Book Video Consultation

Book Video Consultation

Stay Home

No Waiting in lines

Audio/Video Call

PMC Verified Doctors

Talk to General Physician on Colon Ulcer

person-avatar

Asking for Self, Female, 22 years old, Wahcantt

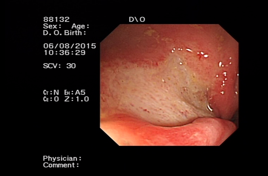
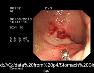
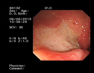
Assalam o Alaikum, Dr mujh 2011 se bri ant me zkhm hn 2 times biopsy ho chuki h 2nd time me drs ne cancer diagnos kia tha reports ane se phly phir 15 days k bad reports ain to ulcer btaya or kaha k chances hn cancer bnjay medicines use ki bht itne time but jb tk medicine leti rhee hu kuch bhtr hua problm but weakness zyada hogjaati h medicine se or stomach me pain b nh thkk hota ab hr time drd rhta h kuch nh khaya jata na half glass s zyada pani pia jata h , hr time temprature sa rhta h body me or sir drd or eyes bhari rhti hnn , kindly mujh is problm k bary me guid krn k kya kru . blood cp kraya to HB 9 ai us me

Internal Medicine Specialist in Lahore - Dr. Tahir Islam

Dr. Tahir Islam - Internal Medicine Specialist

MBBS, MCPS (Family Medicine), DTCD (T.B. & CHEST DISEASES) | Lahore

review-stars

48 Positive Reviews

please post your colonoscopy and biopsy need consultation from a good gastroenterologist like Prof Ghias un Nabi Tayyab. Principal LGH/PGMI Lahore


0

0

Laparoscopic Surgeon in Faisalabad - Dr. Shahzad Amjad Khan

Dr. Shahzad Amjad Khan - Laparoscopic Surgeon

MBBS, FCPS | Faisalabad

review-stars

15 Positive Reviews

Wa alaikum us salam,
It is best of you could visit me an outpatient with all reports (including
the histopatbology of the ulcer). Our practice is situated at United
Hospital neat Kashmir bridge Canal road, Faisalabad.
You can schedule an appointment by calling 0301 606 2612.


0

0

General Physician in Lahore - Dr. Muhammad Aslam

Dr. Muhammad Aslam - General Physician

MBBS, MCPS,FCPS | Lahore

review-stars

11 Positive Reviews

Sister what was your diagnosis


0

0

Member of Marham-Forum

Can you visit Karachi at Aga Khan Hospital or if your any relative settle
in Karachi so kindly come at Karachi
Otherwise you can email me the full scan copies of your complete
investigation

General Surgeon in Lahore - Assoc. Prof. Dr. Raza Akram

call on 042-32591427,


0

0

Attach Photo here: