Book Video Consultation

Book Video Consultation

Stay Home

No Waiting in lines

Audio/Video Call

PMC Verified Doctors

Talk to Radiologist on X Ray With Covid Symptoms

person-avatar

Asking for Mother, Female, 65 years old, Islamabad

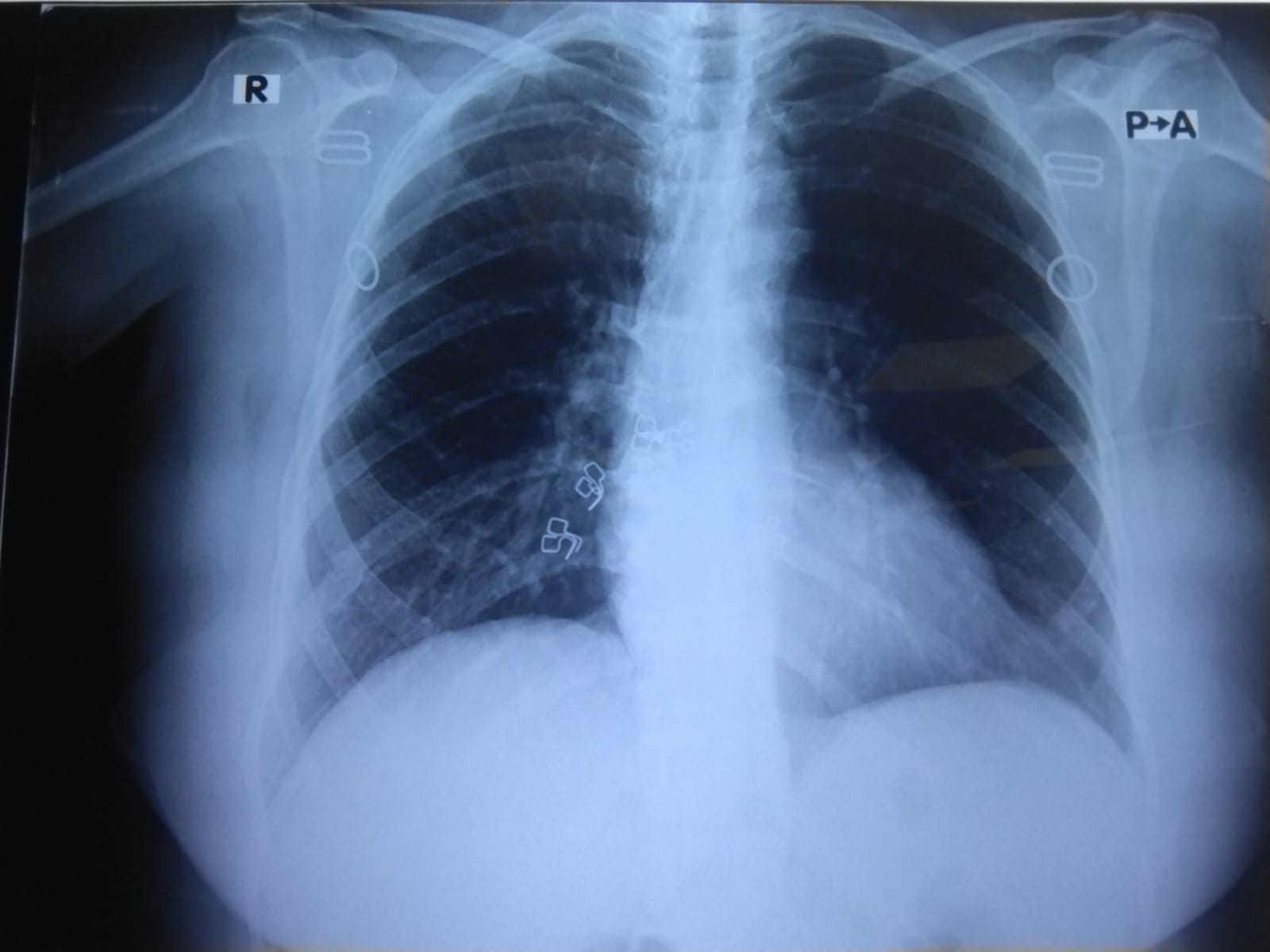
Is this Xray report fine?

Member of Marham-Forum

x-ray is fine except for a possible old healed fracture right rib
but if covid test is positive, and patient is symptomatic keep an eye on patients oxygen saturation and manage according to clinical symptoms


0

0

Radiologist in Karachi - Dr. Naila Ali

Dr. Naila Ali - Radiologist

| MBBS | FCPS | | Karachi

review-stars

1 Positive Reviews

? Lung fields are clear and quite good
Bones appear normal
Both Cp angles are acute
Cardiac silhouette appear normal
This is a good normal study
However if u suspect covid u should go for PCR or HRCT as X ray is not a modality to entirely rule In or rule out COVID pneumonia .
Hope you are satisfied with answer . if u have any other query,m here to answer
thank u


0

0

Radiologist in Peshawar - Dr. Anisa Niazi

for a female 65 years old - this x- Ray is normal.
how ever patient history is important ,if covid is suspected then HRTC is best modality .


0

0

Attach Photo here:


Chat with us!