Book Video Consultation

Book Video Consultation

Stay Home

No Waiting in lines

Audio/Video Call

PMC Verified Doctors

Talk to Orthopedic Surgeon on Fracture

person-avatar

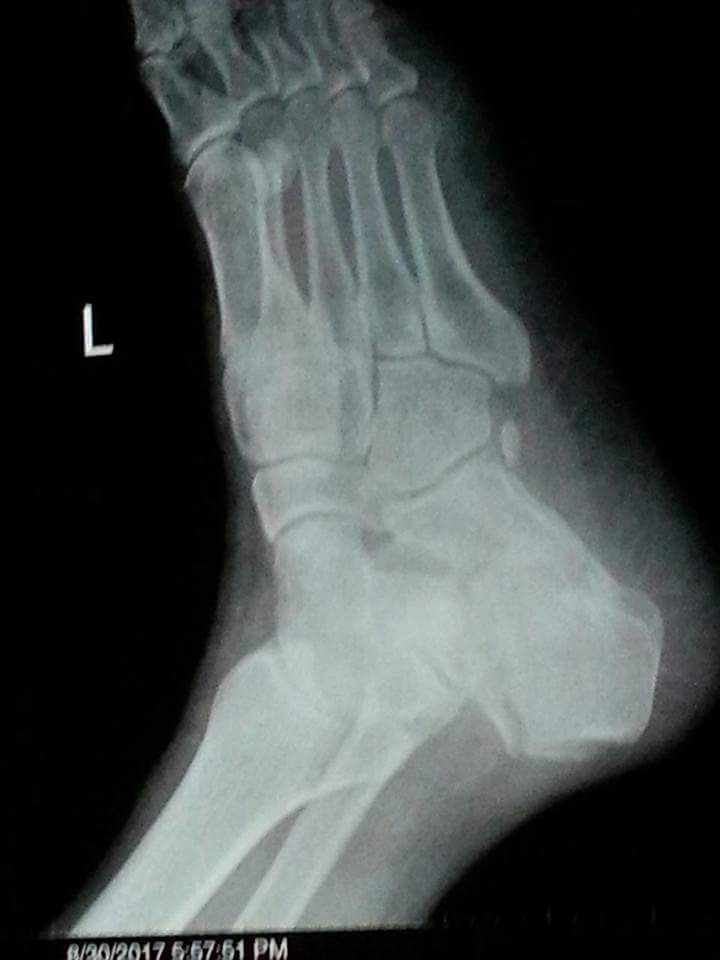
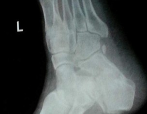
Asking for Other, Male, 60 years old, LAHORE

My father fell off from height 3 weeks back and got his left calcaneus fractured. We saw a doctor the same day who applied plaster cast on his foot and adviced icing and foot elevation Later, we saw another doctor who adviced cast removal immediately and starting physiotherapy and exercises. The latter also said that cast should not have been applied in this particular case. Also, the cast application on the same day of fracture could cause ischemia due to impending swelling.

Kindly give your expert advice on how it should have been treated. An urgent reply will be highly appreciated

Best Regards

Orthopedic Surgeon in Lahore - Prof. Dr. M A Wajid

Prof. Dr. M A Wajid - Orthopedic Surgeon

MBBS , FRCS (Traumatology , Orthopedic) UK | Lahore

review-stars

757 Positive Reviews

At 3 wks after injury if the cast is off, then continue with this treatment. Manage the swelling and pain. It should improve


1

0

Orthopedic Surgeon in Lahore - Dr. Tariq Sohail

Dr. Tariq Sohail - Orthopedic Surgeon

MBBS ,MSc (Orthopedic Surgery), Ph.D (Ortho) , FRCS (Ed) , FRCS, Fellowship | Lahore

review-stars

1,661 Positive Reviews

thanks for ref and opinion
this fracture need surgery for better functional outcome
plz visit my clinic at doctors hospital sooner
thanks
Tariq sohail


1

0

Orthopedic Surgeon in Lahore - Dr. Brig Sohail Muzammil Retd

Dr. Brig Sohail Muzammil Retd - Orthopedic Surgeon

MBBS, Diploma in Aerospace Medicine, FRCS, FCPS (Orthopedic Surgery) | Lahore

review-stars

49 Positive Reviews

Nothing wrong with a cast for a few days. Nothing wrong if it's not
applied. No harm done either way.


1

0

Orthopedic Surgeon in Karachi - Asst. Prof. Dr. Faheem Ahmed

Asst. Prof. Dr. Faheem Ahmed - Orthopedic Surgeon

MBBS, FCPS (Orthopedic Surgery) , MBA (Hospital & Health Management) , ATLS (USA) | Karachi

review-stars

313 Positive Reviews

This needs surgery


0

0

Attach Photo here: