Book Video Consultation

Book Video Consultation

Stay Home

No Waiting in lines

Audio/Video Call

PMC Verified Doctors

Talk to General Physician on Cough Since 15-20 Days

person-avatar

Asking for Self, Female, 22 years old, North Nazimabad

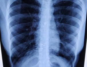
Doctor i am having cough since 20 days it's not that much severe it starts at night for sometime and at days i have nothing. I normally have dust allergy. The picture of my chest xray is attached.

General Physician in Karachi - Dr. Rais Burni

Dr. Rais Burni - General Physician

MBBS | Karachi

review-stars

277 Positive Reviews

its normal,u may take an online appoi..


0

0

Member of Marham-Forum

tab myteka 10 mg 0 0 1 1 month


0

0

Attach Photo here: