Book Video Consultation

Book Video Consultation

Stay Home

No Waiting in lines

Audio/Video Call

PMC Verified Doctors

Talk to Orthopedic Surgeon on Hip Dysplasia

person-avatar

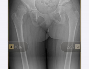
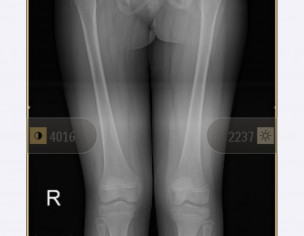
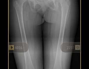
Asking for Other, Female, 8 years old, KSA Riyadh

My daughter is diagnosed with hip dysplasia at age of 8.8 years. Doctor is saying for surgery immediately but we got another opinion and that surgeon is saying that there is no success rate of surgery right now. You have to wait once she grow up n then we will go for hip replacement. While the other doctor is saying that surgery is must. We need an opinion on it. Xrays are attached

Orthopedic Surgeon in Bahawalpur - Dr. Abdul Munaf Saud

Dr. Abdul Munaf Saud - Orthopedic Surgeon

MBBS, FCPS (Orthopaedic Surgery), MSC (pain medicine), MHPE, Fellowship in hand surgery, | Bahawalpur

review-stars

254 Positive Reviews

Surgery


0

0

Orthopedic Surgeon in Islamabad - Dr. Abdul Wahab

Dr. Abdul Wahab - Orthopedic Surgeon

MBBS, FCPS Ortho | Islamabad

review-stars

21 Positive Reviews

To properly answer this query more information/examination is required like is there a short right limb ? how is the walking pattern of the child ?


0

0

Member

Post Owner


She is limping on right side but she never complains pain in past. Now sometimes she complains but not frequently.

4 years ago

Orthopedic Surgeon in Bahawalpur - Dr. Abdul Munaf Saud

Dr. Abdul Munaf Saud - Orthopedic Surgeon

MBBS, FCPS (Orthopaedic Surgery), MSC (pain medicine), MHPE, Fellowship in hand surgery, | Bahawalpur

review-stars

254 Positive Reviews

Surgery


0

0

Orthopedic Surgeon in Sargodha - Asst. Prof. Dr. Abdul Basit Jamal

Asst. Prof. Dr. Abdul Basit Jamal - Orthopedic Surgeon

MBBS, FCPS (Orthopedic Surgery) | Sargodha

review-stars

17 Positive Reviews

she definitely need surgery to keep the head at level of socket. you should consult DR. CHIRAGH at GHURKI TRUST HOSPITAL, LAHORE. He is very experienced and expert for this disease.


0

0

Orthopedic Surgeon in Quetta - Dr. Asmat Ullah Khan Nasar

Dr. Asmat Ullah Khan Nasar - Orthopedic Surgeon

MBBS, FCPS, (Orthopedic Surgery) Fellowship In Spine, Fellowship In Ilizarove, (Italy) Fellowship In Trauma, (Germany) | Quetta

review-stars

52 Positive Reviews

it needs operation as soon as possible.


0

0

Member of Marham-Forum

what is the complainant/ symptoms now treatment is tailored accordingly


0

0

Member

Post Owner


She is limping on right side. Never complained in past but after diagnosis she complains but rarely.

4 years ago

Member

give her a shoe raise then see how she responds.

4 years ago

Member of Marham-Forum

You should get your daughter examined from Prof Chiragh Muhammad Khan At Ghurki Trust and Teaching Hospital jallo more Lahore,,
Most probably needs surgery to prevent risk of dislocation..


1

0

Orthopedic Surgeon in Bahawalpur - Dr. Irfan Ali Shujah

Dr. Irfan Ali Shujah - Orthopedic Surgeon

MBBS, FCPS (Orthopedic Surgery), Pediatric Orthopedic Surgeon, ATLS (USA), CHPE (UOL) | Bahawalpur

review-stars

14 Positive Reviews

Surgery at present at 9yrs of age won't result good results. And re-dislocation may occur soon after surgery. Wait for maturity and then go for translational osteotony/replacement surgery.


1

0

Orthopedic Surgeon in Naushahro Feroze - Dr. Fahad Jatoi

Dr. Fahad Jatoi - Orthopedic Surgeon

MBBS , FCPS (Orthopedic Surgery) | Naushahro Feroze

review-stars

14 Positive Reviews

need surgery as soon as possible


1

0

Member of Marham-Forum

she needs surgery..

Orthopedic Surgeon in Rawalpindi - Dr. Sajid Aslam Khawaja

Dr. Sajid Aslam Khawaja - Orthopedic Surgeon

MBBS, MRCS (Ireland), Fellow of European Board of Orthopedic & Traumatology (EBOT), Diplomat in Navigated knee replacement (CAOS) UK, MSc Orthopedic (UK), Fellowship in Hip and Knee replacement (Glasgow, UK), Key skills course provider by Royal College of surgeons in Edinburgh | Rawalpindi

review-stars

337 Positive Reviews

Salam, She needs to get MRI of hip joint to measure angles related to hip dysplasia and clinical exam as well before deciding surgery. Thanks


1

0

Attach Photo here:


Chat with us!