Book Video Consultation

Book Video Consultation

Stay Home

No Waiting in lines

Audio/Video Call

PMC Verified Doctors

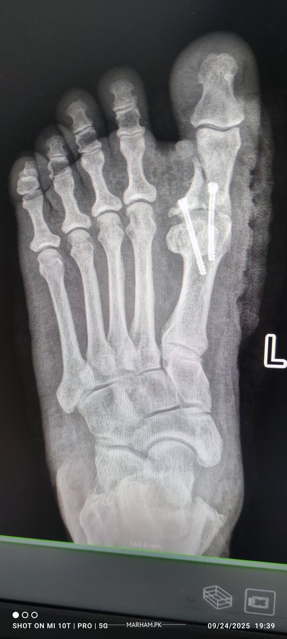
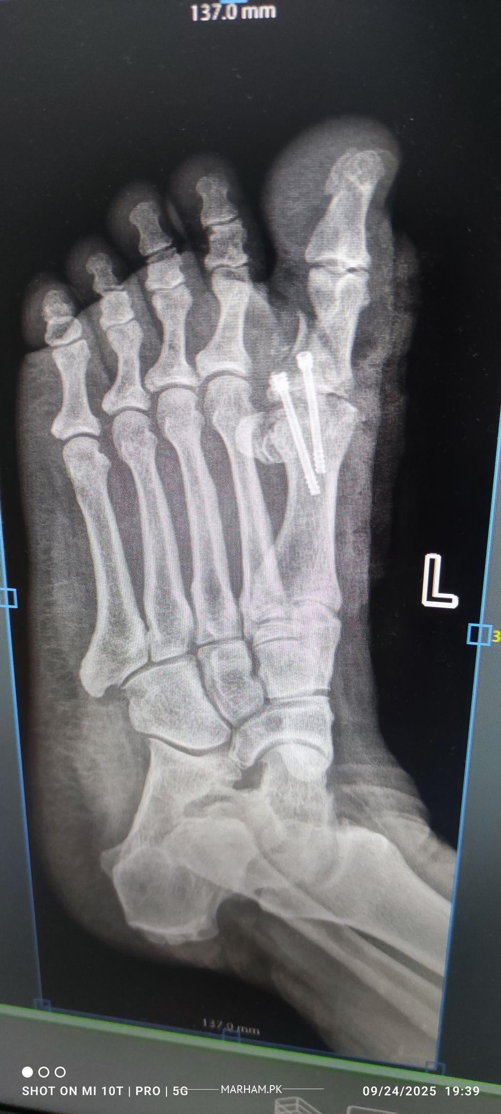
Talk to Orthopedic Surgeon on Post Operation X-ray

person-avatar

Asking For Mother, Female 63, Islamabad

AoA, kindly ye meri mother ki xray report daikh kar bta dain k operation theek ho gya hai, X-ray main fracture nazar aa rha hai lekin, technician ny b kaha k fracture show ho rha hai kisi doctor ko dikha dain. shukria

Orthopedic Surgeon in Karachi - Dr. Ambreen Farhan

Dr. Ambreen Farhan - Orthopedic Surgeon

MBBS, FCPS (Orthopedic Surgery) | Karachi

review-stars

1,946 Positive Reviews

Take consultation from female orthopaedic doctor


0

0

Orthopedic Surgeon in Peshawar - Assoc. Prof. Dr. Wali Muhammad Khan

Assoc. Prof. Dr. Wali Muhammad Khan - Orthopedic Surgeon

MBBS, FCPS Orthopaedic Surgery | Peshawar

review-stars

44 Positive Reviews

Better to consult your treating surgeon again please.


0

0

Orthopedic Surgeon in Lahore - Dr. Syed Safdar Raza

Dr. Syed Safdar Raza - Orthopedic Surgeon

MBBS ( KE), FRCS (UK), MSc Orthopedic ( London) | Lahore

review-stars

355 Positive Reviews

Thank you
Need following informations
1- Date of injury or weeks
2- XRay before Surgery
3- XRay just after surgery
4- XRay latest , you already shared

Regards


0

0

Orthopedic Surgeon in Sahiwal - Dr. Humayun Israr

Dr. Humayun Israr - Orthopedic Surgeon

MBBS , Master Of Surgery | Sahiwal

review-stars

63 Positive Reviews

get examined by surgeon for complete history and details regarding surgery.


0

0

Orthopedic Surgeon in Sahiwal - Dr. Humayun Israr
Dr. Humayun Israr - Orthopedic Surgeon

MBBS , Master Of Surgery | Sahiwal | Book Appointment

review-stars 20 Positive Reviews

orthopaedic surgeon.

6 months ago

Orthopedic Surgeon in Rawalpindi - Dr. Capt. Rtd. Muhammad Haseeb

Dr. Capt. Rtd. Muhammad Haseeb - Orthopedic Surgeon

MBBS , FCPS* , MRCS*, Member of AO spine | Rawalpindi

review-stars

13 Positive Reviews

Oh my


0

0

Member

Post Owner


Sir what happened? is there a fracture?

6 months ago

Member of Marham-Forum

Osteotomy means cutting the bone to straighten it, usually to relieve pain or improve joint function. After the cut, the bone is held in place with plates, screws or pins while it heals. Most people need a period of limited weight‑bearing followed by physical therapy to rebuild strength and range of motion. Recovery can take several months, and the goal is to return to normal activities, but some patients may still need braces or activity adjustments. The procedure is common for knee, hip or foot problems, and outcomes are generally good when the surgeon’s plan matches the patient’s anatomy and the rehab is followed closely. If you’re considering it, talk to an orthopedic surgeon about your specific condition, the expected healing time, and any lifestyle changes that will help you recover fully.


0

0

Attach Photo here: