Book Video Consultation

Book Video Consultation

Stay Home

No Waiting in lines

Audio/Video Call

PMC Verified Doctors

Talk to Orthopedic Surgeon on Ankle Fracture

person-avatar

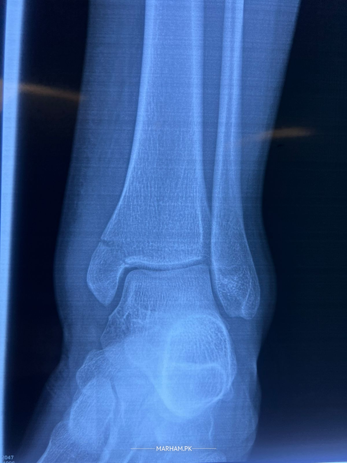
Asking For Brother, Male 16, lahore

my brother fell while playing football and got a fracture on his ankle. plz see the xray and advice whether only plaster is enough or surgery is a must.

Orthopedic Surgeon in Peshawar - Dr. Tahir Mehmood Khattak

Dr. Tahir Mehmood Khattak - Orthopedic Surgeon

MBBS, FCPS Orthopaedic Surgery, Fellowship in Orthopaedic Oncology And Reconstruction | Peshawar

review-stars

12 Positive Reviews

need surgery


0

0

Orthopedic Surgeon in Lahore - Dr. Syed Safdar Raza

Dr. Syed Safdar Raza - Orthopedic Surgeon

MBBS ( KE), FRCS (UK), MSc Orthopedic ( London) | Lahore

review-stars

355 Positive Reviews

Thank you
Position is acceptable, but chances of delayed and non union is there . If no medical contradiction , than better to go for surgery. Even after surgery your foot will be in Plaster for 6 weeks.
Hope for the best Inshallah
Regards
Dr Syed Safdar Raza


0

0

Orthopedic Surgeon in Sahiwal - Dr. Humayun Israr

Dr. Humayun Israr - Orthopedic Surgeon

MBBS , Master Of Surgery | Sahiwal

review-stars

63 Positive Reviews

surgery is better as patient is young.


0

0

Orthopedic Surgeon in Karachi - Dr. Syed Tahseen Shakil

Dr. Syed Tahseen Shakil - Orthopedic Surgeon

MBBS, FCPS Orthopaedic Surgeon* | Karachi

review-stars

85 Positive Reviews

As Patient is Young better go for operation


0

0

Attach Photo here: