Book Video Consultation

Book Video Consultation

Stay Home

No Waiting in lines

Audio/Video Call

PMC Verified Doctors

Talk to General Physician on Chest Pain COVID

person-avatar

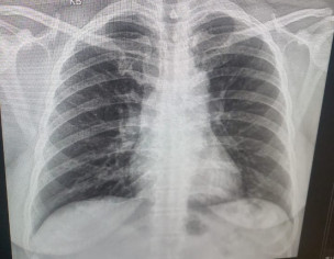
Asking for Mother, Female, 43 years old, Karachi

My mom is 43 years old and she’s had Covid since a week. Her symptoms now are much better AH but she still has troubled breathing and cough with sputum . Doctor suggested to get a chest X-ray so here’s her chest X-ray. Can you please tell is there any problem?

General Physician in Faisalabad - Dr. Sarah Hafeez

Dr. Sarah Hafeez - General Physician

MBBS | Faisalabad

review-stars

58 Positive Reviews

x ray is normal but can get an online appointment for a detailed discussion of symptoms


0

0

Internal Medicine Specialist in Karachi - Dr. Syed Sardar Ali

Dr. Syed Sardar Ali - Internal Medicine Specialist

MBBS, FCPS (Medicine) | Karachi

review-stars

759 Positive Reviews

Alhamdolillah her xray ok plz share her oxvgen saturation and Cbc


0

0

Attach Photo here: