Book Video Consultation

Book Video Consultation

Stay Home

No Waiting in lines

Audio/Video Call

PMC Verified Doctors

Talk to General Surgeon on Small Lump

person-avatar

Asking for Self, Female, 34 years old, Lahore, Punjab, Pakistan

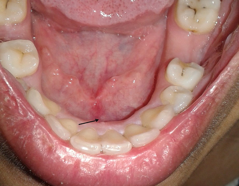
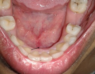
I don't remember how long its been there but at least its been a few months since I've been feeling a small hard immovable lump on the floor of mouth against jaw bone. Its hardly visible but can be felt with tongue and by pressing against it. It wasn't painful until recently when I started touching it more often it feels like ulcerated and is slightly painful sometimes only. Reading articles on google and viewing images is nerve-shattering. Does this need x-ray or biopsy? Can anyone suggest something.

General Surgeon in Peshawar - Dr. Ahmad Hussain Mishwani

Dr. Ahmad Hussain Mishwani - General Surgeon

MBBS, FCPS (General Surgery), MHPE (Health Professions Education) | Peshawar

review-stars

71 Positive Reviews

Yes it needs opinion of a dental surgeon , xray & biopsy , since it is there for few months.


0

0

General Surgeon in Lahore - Prof. Dr. Syed Imran Hussain Andrabi

Prof. Dr. Syed Imran Hussain Andrabi - General Surgeon

MBBS , FCPS (Surgery) , FRCS (Ireland) , Intercollegiate Specialty Board Certified FRCS in General Surgery | Lahore

review-stars

478 Positive Reviews

Asa it needs an X-ray to see if it’s a stone of a salivary gland ( spit producing glam) and needs to be seen in the clinic. Might have to be removed for biopsy


0

0

General Surgeon in Lahore - Asst. Prof. Dr. Amna Umar Gill

Yes it does need further investigation. Get yourself examined and get proper investigation done


0

0

Attach Photo here: