Book Video Consultation

Book Video Consultation

Stay Home

No Waiting in lines

Audio/Video Call

PMC Verified Doctors

Talk to Neuro Physician on Neurology

person-avatar

Asking For Husband, Male 31, lhr

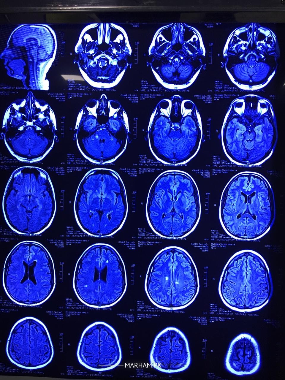
my husband had numbness in his right side of face half head. we consulted a doctor he recommended some tests and MRI. i m attaching some images plz help us understand what is the issue. m attaching all reports and images.

Member of Marham-Forum

mri report


Member of Marham-Forum

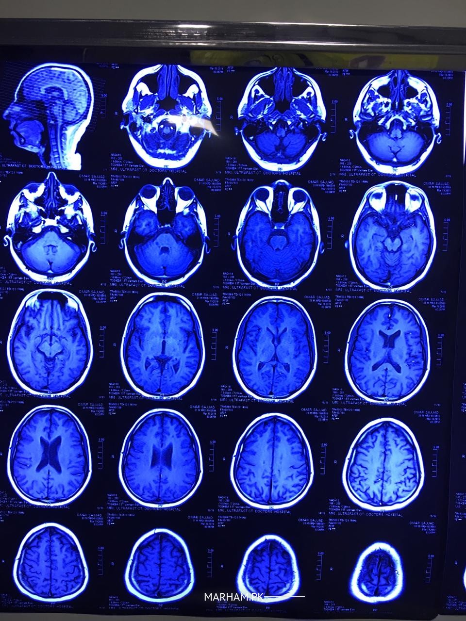
report


Member of Marham-Forum

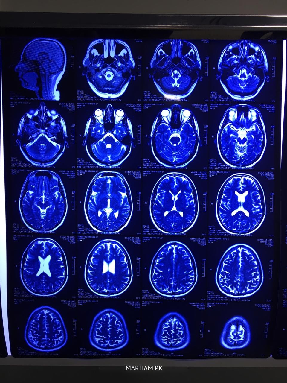
report


Member of Marham-Forum

report


Neurologist in Lahore - Prof. Dr. Mujeeb Ur Rehman Abid

Prof. Dr. Mujeeb Ur Rehman Abid - Neurologist

MBBS, FCPS, MRCP, FRCP (London) | Lahore

review-stars

5 Positive Reviews

He is a young man and the MRI reports reveal a disease called as Multiple Sclerosis. It a disease in which body's own immune or defence system starts working against own brain tissues. It requires thorough investigations including Lumbar puncture, taking sample of fluid of brain from the spine , and few more tests. It is a chronic disease and you need to consult a neurologist so that appropriate plan of treatment can be discussed in detail.
Regards


0

0

Neurologist in Karachi - Dr. Wajid Jawaid

Dr. Wajid Jawaid - Neurologist

MBBS, FCPS (Neurology) | Karachi

review-stars

130 Positive Reviews

The MRI scan report seems to suggest a diseases called Multiple Sclerosis. the dis have a deep blue tinge, therefore cannot be reliably commented upon. First the diagnosis needs to be confirmed, with contrast MRI scan and some other tests. then if it's really multiple Sclerosis then a Neurologist will discuss treatment options with you. there are good options available now to control the disease. however, I repeat , most importantly the diagnosis must be confirmed. for that you need to see a neurologist. neurological history and examination are as important as lab tests to diagnose this condition. please show a Neurologist in your city


0

0

Neurologist in Karachi - Dr. Wajid Jawaid
Dr. Wajid Jawaid - Neurologist

MBBS, FCPS (Neurology) | Karachi | Book Appointment

review-stars 128 Positive Reviews

the films have a deep blue tinge*

6 years ago

Neurologist in Islamabad - Dr. Husnain Hashim

Dr. Husnain Hashim - Neurologist

MBBS, MCPS, FCPS (Neurology), FEBN (Neurology), MSc (Stroke Medicine) | Islamabad

review-stars

2,130 Positive Reviews

mri brain finding are suggestive of most likely multiple sclerosis. a disease of demyelinating in nature . need detail history about your husband .
is there any previous history of any weakness, imbalance , any visual issue ,
May need further test .
Need to be seen by Neurologist and plan about management .


0

0

Member

Post Owner


no issues at all no balance issue and nothing at all his all test are clear even ENA profile too.

6 years ago

Member

Member


Sir i am suffering from charcoat marie tooth disease CMTD type II since last17.18 yrs. Now my all body muscls nd limbs getting weak day by day muscls are wasting weakns trble in walking cnt blnc my body plzzzz hlp me suggestt me any trtmnt or mdcns

6 years ago

Member of Marham-Forum

RNA profile


Attach Photo here: