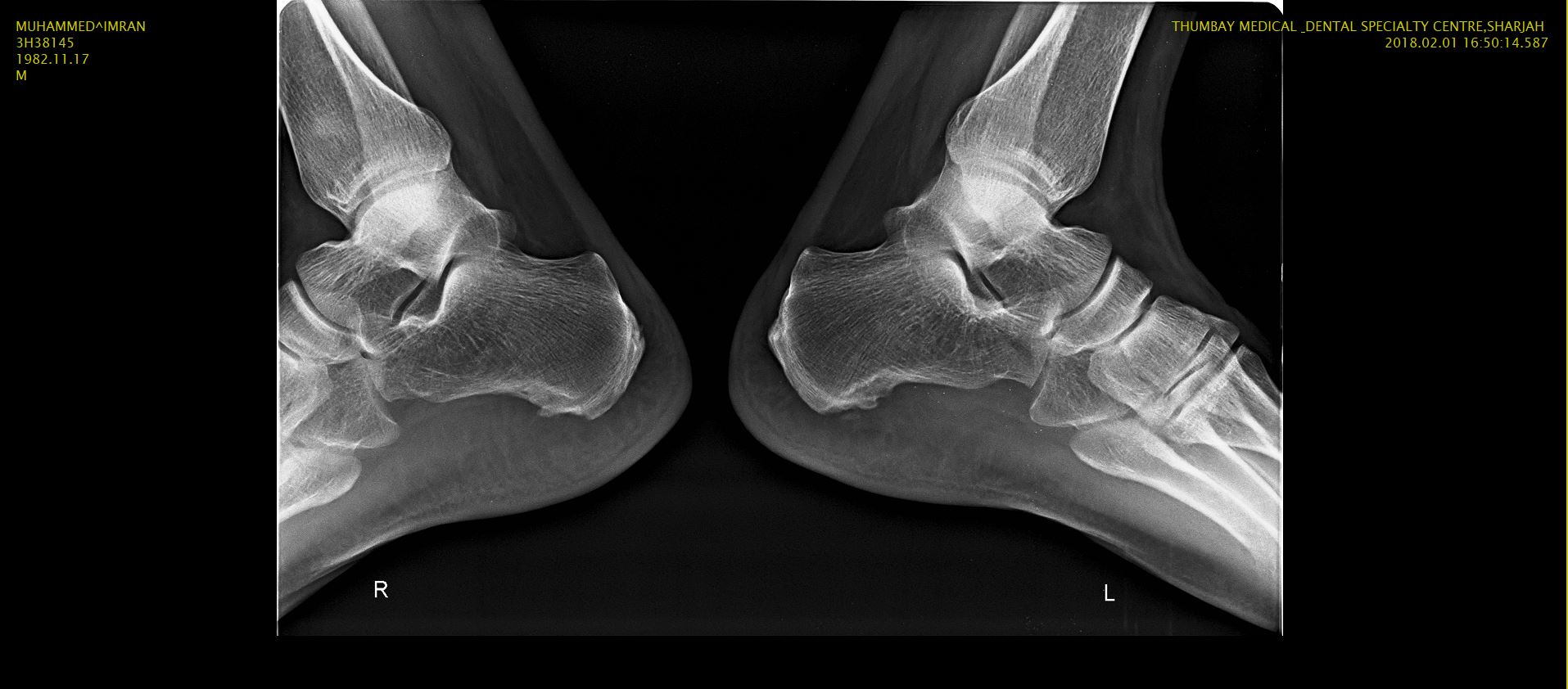
i am suffering PF pain for my both foot from last 3 years i took 4 times steroid injection & lot of pain killers tablets injections & some basic exercises but pain was same last November right foot Pf release surgery done in Multan Dr said left foot surgery after 6 months i came back here sharjah in January & from last week i am feeling pain left foot & as well right foot now after fresh X Ray & MRI here Dr diagnosed HEEL SPUR here Dr advised first physiotherapy i am going hospital daily for physiotherapy but still pain is same is there any permanent solution for this disease PF & HEEL SPUR kindly help me.

Member of Marham-Forum

let me explain


0

0

Member

Member


I have a problem syphilis tell me about treatment

7 years ago

Member of Marham-Forum

Our feet are very important part of the body and depending what your general physical health and weight is, they also complain when things are not right.
its a common cause is CF
its a tough connective tissue underneath the sole and you tend to get pain, very specific area, first thing in the morning and after resting.
rest and anti inflammatory can help.
it can come on with the wrong shoe and repetitive injury to the same area, lots of sports and exercises not guided well.
if your hamstrings are tight it will also cause worsening of the Achilles tendon will make the pain worse.
right cushioning shoe and later injection at the sight of the pain can help.
however in your case you had it all done.
you also need to be patient with the PF as it can take months and months before you get better, you need multi approach for that/.
hope you fine this helpful
dr kayani.


0

0

Orthopedic Surgeon in Lahore - Assoc. Prof. Dr. Muhammad Bilal

Assoc. Prof. Dr. Muhammad Bilal - Orthopedic Surgeon

MBBS , FCPS (Orthopedic Surgery), FRCS (Trauma & orthopedic surgery ) England , Fellowship (Shoulder Surgery) UK | Lahore

review-stars

253 Positive Reviews

heel spur is present in lot of people without causing any trouble. key to treat PF is as below
1. activity modification
2. heel cushion
3. stretching exercises
4. foot massage
5. if these don't work then surgery has few options
like PRP injections, calf muscle release, surgery at the level of heel.
so you should note that surgery on heel spur is last option. don't jump straight to it.
see some orthopaedic person for detailed consultation


0

0

General Surgeon in Lahore - Dr. Rizwan Khalid

Dr. Rizwan Khalid - General Surgeon

MBBS, FCPS ( Surgery) | Lahore

review-stars

19 Positive Reviews

Go for surgery


0

0

Member

Post Owner


c

8 years ago

Member of Marham-Forum

kindly advise surgery will give me relieve

Member

Post Owner


Dear Doctors please advise what i have to do?too much pain both foot after 10 minutes of walk pain will in Sharjah Dr advised Shock Wave therapy but its not cover by Insurance so will it good if i go for Surgery?
is it possible to do the surgery of both foot at one time?
& also advise if i want to come Lahore for Surgery then approximately how much Cost of the Surgery?

8 years ago

Member of Marham-Forum

Dear,s Doctors/Admin Asslam-o-alikum Kindly Help reply

Orthopedic Surgeon in Lahore - Assoc. Prof. Dr. Muhammad Bilal
Assoc. Prof. Dr. Muhammad Bilal - Orthopedic Surgeon

MBBS , FCPS (Orthopedic Surgery), FRCS (Trauma & orthopedic surgery ) England , Fellowship (Shoulder Surgery) UK | Lahore | Book Appointment

review-stars 221 Positive Reviews

i have already given you very detailed answer.
if you definitely want surgery then contact me in Lahore at Farooq Hospital.
both feet can be done together if you can manage for two weeks with very limited mobility.
cost will be around one lac.

8 years ago

Attach Photo here: