Book Video Consultation

Book Video Consultation

Stay Home

No Waiting in lines

Audio/Video Call

PMC Verified Doctors

Talk to General Physician on Corona Virus

person-avatar

Asking for Sister, Female, 33 years old, Isl

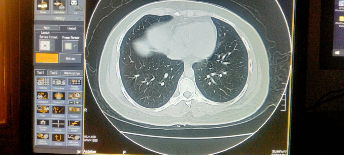
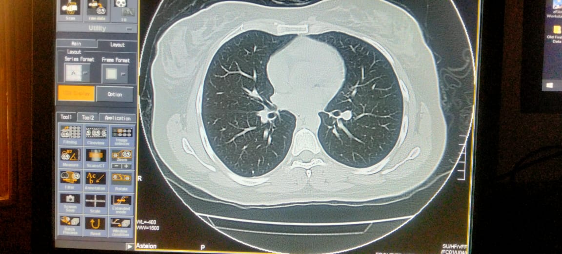
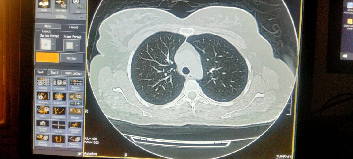
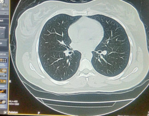
Plz describe it. Film of hrct of corona patient

Internal Medicine Specialist in Karachi - Dr. Syed Sardar Ali

Dr. Syed Sardar Ali - Internal Medicine Specialist

MBBS, FCPS (Medicine) | Karachi

review-stars

759 Positive Reviews

plz contact radiologist


0

0

General Physician in Karachi - Dr. Sidra Qayyum

Dr. Sidra Qayyum - General Physician

MBBS | Karachi

review-stars

4 Positive Reviews

Send full films, its incomplete


0

0

Attach Photo here: