Book Video Consultation

Book Video Consultation

Stay Home

No Waiting in lines

Audio/Video Call

PMC Verified Doctors

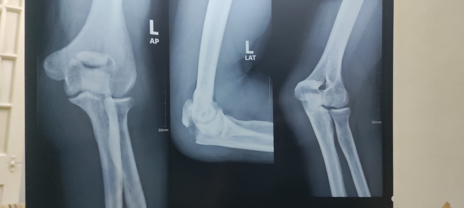
Talk to Orthopedic Surgeon on Left Elbow Injury

person-avatar

Asking for Self, Male, 31 years old, Karachi

I had an accident from bike, i landed on my left elbow that lead to damage something in my elbow, can u check my x-ray and let me know whether it can heal by just using sling, or is operation needed

Orthopedic Surgeon in Lahore - Dr. Syed Safdar Raza

Dr. Syed Safdar Raza - Orthopedic Surgeon

MBBS ( KE), FRCS (UK), MSc Orthopedic ( London) | Lahore

review-stars

333 Positive Reviews

Thank you
Looks old displaced fracture of your olecranon bone. Considering your young age, surgery is required.
Sooner the better.
Hope for the best Inshallah
Regards


0

0

Orthopedic Surgeon in Bahawalpur - Dr. Ibtesam Haider

Dr. Ibtesam Haider - Orthopedic Surgeon

MBBS, FCPS Orthopaedic Surgery | Bahawalpur

review-stars

26 Positive Reviews

Assalamu Alaikum Dear, Ideally proper history and examination should be obtained before suggesting any kind of treatment. At your age with given data, query and this kind of injury, surgery is the best treatment for optimal output. Thanks


0

0

Orthopedic Surgeon in Peshawar - Assoc. Prof. Dr. Wali Muhammad Khan

Assoc. Prof. Dr. Wali Muhammad Khan - Orthopedic Surgeon

MBBS, FCPS Orthopaedic Surgery | Peshawar

review-stars

43 Positive Reviews

Fracture Olecranon needs Surgery.
It's displaced znd will not heel.


0

0

Orthopedic Surgeon in Gujrat - Dr. Tooba Tahira

Dr. Tooba Tahira - Orthopedic Surgeon

MBBS, FCPS Orthopaedic Surgery* | Gujrat

review-stars

1 Positive Reviews

Assalamualikum, 1st history and examination is needed, any wound on the fracture site? there are muscles attached to the tip of this bone that will keep the broken piece away from main bone so surgery is the best option.. where the 2 bone pieces will be brought together and fixed. without surgery bone will not heal and also the elbow joint will be restricted.


0

0

Orthopedic Surgeon in Sahiwal - Dr. Humayun Israr

Dr. Humayun Israr - Orthopedic Surgeon

MBBS , Master Of Surgery | Sahiwal

review-stars

61 Positive Reviews

surgery should be considered.


0

0

Orthopedic Surgeon in Sialkot - Dr. Shahnawaz Ahmad Khan

Dr. Shahnawaz Ahmad Khan - Orthopedic Surgeon

MBBS, MS Orthopaedic Surgeon | Sialkot

review-stars

4 Positive Reviews

needs fixation .


0

0

Attach Photo here: