Book Video Consultation

Book Video Consultation

Stay Home

No Waiting in lines

Audio/Video Call

PMC Verified Doctors

Talk to Gynecologist on Inflammation? Cancer?

person-avatar

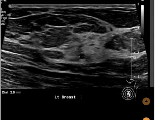
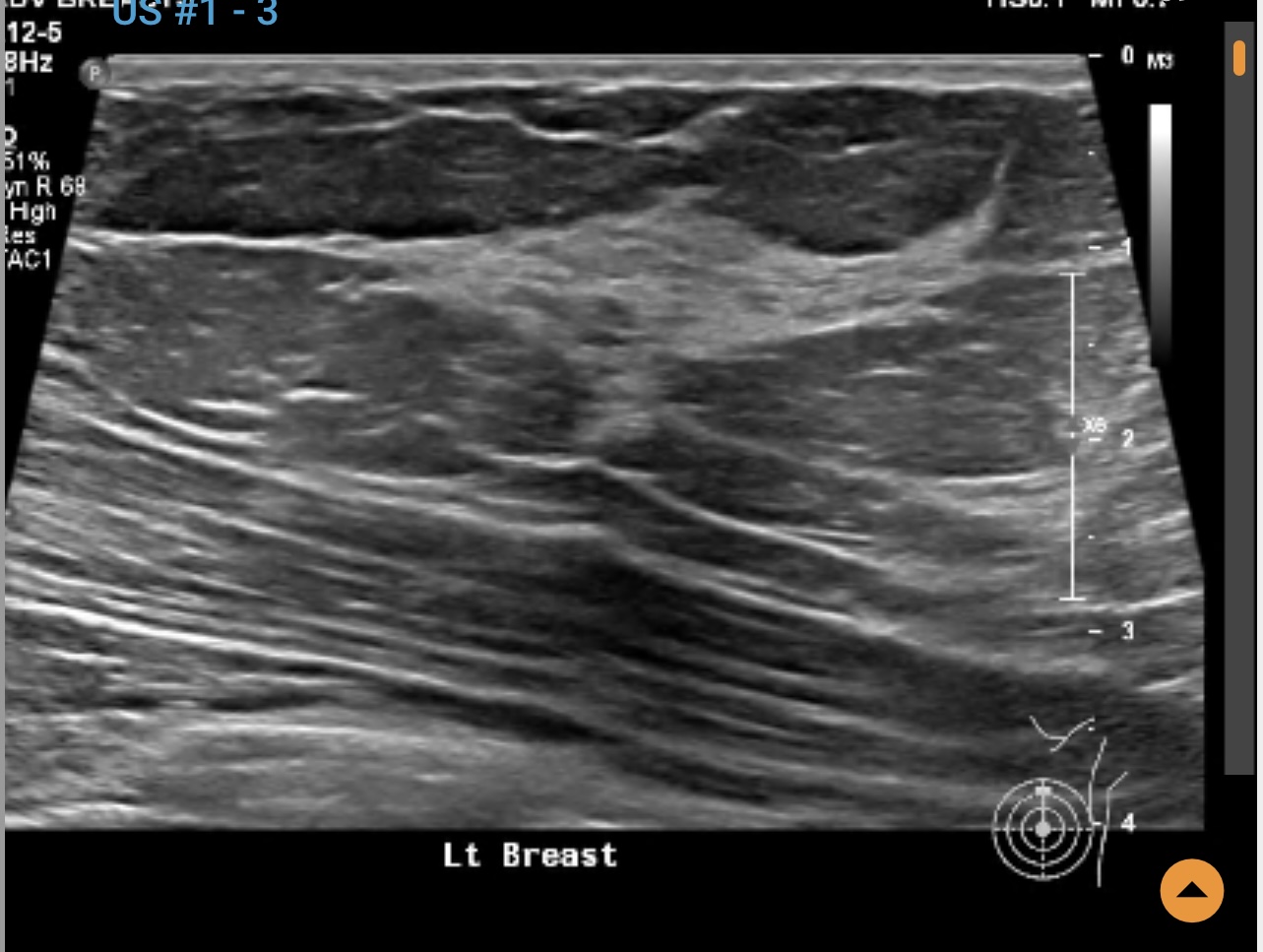
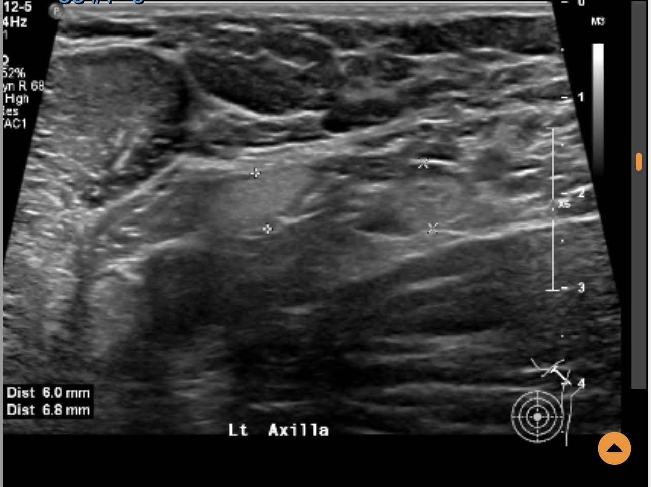
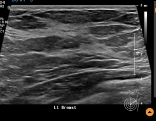
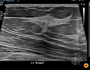
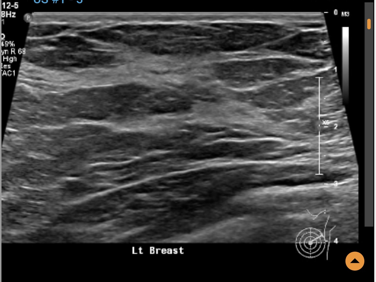
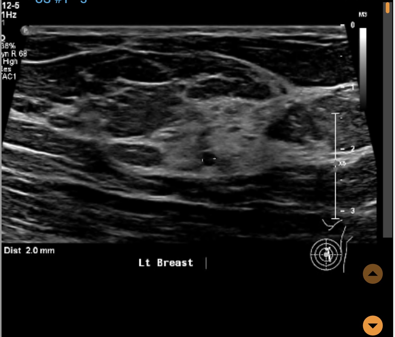
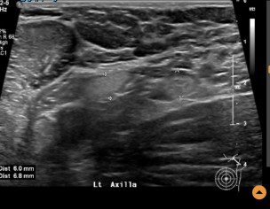
Asking for Self, Female, 34 years old, Breast Issue

Left breast ultrasound report said no concerns. Symptoms - enlarged lymph nodes left breast, small cyst, changes in size and shape of left breast, dimples in lower left breast, pain in outer quadrant of left breast. Second opinion on ultrasound pics?

Member of Marham-Forum

you need physical examination

Gynecologist in Lahore - Dr. Rashida Ijaz

Dr. Rashida Ijaz - Gynecologist

MBBS, MCPS (Obstetrics & Gynecology)* | Lahore

review-stars

170 Positive Reviews

consult surgeon


0

0

Gynecologist in Lahore - Asst. Prof. Dr. Aqeela Abbas

Asst. Prof. Dr. Aqeela Abbas - Gynecologist

MBBS, FCPS (Obstetrics & Gynecology) | Lahore

review-stars

46 Positive Reviews

you should get time for physical check up


0

0

Attach Photo here: