Book Video Consultation

Book Video Consultation

Stay Home

No Waiting in lines

Audio/Video Call

PMC Verified Doctors

Talk to Orthopedic Surgeon on Knee Fracture

person-avatar

Asking for Brother, Male, 18 years old, Lahore

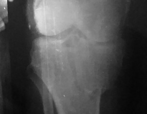
Patient had a knee fracture almost 4 months ago. But because of his exams approaching and his father's death followed by a liver transplant, a terrible mistake of no proper treatment was made. He was simply treated with traction and the patient can not straighten his leg now. Attached is the radio graph of his knee at the time of fracture. Just let me know if it can be treated?

Orthopedic Surgeon in Karachi - Dr. Sateesh Pal Budhani

Dr. Sateesh Pal Budhani - Orthopedic Surgeon

MBBS, FCPS (Orthopedic Surgery) | Karachi

review-stars

31 Positive Reviews

If he has pain and difficulty in walking,
Than he needs surgery.
However the best result is not guarnteed as 4 months have been past.
Also he will develop early osteoarthritic changes in his joint


0

0

Orthopedic Surgeon in Lahore - Assoc. Prof. Dr. Muhammad Bilal

Assoc. Prof. Dr. Muhammad Bilal - Orthopedic Surgeon

MBBS , FCPS (Orthopedic Surgery), FRCS (Trauma & orthopedic surgery ) England , Fellowship (Shoulder Surgery) UK | Lahore

review-stars

258 Positive Reviews

First we need to see if the fracture is healed or not.
you should not waste one more day. come to clinic. get some scans and then plan for further treatment can be made.


0

0

Orthopedic Surgeon in Lahore - Dr. Imran Qadeer Dar

Dr. Imran Qadeer Dar - Orthopedic Surgeon

MBBS, FRCSEd (Surgery) | Lahore

review-stars

34 Positive Reviews

The bony part may be relatively simple to treat with surgery. It will need a CT scan first. The bigger problem may be the untreated ligaments and meniscal injuries. I am sorry to say that the delay in treatment has made treatment very complex and results unclear. It needs proper evaluation. Because he is young and have a lifetime in front so surgical treatment to anatomically fix the malunited fracture may be the only good option.


0

0

Attach Photo here:


Chat with us!