Book Video Consultation

Book Video Consultation

Stay Home

No Waiting in lines

Audio/Video Call

PMC Verified Doctors

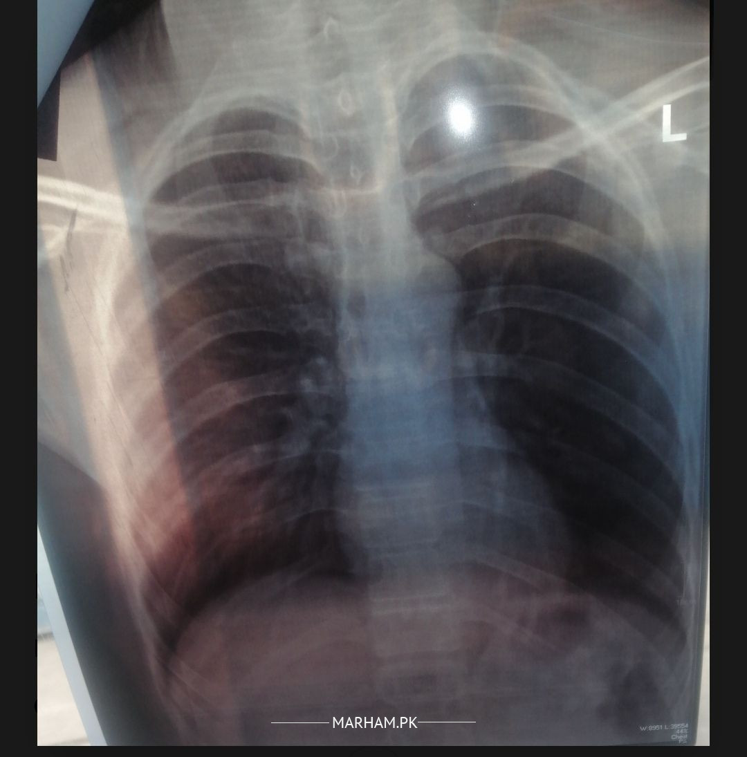
Talk to Pulmonologist / Lung on Evaluate Lungs Xray

person-avatar

Asking For Self, Male 31, Mansehra

8 years smoking and no symptoms, general routine xray

Pulmonologist / Lung Specialist in Multan - Dr. Tariq Saeed Pirzada

Dr. Tariq Saeed Pirzada - Pulmonologist / Lung Specialist

| MBBS | DTCD ( T.B. & Chest Diseases ) | | Multan

review-stars

108 Positive Reviews

Early signs of COPD.


0

0

Pulmonologist / Lung Specialist in Peshawar - Dr. Saleh Saadat Afridi

Dr. Saleh Saadat Afridi - Pulmonologist / Lung Specialist

MBBS, FCPS Pulmonology | Peshawar

review-stars

10 Positive Reviews

take my apointment for proper consultation plz


0

0

Pulmonologist / Lung Specialist in Karachi - Dr. Shahid Butt

appointment plz


0

0

Pulmonologist / Lung Specialist in Lahore - Dr. Farzand Ali

Dr. Farzand Ali - Pulmonologist / Lung Specialist

MBBS, MPH, DTCD, MCPS Pulmonology | Lahore

review-stars

91 Positive Reviews

looks normal, mild hyperinflation
needs to be evaluated



1

0

Chest Respiratory Specialist in Lahore - Dr. Muhammad Farooque

Dr. Muhammad Farooque - Chest Respiratory Specialist

MBBS, D.T.C.D T.B & Chest Diseases | Lahore

review-stars

2 Positive Reviews

Asalam Alaikum. If no symptoms then why you did XRay chest? I suggest to quit smoking as it is harmful for the health. If you have respiratory symptoms kindly visit your nearest chest physician at any government or private hospital.


1

0

Homeopath in Lahore - Prof. Homeopathic Dr. Syed Atta E Rasool Bokhari

NORMAL.

IF YOU WANT TO STRENGTHEN YOUR LUNGS AND WANT TO QUIT SMOKING
YOU CAN AVAIL OUR SERVICES.
I WILL DO YOUR NATURAL MEDICINAL TREATMENT.
MY ONLINE CONSULTATION FEE IS 100 RS.



0

0

Attach Photo here: