Book Video Consultation

Book Video Consultation

Stay Home

No Waiting in lines

Audio/Video Call

PMC Verified Doctors

Talk to Internal Medicine on Bladder/Kidney

person-avatar

Asking For Self, Female, 23 Years old, Islamabad

Pain in the right side of abdomen under the ribs followed by backache in the same area. In addition to these symptoms having difficulty concentrating, having confusion, difficulty speaking facial muscles hurt, sleepiness all the time, fluctuations in bp and feel nauseous with sometimes developed fever or shivering. Please help me with this. Will be highly thankful. Attached my reports too.

General Physician in Multan - Dr. Muhammad Mudasir Saleem

ultrasound kraya apne? koi med use ki?


0

0

Member

Post Owner


Yes sr its clear! No medicines yet.

3 months ago

General Physician in Multan - Dr. Muhammad Mudasir Saleem

can you share ultrasound report?

3 months ago

Member

Post Owner


Sr this is the most recent ultrasound report. But radiology isn’t matching my blood reports. I am worried about that. Pls help.

3 months ago

General Physician in Multan - Dr. Muhammad Mudasir Saleem

exactly, difference is there, you can contact me for that

3 months ago

Member

Post Owner


What difference sr? Is there any problem with reports?

3 months ago

General Physician in Multan - Dr. Muhammad Mudasir Saleem

yess ma'am

3 months ago

Member

Post Owner


Can u explain bit of that? Will contact.

3 months ago

General Physician in Multan - Dr. Muhammad Mudasir Saleem

high uric acid, hb in urine

3 months ago

Member

Post Owner


And in ultrasound?

3 months ago

General Physician in Multan - Dr. Muhammad Mudasir Saleem

share report ma'am,

3 months ago

Member

Post Owner


I have shared sr above

3 months ago

General Physician in Multan - Dr. Muhammad Mudasir Saleem

not shared ma'am

3 months ago

General Physician in Multan - Dr. Muhammad Mudasir Saleem

report isn't uploaded

3 months ago

Member

Post Owner


Sr there’s glich I think maybe can’t share or can’t be seen by you.

3 months ago

General Physician in Multan - Dr. Muhammad Mudasir Saleem

you can share on wha t sapp,

3 months ago

General Physician in Multan - Dr. Muhammad Mudasir Saleem

okay?

3 months ago

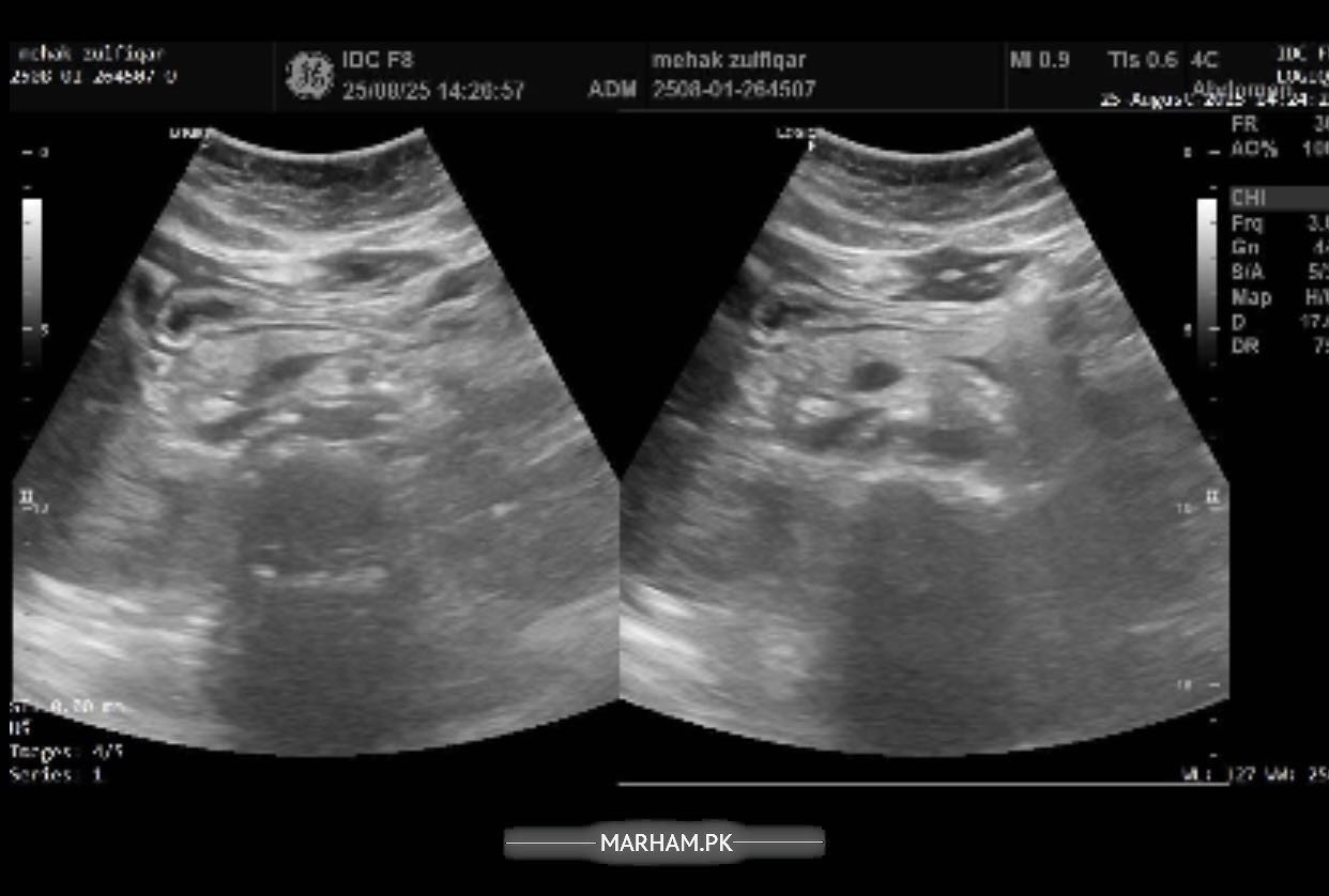
Member of Marham-Forum

Sr can’t share pics altogether but here it is


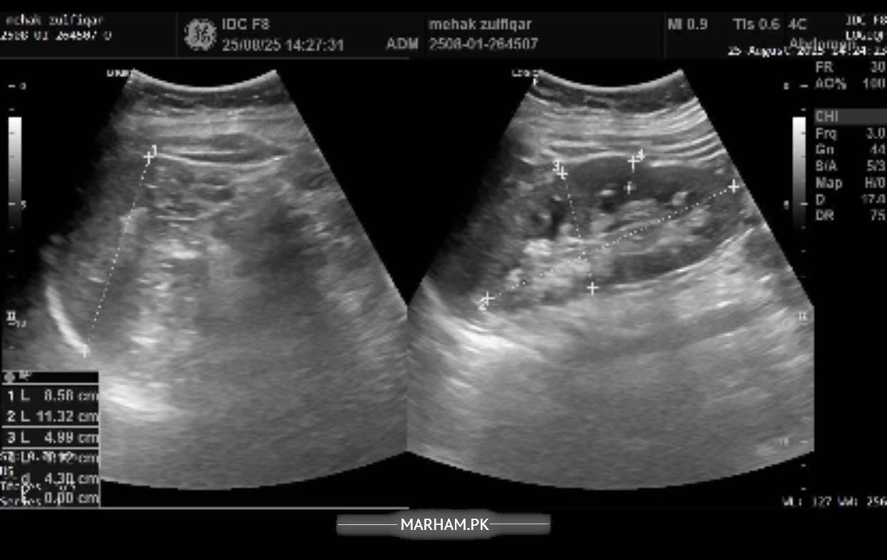
Member of Marham-Forum

Another


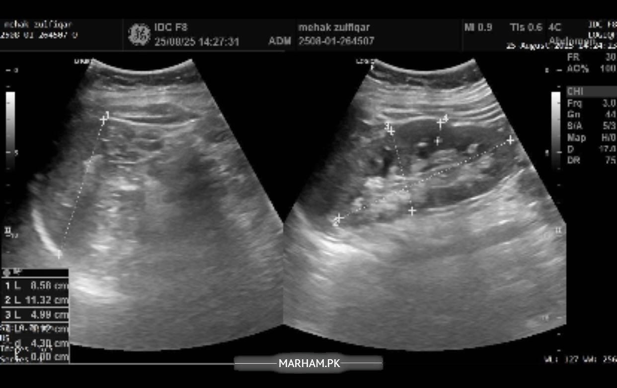
Member of Marham-Forum

Another


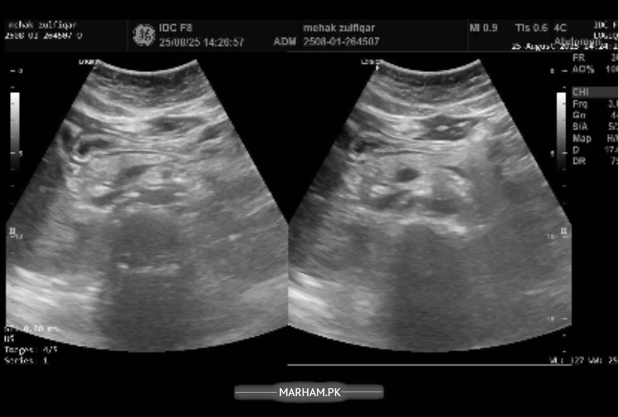
Member of Marham-Forum

Another


Member of Marham-Forum

Another


Internal Medicine Specialist in Rawalpindi - Dr. Brig R Muhammad Asif

Dr. Brig R Muhammad Asif - Internal Medicine Specialist

MBBS, FCPS (Medicine) | Rawalpindi

review-stars

476 Positive Reviews

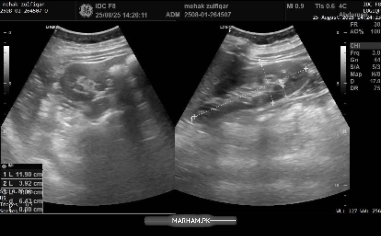
report of ultrasound


0

0

Member

Post Owner


Sr i have shared below

3 months ago

Internal Medicine Specialist in Karachi - Dr. Nimra Nabi

Dr. Nimra Nabi - Internal Medicine Specialist

MBBS, MRCP Ireland | Karachi

review-stars

1 Positive Reviews

you’re demonstrating features of UTI, blood in urine can be due to many things, would like to explore this in detail and get to do few more tests. I’m available for consultation


0

0

Member

Post Owner


Mam culture is clear no bacterial growth found.

3 months ago

Internal Medicine Specialist in Karachi - Dr. Nimra Nabi

Dr. Nimra Nabi - Internal Medicine Specialist

MBBS, MRCP Ireland | Karachi

review-stars

1 Positive Reviews

i would like to see that report and tell me bp fluctuations too


1

0

Member

Post Owner


Mam, i have shared that report too above. And bp does fluctuate. Mostly, on the lower side sometimes on higher range.

3 months ago

Internal Medicine Specialist in Karachi - Dr. Nimra Nabi

Dr. Nimra Nabi - Internal Medicine Specialist

MBBS, MRCP Ireland | Karachi

review-stars

1 Positive Reviews

there’s no culture report? i would like to know about readings that are most frequent


0

0

Member

Post Owner


If its higher its 140/89 or if lower 90/50 frequently it varies too.

3 months ago

Member of Marham-Forum

This is culture mam


Internal Medicine Specialist in Karachi - Dr. Nimra Nabi

Dr. Nimra Nabi - Internal Medicine Specialist

MBBS, MRCP Ireland | Karachi

review-stars

1 Positive Reviews

Okay I think you need proper consultation, and a proper ultrasound from a consultant. I’m available or if you want to see anybody of your liking you should. in the meantime i need you to make a record of your bp for a week, 2 readings in the morning and 2 readings at night then tell me


0

0

Member

Post Owner


Thank u mam. Will provide u with soon.

3 months ago

General Physician in Multan - Dr. Poonam Qazi

Dr. Poonam Qazi - General Physician

MBBS | Multan

review-stars

1,123 Positive Reviews

uric acid zyeda Hy protein urea Hy need treatment


0

0

Homeopath in Rawalpindi - Homeopathic Dr. Asifa Khanum

Homeopathic Dr. Asifa Khanum - Homeopath

DHMS | Rawalpindi

review-stars

1,233 Positive Reviews

it's completely treatable after taking some medicine don't you worry detailed history required kindly book appointment with me


0

0

Internal Medicine Specialist in Mansehra - Dr. Saad Shah

Dr. Saad Shah - Internal Medicine Specialist

MBBS, MRCP, FRCP, FRCP Edinburgh | Mansehra

review-stars

149 Positive Reviews

Better to get an Ultrasound abdomen done and Xray Lumbosacral spine and further discussion via online appointment.


1

0

Attach Photo here: